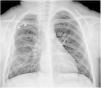
Una niña de cinco años se presentó a consulta con tos y dificultad respiratoria de una semana de evolución. Sin enfermedad conocida, con examen físico anodino. La radiografía anteroposterior de tórax evidenció una costilla con orientación anómala en el hemitórax superior derecho (fig. 1). La evaluación se amplió con una tomografía computarizada (TC) torácica de dosis baja sin contraste. La TC reveló la presencia de una costilla intratorácica bífida que se extendía al parénquima pulmonar (fig. 2, vídeo). Como los síntomas eran leves, se inició tratamiento conservador y se programó una visita de seguimiento.
La costilla intratorácica, que también se conoce como síndrome de la costilla deslizante, es una anomalía extremadamente rara de la caja torácica en la que una costilla normal, supernumeraria o bífida está situada en la cavidad torácica1. La clínica puede incluir dolor punzante o sordo, dificultad respiratoria o falta de aliento y un bulto o masa palpable cerca de la costilla involucrada.1 Su manejo suele consistir en una combinación de medidas conservadoras y, en casos graves, intervención quirúrgica2. La TC torácica permite visualizar de manera precisa la forma tubular y la curvatura de la costilla intratorácica y guiar la cirugía1,2.


