Los abscesos retrofaríngeos en la edad pediátrica son poco frecuentes, pero potencialmente peligrosos por su localización (el 43% presentan complicaciones y el 10% mortalidad)1, requiriendo tratamiento quirúrgico el 50% de los pacientes2.
Presentamos el caso de un lactante de 11 meses, remitido para valoración quirúrgica de adenoflemón laterocervical derecho, sin respuesta a 5 días de tratamiento con ceftriaxona.
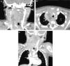
Se modifica tratamiento a cefotaxima y clindamicina intravenosas (por fallo de régimen previo y ampliar la cobertura de anaerobios), y se realiza TC cervical, destacando absceso desde rinofaringe hasta mediastino súpero-anterior (fig. 1A y B). El paciente se mantiene asintomático salvo edema laterocervical derecho y fiebre intermitente. Se decide actitud quirúrgica expectante dada la escasa sintomatología y el excelente estado general, y continuar tratamiento con cefotaxima (se retira clindamicina a las 24-48h por aparición de rash cutáneo). A las 72h, normalización casi completa del examen físico y desaparición de la fiebre. Se repite TC, observando disminución significativa del absceso (fig. 1C), junto con trombosis parcial de vena yugular interna derecha. Ante la buena evolución clínico-radiológica de la infección se decide no intervenir, iniciar tratamiento con heparina de bajo peso molecular y cambiar antibioterapia a amoxicilina-clavulánico (según últimas recomendaciones de la SEIP y la bibliografía más reciente para el tratamiento de abscesos cervicales), hasta completar 21 días de tratamiento parenteral. Al alta, tratamiento con amoxicilina-clavulánico oral (una semana) y heparina subcutánea durante 3 meses.
A) TAC con contraste, corte coronal cérvico-torácico. Absceso laterocervical derecho que acompaña al paquete vasculo-nervioso carotídeo, transcurre por espacio retrofaríngeo, y llega a mediastino súpero-anterior y medio. Secundariamente produce un colapso de la vena yugular interna derecha. B) TAC con contraste, corte axial a nivel de mediastino. Se observa como la colección se extiende hasta mediastino medio. C) TAC con contraste, corte coronal cérvico-torácico. Disminución del tamaño de la tumoración, permaneciendo solo una pequeña abscesificación laminar laterocervical y retrofaríngea, con otra fina colección en mediastino súpero-anterior. Se visualizan aun adenopatías laterocervicales y en mediastino. Además, destaca trombosis de la vena yugular interna derecha (se observa un segmento largo proximal que ha desaparecido, viéndose la región distal de esta).
No se obtuvo muestra de la colección ya que no aparecieron zonas de fluctuación cervicales ni esta era accesible por orofaringe.
A los 6 meses se realiza TC cérvico-torácico, sin alteraciones ni malformaciones subyacentes.
Destacamos de este caso la resolución del gran absceso retrofaríngeo con tratamiento médico exclusivo, ya que la literatura describe tratamiento quirúrgico para los abscesos de gran extensión3. También, la escasa clínica presentada a pesar de la extensión del absceso y la importancia de descartar malformaciones predisponentes.
Al Servicio de Diagnóstico por la Imagen, a la Unidad de Hospitalización de Pediatría y al Servicio de Hematología del Hospital Sant Joan de Déu.



