Sr. Editor:
El coristoma es una rara entidad que típicamente se presenta como una masa quística benigna formada por epitelio heterotópico. Puede contener diferentes tipos de tejidos, siendo los más frecuentes el epitelio gástrico y/o respiratorio 1-4. Nosotros describimos a continuación el caso de un neonato con un quiste sublingual formado por epitelio respiratorio y gástrico y revisamos la patogenia, etiología y tratamiento de esta rara patología.
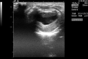
Una recién nacida a término mediante parto eutócico con test de Apgar 9-10, reanimación tipo I y 3.300 g de peso presentó a la exploración neonatal inmediata una masa sublingual de consistencia blanda, de aproximadamente 3 cm de diámetro. La paciente no tenía asociadas otras malformaciones. La masa no había sido diagnosticada durante las exploraciones prenatales y el embarazo había transcurrido con normalidad. No presentaba dificultad respiratoria ni alteraciones en la deglución. Se le realizó una ecografía en la que se visualizó una lesión quística compleja con contenido ecogénico y aglomerados en su interior, compatible con quiste dermoide (fig. 1). La paciente ingresó a los 15 días de vida para la extirpación quirúrgica de la lesión. Se realizó una quistectomía sublingual total, con marsupialización del lecho quístico y extracción íntegra del quiste (fig. 2). En las primeras horas tras la cirugía inicia tolerancia oral con lactancia materna sin incidencias. Al sexto día del postoperatorio la paciente fue dada de alta hospitalaria con control ambulatorio.
Figura 1. Lesión quística compleja con contenido en su interior, que ecográficamente sugería un quiste dermoide.
Figura 2.El quiste se situaba dentro de los midohioideos, por debajo y detrás de las sublinguales y en íntimo contacto con el músculo geniogloso, al que rechaza posterosuperiormente.
Microscópicamente se observó un revestimiento con epitelio de tipo respiratorio, seudoestratificado ciliado. En zonas extensas el epitelio que tapiza es mucosecretor de tipo gástrico foveolar, y en un foco se visualizaron pequeñas glándulas de tipo gástrico con células parietales. Bajo el epitelio había tejido conjuntivo, fibras musculares lisas y estriadas, y algunos focos de epitelio escamoso.
La paciente fue seguida hasta los 5 meses después de la intervención quirúrgica, encontrándose asintomática y sin signos de recidiva clínica ni ecográfica.
Los coristomas son masas quísticas formadas por tejido ectópico, es decir, tejido localizado fuera de su situación normal. Los coristomas de la cavidad oral son lesiones infrecuentes y pueden estar formadas por diferentes tipos de epitelio: glial, cartilaginoso, óseo, tiroideo, respiratorio y gástrico 1-6. El epitelio seudoestratificado ciliar (tipo respiratorio) estaría incluido en aproximadamente el 25 % de los casos, el epitelio gástrico o intestinal en el 43 % de los pacientes y la combinación de ambos tipos (respiratorio y gástrico) en el 31 %.
Varias teorías se han propuesto para explicar el origen de los quistes linguales respiratorios y gástricos. La más común expone que durante la tercera y cuarta semanas de gestación, restos endodérmicos que van a dar lugar a mucosa respiratoria y gástrica son envueltos por los tejidos que desarrollarán la lengua, que se forma en la cuarta semana de la gestación 1,7.
Esta patología se presenta habitualmente como una masa asintomática en los dos tercios anteriores de la lengua y son ligeramente más frecuentes en niños con un cociente niño/niña de 1,6/1 1-4.
Existe una dificultad para la alimentación del 10 al 40 % de los pacientes y la dificultad respiratoria es muy infrecuente. En ocasiones pueden encontrarse más de un quiste lingual en un mismo paciente. El diagnóstico diferencial incluye: quistes dermoides, epidermoides, linfoepiteliales, quistes del conducto tirogloso, hamartoma, mucocele y ránula 1,5. En algunos pacientes pueden coexistir varias de estas lesiones 8.
Las pruebas de imagen, principalmente la resonancia magnética (RM), la tomografía computarizada (TC) y el ultrasonido, pueden ser utilizadas para el diagnóstico diferencial de las lesiones de la cavidad oral, según la extensión y la naturaleza de la lesión, pero desgraciadamente ninguna de ellas nos aporta un diagnóstico definitivo 2. Rousseau et al 9 Creen que puede ser útil el diagnóstico prenatal con ultrasonidos e incluso RM de las lesiones quísticas linguales para un mejor tratamiento perinatal de la lesión.
La extirpación quirúrgica es el tratamiento de elección. La intubación nasotraqueal facilita la exéresis porque evita la presencia del tubo endotraqueal en el campo quirúrgico. Aydogan et al 2 proponen la escisión del quiste mediante láser de CO2 porque produce menos daño a los tejidos periféricos y menos edema postoperatorio. También abogan que el láser de CO2 produce una mejor hemostasia de la zona, ya que coagula vasos de 0,5 mm de tamaño y deja por tanto un lecho quirúrgico más limpio.
En definitiva podríamos decir que los quistes linguales respiratorios y gástricos son muy raros, probablemente derivan de células pluripotenciales del intestino primitivo y la extirpación quirúrgica es el tratamiento definitivo.
Correspondencia: Dr. D. Cabezalí Barbancho.
Beasain, 35, 6.º F. 28041 Madrid. España.
Correo electrónico: dcabezali@yahoo.es




