Caso clínico
Se trata de una niña de 7 11/12 años de origen polaco, ingresada en nuestro hospital por un cuadro respiratorio agudo, sin antecedentes personales o familiares de interés. La madre refiere que presenta desde el nacimiento una deformidad en el cuello y dolores de espalda relacionados con movimientos posturales.
Exploración física. Buen estado general. Peso 35 kg (P90), talla 137 cm (P97), presión arterial 100/60 mmHg, temperatura axilar 36,2 °C, ORL: rinitis serosa con faringe congestiva y otoscopia normal, auscultación cardíaca normal, auscultación pulmonar con murmullo vesicular conservado, abdomen sin hallazgos patológicos y exploración neurológica normal. A nivel de la columna existe actitud escoliótica que corrige con la flexión del tronco, asimetría de la escápula derecha, que aparece elevada y ligera lateralización del cuello hacia el mismo lado. Pies equinovaros.
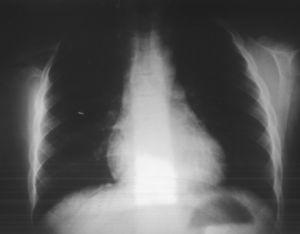
Pruebas complementarias. Radiografía cervical y de tórax (figs. 1 y 2): escápula derecha elevada, apreciándose en columna cervical apéndices costales C6 de predominio derecho.
Figura 1. Radiología de columna cervical: se aprecian apéndices costales de predominio en C6.
Figura 2. Radiografía de tórax: escápula derecha elevada.
Radiografía simple de columna (en bipedestación y descalza). Ligera escoliosis lateral dorsolumbar de convexidad derecha.
Pregunta
¿Cuál es su diagnóstico?
Deformidad de Sprengel
En la radiografía de tórax, se aprecia una elevación de la escápula de unos 2 cm. Esta deformidad es visible a la inspección física, que correspondería a un grado III 1, sin repercusión aparente sobre la movilidad del hombro, pero que conlleva una lateralización casi constante del cuello y escoliosis sintomática compensatoria, en la columna cervical se observan apéndices costales bilaterales, de predominio derecho, asintomáticos, asociando un pie equinovaro, que está siendo tratado ortopédicamente con buen resultado funcional actualmente.
La deformidad de Sprengel o escápula elevada es una enfermedad congénita rara, de origen hereditario o esporádico 2 (en el presente caso no hemos encontrado evidencias de familiares con esta malformación), consistente en una alteración de la posición de la escápula que puede estar asociada a otras malformaciones (esqueléticas, óseas, renales y cardíacas, etc.) 3,4.
Produce una alteración de la movilidad del hombro sobre todo a la flexión hacia atrás y a la abducción 5, en función del grado de severidad. La relación mujer:varón es 3:1.
La escápula aparece en la quinta semana de gestación a nivel C5-T1 emigrando desde el nacimiento hasta el adulto a T2-T7. La alteración de dicha emigración produce la elevación de la escápula, con la consiguiente alteración musculoesquelética compensatoria.
Puede asociarse a otras alteraciones como la ausencia o fusión costal, costillas cervicales, síndrome de Klippel-Fiel, escoliosis congénita con hemivértebra, espina bífida cervical, siringomielia, paraplejía, platibasia, situs inversus, disostosis mandibulofacial, anormalidades claviculares, alteraciones cardíacas, malformaciones renales entre otras.
En función del grado de severidad clínica, Cavendish las clasifica en: grado I (muy leve), grado II (leve), grado III (moderado), grado IV (grave) 1. Puede ser diagnosticada precozmente intraútero por ecografía 6,7.
El tratamiento suele ser quirúrgico, siendo el grado de severidad clínica su indicación 5, dependiendo de éste obtendremos un mejor resultado si la operación se realiza entre los 15 y 20 meses de edad, junto con una rehabilitación posquirúrgica 5,6.
Pensamos que un diagnóstico precoz intraútero o en su defecto, al nacimiento, al igual que un tratamiento temprano, podría evitar la aparición de alteraciones musculoesqueléticas secundarias.
Figura 3. Radiografía de columna simple (en bipedestación y con pies descalzos): donde se aprecia ligera escoliosis lateral dorsolumbar de convexidad derecha.
Correspondencia: Dr. C. Guerrero Laleona.
Servicio de Pediatría. Hospital de Alcañiz.
Doctor Repollés, 2. 44600 Alcañiz. Teruel. España.
Correo electrónico: cguerrero12@hotmail.com
Recibido en noviembre de 2004.
Aceptado para su publicación en marzo de 2005.





