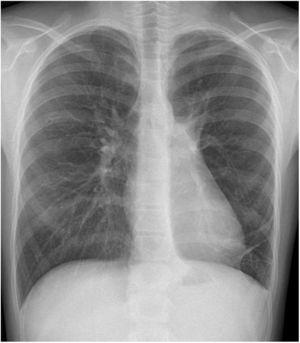
Paciente de 10 años que acude derivada a consulta de neumología tras detección casual de hipoventilación global a nivel del hemitórax izquierdo en el contexto de un cuadro de gastroenteritis. Se trataba de una niña sana, sin antecedentes de interés. Se realiza radiografía de tórax y angio-TC torácico donde se objetiva una importante hiperinsuflación del hemitórax izquierdo (fig. 1). Se lleva a cabo broncoscopia con evidencia de estenosis bronquial por compresión extrínseca. Ante el tamaño de la lesión con desviación mediastínica se decide realización de lobectomía inferior izquierda. El informe anatomopatológico fue compatible con malformación congénita de la vía aérea pulmonar (MCVAP) tipo 4. En el postoperatorio se detecta hipoventilación basal con hidroneumotórax izquierdo en radiografía de tórax (fig. 2) que precisó drenaje. Desde entonces presenta buena evolución clínica, asintomática desde el punto de vista respiratorio con resolución ad integrum (fig. 3).
La MCVAP, anteriormente conocida como malformación adenomatoidea quística congénita, es una anomalía del desarrollo del tracto respiratorio que se presentan con baja incidencia (uno de cada 10.000 a 35.000 embarazos). Las MCVAP se clasifican en tipos de 0 a 4 según la clasificación de Stocker. Los pacientes afectados pueden presentar dificultad respiratoria en el período del recién nacido, pero generalmente permanecen asintomáticos hasta la edad escolar. Muchos casos se detectan en ecografía prenatal rutinaria. La gran mayoría de los pacientes se intervienen quirúrgicamente una vez estabilizados del punto de vista cardiopulmonar con la finalidad de resecar la malformación pulmonar ya sea con una lobectomía o segmentectomía1-3





