Le escribimos con relación al artículo publicado por Torres del Pino et al. titulado: «Pasos para la mejora en la canalización umbilical en neonatología»’1, que hemos leído con gran interés. Como reflejan sus autores, la colocación errónea del catéter a nivel portal provoca complicaciones relativamente frecuentes y potencialmente graves, lo cual justifica la mejora en las técnicas de canalización umbilical en estos pacientes. A propósito de ello, presentamos 2 complicaciones excepcionales, derivadas de la malposición de estos catéteres.
Caso 1. Varón prematuro de 29+6 semanas ingresado en la UCI neonatal por prematuridad y distrés respiratorio. Portador de catéter umbilical desde el ingreso, usándose del segundo al quinto día para nutrición parenteral. El quinto día se retira por adecuada tolerancia enteral. En el sexto día de vida se contacta con Cirugía Pediátrica para valorar distensión abdominal y edematización de la pared rápidamente progresiva. El paciente requiere soporte respiratorio invasivo y soporte vasoactivo. Durante el seguimiento clínico se realizan radiografías abdominales seriadas sin neumoperitoneo ni signos de enterocolitis. Se evidencia ascitis progresiva con asas centralizadas y colapsadas. Los estudios analíticos tampoco son concordantes con enterocolitis. El séptimo día persisten dichos hallazgos. Se realiza ecografía que evidencia: trombosis portal izquierda, lesión focal quística en segmento iva del lóbulo izquierdo hepático compatible con extravasación y ascitis moderada-severa con septos y focos ecógenos móviles en su interior (no se descartan hallazgos de enterocolitis). Ante la gravedad clínica y la duda diagnóstica se coloca drenaje abdominal con salida inmediata de abundante ascitis de aspecto lechoso, compatible con nutrición parenteral extravasada. El paciente presenta una evolución posterior favorable, siendo extubado y retirándose el drenaje abdominal a los 2 días, no presentando más incidencias abdominales.
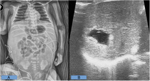
Caso 2. Mujer prematura de 31+4 semanas ingresada en la UCI neonatal por prematuridad y distrés respiratorio con evolución favorable. El noveno día de vida presenta hipotensión, anemia y distensión abdominal rápidamente progresiva. Se decide laparotomía urgente tras el fracaso de las medidas médicas de reanimación. Se evidencia un hemoperitoneo masivo, con restos de nutrición parenteral, secundario a un estallido hepático derecho. Se observa laceración hepática de 8cm en los lóbulos vii-viii, con otra mínima laceración a nivel lateral del segmento vi, ambas con sangrado activo. El eje vascular portal estaba íntegro y la hipoperfusión intestinal era generalizada. Se establece como causa del estallido hepático la extravasación intraparenquimatosa de la nutrición parenteral administrada por vía umbilical. Se llevan a cabo distintas técnicas hemostáticas sin éxito, finalizando la intervención con un packing abdominal para revisión posterior. En las horas siguientes la paciente presenta empeoramiento clínico, fracaso multiorgánico y finalmente exitus (figs. 1 y 2).
Correlación clínico-radiológica. En la figura 2A se observa la diferencia entre hígado derecho (presencia de quiste de nutrición parenteral y estallido hepático superficial con zonas hipoperfundidas) e hígado izquierdo (sin hallazgos). En la figura 2B se observan los quistes intraparenquimatosos y líquido libre.
En conclusión, las complicaciones derivadas de la malposición del catéter umbilical son potencialmente letales y suponen un reto diagnóstico y terapéutico2,3. Por tanto, queremos felicitar a nuestros compañeros por la implementación y mejora de las técnicas de canalización umbilical neonatal, ofreciendo mayor seguridad y, por tanto, menor número de efectos adversos para nuestros pacientes.




