Niño de seis años de edad que presenta una lesión cutánea en mejilla izquierda de crecimiento progresivo de cuatro meses de evolución. Sus padres refieren el antecedente de una picadura de insecto en dicha localización durante un viaje a Marrakech (Marruecos) que realizaron hace cinco meses.
A la exploración se aprecia una placa eritematosa de 1,5 cm de diámetro con costra amarillenta central (fig. 1). La dermatoscopia de luz polarizada (DLP) reveló hallazgos compatibles con una infección cutánea por Leishmania spp. (fig. 2).
Los hallazgos dermatoscópicos más frecuentemente descritos en la leishmaniasis cutánea son la presencia de eritema generalizado y de estructuras vasculares (vasos lineales irregulares, en horquilla, en coma y vasos arborizantes) de forma casi constante, seguido de un patrón similar a estallido de estrellas blanco (entre el 58,3%-87%), lágrimas amarillas (41,7%-75%) e hiperqueratosis central (33,3%- 35,3%). Entre otros hallazgos también podemos encontrar la presencia de tonalidad amarillenta, ulceraciones centrales y pseudoquistes de millium que se muestran como estructuras circulares blanco-amarillentas de pequeño tamaño1,2.
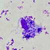
Para obtener la confirmación diagnóstica se optó por realizar una visualización directa del parásito mediante impronta cutánea. Para ello, tras la retirada de la costra central, se apoyó una lámina portaobjetos sobre la lesión cutánea, con el fin de que los macrófagos infectados por amastigotes se adhirieran a esta, para ser examinados posteriormente. Las muestras se tiñeron con Giemsa y se examinaron al microscopio óptico con ocular de x10 y objetivo de x100 en aceite de inmersión, objetivándose múltiples amastigotes de Leishmania sp. en los macrófagos encontrados (fig. 3).
La impronta cutánea es una prueba de diagnóstico directo de leishmaniasis cutánea, rápida, sensible y económica, siendo su sensibilidad diagnóstica superior al estudio histopatológico de biopsia cutánea (85,3% vs. 44%, respectivamente). Sin embargo, estas técnicas no permiten la identificación de especie a diferencia de los métodos de diagnóstico molecular como la PCR3.
En conclusión, la DLP permite la identificación de estructuras dermatoscópicas distintivas de la infección cutánea por Leishmania. Esta técnica diagnóstica, junto con la confirmación mediante impronta cutánea, evita la realización de pruebas invasivas como la toma de biopsias cutáneas para la realización de cultivo, pruebas de diagnóstico molecular o estudio histológico, especialmente en localizaciones de elevado compromiso estético como es la región facial.





