Paciente de 3 años, con antecedentes de sibilancias recurrentes, que presenta tos, fiebre y dificultad respiratoria de 4 días de evolución. No refiere episodios de atragantamiento ni sofocación.
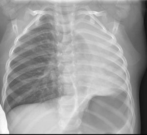
Destaca hipoventilación de hemitórax izquierdo, sin hipoxemia, ni distrés. En la radiografía de tórax presenta atelectasia completa del pulmón izquierdo, con hiperinsuflación del pulmón contralateral (fig. 1). La analítica sanguínea se encontraba dentro de los rangos de referencia.
Se ingresa con el tratamiento de antibioterapia empírica (ampicilina y azitromicina) y terapia nebulizada con beta-2 adrenérgicos y budesonida. A las 48h, ante la ausencia de mejoría clínico-radiológica se realizó broncoscopia flexible que puso de manifiesto la existencia de material mucoso blanquecino a la entrada de bronquio principal izquierdo, que se aspiró parcialmente. Se completa procedimiento con broncoscopia rígida, y se visualiza molde bronquial a nivel de língula y bronquio superior izquierdos que se extrae con pinzas y aspiración (fig. 2).
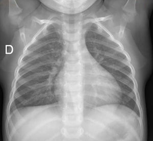
A las 24h permanece asintomático, con resolución completa de la atelectasia (fig. 3), por lo que se decide alta a domicilio con tratamiento antiasmático, sin presentar recidivas.
La bronquitis plástica es un proceso poco frecuente, que puede requerir diagnóstico diferencial con la aspiración de un cuerpo extraño, especialmente si no existe evidencia de enfermedad previa. Consiste en la formación de moldes bronquiales («cast») que provocan la obstrucción parcial o total del árbol traqueobronquial. Se asocia a enfermedad pulmonar inflamatoria subyacente como hiperreactividad bronquial, o a cardiopatías congénitas1–3.
En los asmáticos, la formación de moldes está relacionada con la inflamación crónica, y la infiltración por neutrófilos y eosinófilos de la vía aérea, mientras que en los pacientes cardiópatas se relaciona con la elevación de la presión venosa pulmonar2.
A los compañeros de la sección de neumología, y a todos los profesionales del hospital.





