Varón de 7 años con antecedentes de retraso global del desarrollo no filiado (asocia facies cuadrangular, frente prominente, raíz nasal amplia e hipertelorismo, vientre en naranja, mamilas invertidas, criptorquidia, sindactilia bilateral del 5.° dedo y escoliosis).
Seguido en consultas de gastroenterología pediátrica por reflujo gastroesofágico (RGE), tratado de forma intermitente desde el nacimiento con ranitidina, omeprazol y domperidona, sin respuesta. Asocia rumiación constante con vuelta de bolo alimenticio a la boca y episodios de atragantamiento repetidos.
Ante la falta de respuesta al tratamiento convencional, se ampliaron las pruebas complementarias para descartar enfermedad por RGE (ERGE) versus síndrome de rumiación:
- -
Ecografía abdominal: normal
- -
Endoscopia digestiva alta: esofagitis por reflujo
- -
pH-metría: ERGE
- -
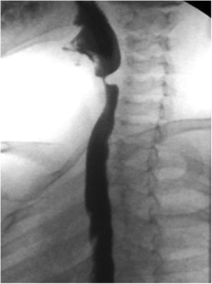
Tránsito esófago-gástrico (TEG): déficit de relajación del músculo cricofaríngeo (fig. 1)
- -
Manometría: limitada ante la falta de colaboración del paciente para su realización
Ante el diagnóstico de acalasia cricofaríngea, el manejo terapéutico consistió en 4 inyecciones intramusculares de toxina botulínica (10 unidades por inyección) a nivel muscular. Tras ello, el paciente mostró mejoría clínica (con desaparición de las crisis de atragantamiento y rumiación), así como radiológica (fig. 2).
La acalasia cricofaríngea (AC) es un trastorno motor esofágico causado por la falta de relajación del músculo cricofaríngeo durante la deglución, y supone una causa infrecuente de disfagia en la edad pediátrica. El RGE y las alteraciones neurológicas frecuentemente se relacionan con esta enfermedad1.
El diagnóstico de AC es sencillo, y la técnica de elección es el TEG que demuestra la impronta del músculo cricofaríngeo a nivel del esófago cervical1–3. La manometría puede apoyar el diagnóstico, pero en muchas ocasiones es inespecífica y difícil de realizar1.
El tratamiento se basa en fármacos anticolinérgicos, dilatación neumática o cirugía mediante miotomía cricofaríngea11–3. La inyección de toxina botulínica no está extendida a nivel pediátrico, sin embargo, sus resultados son prometedores2,3.




