Sr. Editor:
La neumonía estafilocócica supone menos del 10 % de las neumonías bacterianas en niños. Afecta sobre todo a niños menores de 3 años, y son factores predisponentes las inmunodeficiencias, las infecciones virales previas y el uso de antibióticos1. El proceso puede ser primario, por aspiración o inhalación, o secundario, vía hematógena desde un foco infeccioso localizado en la piel o el sistema osteoarticular 1,2. Dependiendo de la etiopatogenia, las características de las lesiones pulmonares y la evolución clínica serán diferentes.
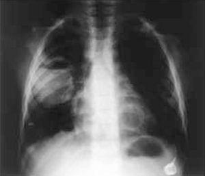
Niño de 3 años que presenta de forma aguda fiebre alta y tos productiva. Afecto de hemofilia A2 es portador de un port-a-cath (PAC) para la administración del factor VIII recombinante. A la exploración física destaca hipofonesis en la base pulmonar derecha con estado general conservado y sin signos de dificultad respiratoria. La zona del PAC no muestra signos inflamatorios y el resto de la exploración es normal. Se realiza una radiografía de tórax en la que se aprecian múltiples imágenes cavitarias, algunas de ellas con nivel hidroaéreo (fig. 1). En la analítica sanguínea destacan 20.650 leucocitos/μl (72 % neutrófilos; 26 % linfocitos; 2 % monocitos) y proteína C reactiva de 334 mg/l. Se recogen hemocultivos a través del PAC y transcutáneo. La TC informa de la presencia de varias cavidades de pared gruesa con nivel hidroaéreo en la mayoría, diseminadas en ambos campos pulmonares, destacando una de 5 cm en lóbulo inferior derecho y otra con contenido aéreo, de 2 cm de diámetro, en lóbulo inferior izquierdo (figs. 2A y B). Ingresa con la orientación diagnóstica de abscesos pulmonares múltiples iniciándose tratamiento empírico intravenoso con cefotaxima, vancomicina y metronidazol. Al tercer día de ingreso se confirma la presencia de Staphylococcus aureus sensible a cloxacilina en ambos hemocultivos, por lo que se continúa con dicho antibiótico en monoterapia. Se procede a retirar el PAC y al drenaje percutáneo guiado por escopia del absceso de mayor tamaño, confirmándose en el cultivo del pus la presencia de S. aureus. El tratamiento intravenoso se mantiene 3 semanas y se continúa por vía oral durante 15 días. La evolución es favorable y el control radiológico a las 3 semanas muestra cavidades aéreas residuales.
Figura 1. Radiografía de tórax: se observan imágenes cavitarias, la de mayor tamaño situada en el lóbulo inferior derecho.
Figuras 2 A y B.TC torácica. Se observan múltiples cavidades, la mayoría con nivel hidroaéreo, diseminadas en ambos campos pulmonares.
Las imágenes pulmonares cavitarias con contenido aéreo o hidroaéreo pueden producirse por diversos mecanismos. Es difícil diferenciar, mediante técnicas de imagen, entre quistes, ampollas, neumatoceles, pioneumatoceles y abscesos. La historia clínica y la evolución son básicos para establecer el diagnóstico 3,4.
Los neumatoceles son cavidades aéreas de pared fina que aparecen tras un proceso necrótico del parénquima pulmonar, por lo general una infección, y cuando se sobreinfectan provocan pioneumatoceles. Los abscesos pulmonares, en cambio, están rodeados por una pared fibrosa y representan un foco de supuración primario 1,3,5.
El principal agente causal de lesiones cavitarias pulmonares es Staphylococcus aureus, seguido en frecuencia por Streptococcus pneumoniae1,3. En el caso presentado, el foco primario es la infección del PAC por S. aureus con posterior diseminación al pulmón por vía hematógena.
Dependiendo del mecanismo etiopatogénico, las lesiones pulmonares son diferentes. Así, la neumonía estafilocócica primaria provoca una bronconeumonía con áreas de necrosis hemorrágica, cavitación precoz y formación de neumatoceles, y en el caso de la neumonía secundaria, como en el caso presentado, al ser originada por émbolos sépticos, se producen microabscesos pulmonares bilaterales con cavitación posterior 1.
Los pacientes presentan habitualmente fiebre alta, afectación del estado general, tos y dificultad respiratoria. La radiografía de tórax y la TC son las principales técnicas de imagen que se utilizan y el diagnóstico etiológico se realiza mediante el aislamiento del microorganismo en sangre, líquido pleural y otras colecciones purulentas 2.
El tratamiento antibiótico empírico ante la sospecha de neumonía necrosante o absceso pulmonar debe ser intravenoso y cubrir bacterias grampositivas, gramnegativas y anaerobias. Una vez conocida la etiología, el tratamiento se modificará según el antibiograma. La duración del tratamiento antibiótico es de 3 a 6 semanas 6-8. Si existe una cavidad superior a 6 cm, no hay respuesta al tratamiento después de 2 semanas, el agente etiológico es resistente a los antibióticos administrados o el proceso se cronifica estará indicada la realización del drenaje percutáneo 6. En nuestro caso, al estar indicada la extracción del PAC, se procedió durante el mismo acto quirúrgico al drenaje percutáneo del absceso de mayor tamaño para acelerar el proceso de curación.
En general, la mortalidad de la neumonía estafilocócica es del 10-20 % debido a la enfermedad de base o a complicaciones de la neumonía. En niños previamente sanos, el pronóstico es bueno y la recuperación suele ser completa 1-2.




