El angioedema hereditario (HAE) es una enfermedad rara pero potencialmente letal causada por el déficit congénito de C1 inhibidor. Los primeros síntomas del HAE se presentan en un 50% de los casos en la primera década de la vida, pero el diagnóstico se suele demorar durante años1. Por otra parte, el diagnóstico temprano es importante, ya que parece que existe relación inversa entre la severidad de la enfermedad y la edad de comienzo de los síntomas2, siendo la mortalidad un 50% más alta en aquellos pacientes no diagnosticados. El HAE clínicamente se presenta en forma de angioedema cutáneo en la mayoría de los afectados (que típicamente cursa sin prurito, eritema o urticaria), edema a nivel del tracto gastrointestinal o, menos frecuentemente, edema de laringe3. Un 70-80% de los enfermos con HAE presentan síntomas abdominales y, en ocasiones, tanto la clínica como la exploración física pueden indicar un cuadro de abdomen agudo. Esto provoca que hasta un tercio de los pacientes no diagnosticados se sometan a intervenciones quirúrgicas innecesarias4-6.
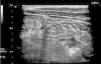
Presentamos el caso de un niño de 10 años, diagnosticado de HAE por déficit cuantitativo de C1 inhibidor, que acude a urgencias de nuestro hospital por un cuadro dolor abdominal difuso, de tipo cólico, de 8 h de evolución, acompañado de vómitos y anorexia. En la exploración física el paciente se encontraba afebril, con regular estado general, destacando un abdomen duro y muy doloroso a la palpación. Los parámetros de hemograma, proteína C reactiva, perfil hepático y renal se encontraban dentro de la normalidad. La ecografía de abdomen mostró un engrosamiento difuso de la pared del intestino delgado, que consistía en colecciones de líquido en la mucosa, incremento del líquido intraluminal y moderada ascitis. El intestino grueso y el apéndice no presentaban alteraciones (fig. 1). Se administraron 500 U de concentrado de C1 inhibidor por vía intravenosa. A las 2 h del tratamiento, los síntomas desaparecieron y se repitió la ecografía de abdomen, que mostró la desaparición de las colecciones quísticas en la mucosa y disminución del líquido intraluminal (fig. 2).
La realización de ecografía abdominal durante los episodios de ataque agudo de HAE permite detectar signos que, aunque no son específicos, son muy sensibles, como el edema de la pared intestinal, hiper o hipomotilidad intestinal y líquido libre en la cavidad peritoneal. Además, la presencia de colecciones líquidas entre las capas de la mucosa y submucosa apoyan fuertemente el diagnóstico. Según la literatura, el edema de la pared intestinal se detecta con menos frecuencia que la ascitis. El seguimiento ecográfico de estos pacientes tras el tratamiento demuestra la reabsorción de la ascitis, acompañada de la desaparición del edema de la pared intestinal5-10. Existen diversos estudios comparativos entre la tomografía computarizada y la ecografía en el diagnóstico de afectación abdominal por HAE, encontrando buena correlación entre ambas técnicas. Aunque la ecografía es menos sensible para detectar edema de la pared intestinal, es más coste-eficiente y está exenta de radiación ionizante6. Encontramos que la ecografía podría ser una técnica apropiada para el diagnóstico diferencial de dolor abdominal agudo en pacientes con HAE. De esta manera, se evitan pruebas más agresivas e intervenciones quirúrgicas innecesarias, además de ayudar a un diagnóstico y tratamiento precoz en aquellos pacientes aún no diagnosticados de la enfermedad.




