Sr. Editor:
El cistoadenoma mucinoso de ovario representa aproximadamente el 15 % de las lesiones neoplásicas benignas de ovario, de las que el 5 % pueden ser bilaterales1. Suele manifestarse en edades medias de la vida, y son poco frecuentes en la edad pediátrica y en la adolescencia. El diagnóstico diferencial es amplio, incluyendo una gran variedad de lesiones que se pueden presentar como colecciones líquidas intraperitoneales septadas.
Se presenta el caso de una paciente de 13 años de edad que acudió a urgencias por cuadro de distensión abdominal y dolor en hemiabdomen izquierdo de 3 días de evolución. Refería amenorrea de 2 meses. En la exploración se encontró un abdomen globuloso, tenso, doloroso a la palpación de forma difusa, más localizado en la región anexial izquierda.
La radiografía de abdomen mostró un aumento de densidad difuso, uniforme en la región centroabdominal y la pelvis, así como borramiento de los perfiles hepático y esplénico y desplazamiento cefálico de colon transverso. Todos estos datos alertaron sobre la posible existencia de una lesión extensa en cavidad abdominal, probablemente intraperitoneal.
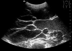
En la ecografía abdominal se apreciaba ocupación de prácticamente toda la cavidad peritoneal por una lesión predominantemente anecoica que presentaba tabiques finos, lisos, sin irregularidades ni engrosamientos murales (fig. 1).
Figura 1. Colección anecoica que presenta numerosos tabiques finos y regulares.
Puesto que nos encontrábamos ante una colección intraperitoneal con afectación pelviana, se estudió su posible origen ovárico, realizando ecografía endovaginal en la que se puso de manifiesto una región anexial izquierda ocupada por una lesión quística similar a la del resto de la cavidad peritoneal, sin que pudiera identificarse el ovario izquierdo como tal.
Entre los marcadores tumorales, se encontraron valores de CA 125 elevados (153,60 U/ml).
Con todos estos hallazgos, se realizó laparotomía exploradora, donde se observó la existencia de una gran tumoración quística que dependía del anejo izquierdo y que presentaba adherencias a epiplón y mesenterio. Se practicó anexectomía izquierda, omentectomía parcial y aspirado del líquido libre.
La descripción macroscópica de la lesión muestra una pieza de resección de ovario con un peso estimado de 5-6 kg y superficie externa lisa (fig. 2). A la sección, el ovario presentaba múltiples quistes de tamaño variable y contenido mucinoso.
Figura 2.Pieza de resección de ovario.
El cistoadenoma mucinoso de ovario suele manifestarse en edades medias de la vida (tercera-quinta década), siendo raras antes de la pubertad y después de la menopausia. Raramente sufren degeneración maligna2,3. Tiene tendencia a producir masas quísticas voluminosas. La mayoría son asintomáticos, hasta que crecen lo suficiente como para causar sensación de peso y palpación positiva4. La rotura del cistoadenoma mucinoso puede producir un seudomixoma peritoneal.
El CA 125 suele estar elevado en los tumores ováricos y peritoneales tanto benignos como malignos. Este marcador se ha usado en la monitorización de pacientes con tumor ovárico tras la intervención quirúrgica5.
El diagnóstico diferencial es amplio, e incluye lesiones quísticas pancreáticas, quiste mesentérico, linfocele, linfangioma quístico, mesotelioma quístico, teratoma quístico, hidatidosis intraperitoneal, seudomixoma peritoneal y carcinomatosis peritoneal6,7.
Existen, por lo tanto, numerosas causas de aparición de líquido tabicado intraperitoneal, siendo la diferenciación radiológica, fundamentalmente ecográfica y por medio de tomografía computarizada, en muchas ocasiones inespecífica.
Entre los hallazgos sugestivos de malignidad se encuentran el engrosamiento, irregularidad y nodularidad de los tabiques internos o de las paredes de la colección (el número y la disposición de los tabiques no parece guardar relación con el carácter benigno y maligno de la lesión), ascitis, metástasis hepáticas e implantes peritoneales8.
El tratamiento del cistoadenoma mucinoso de ovario es quirúrgico y por lo general consiste en histerectomía y anexectomía bilateral. En pacientes jóvenes que no han visto cumplidos sus deseos genésicos, se suele realizar anexectomía unilateral, explorando siempre el ovario contralateral en busca de lesiones asociadas9.




