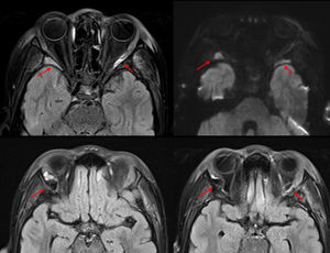
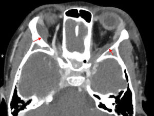
Paciente de 8 años con enfermedad de células falciformes homocigota (sin antecedentes familiares), tratada con amoxicilina profiláctica, hidroxiurea y ácido fólico, en seguimiento anual y con un ingreso previo por crisis vasooclusiva en pierna, sin otros antecedentes. Ingresa con sospecha de crisis vasooclusiva en extremidades y abdominalgia en hospital de origen, y se deriva a nuestro centro por deterioro progresivo, con fiebre, hepatomegalia y esplenomegalia hasta cresta ilíaca, así como tumefacción dolorosa periocular bilateral, sin flogosis ni alteración visual (fig. 1). Analítica con descenso de hemoglobina y plaquetas, elevación de parámetros de hemólisis, HbS 44,3% y PCR de 17,7mg/dL. Sospecha de secuestro esplénico y celulitis orbitaria1,2, se administran oxigenoterapia, analgesia en perfusión contínua de morfina, dos transfusiones de hematíes y antibioterapia endovenosa. TAC de órbita (fig. 2) con componente de partes blandas en región periorbitaria externa bilateral, siguiendo el margen óseo y con extensión posterior, compatible con posible hematopoyesis extramedular o proceso linfoproliferativo. RMN craneal (fig. 3) descarta afectación nerviosa mostrando áreas sugestivas de infarto en alas mayores esfenoidales y efusiones hemorrágicas secundarias3. Hemocultivo y serología a VEB negativos. Se orienta como infarto óseo y se suspende antibioterapia, con mejoría clínica completa a los siete días.
El factor de impacto mide la media del número de citaciones recibidas en un año por trabajos publicados en la publicación durante los dos años anteriores.
© Clarivate Analytics, Journal Citation Reports 2025
SJR es una prestigiosa métrica basada en la idea de que todas las citaciones no son iguales. SJR usa un algoritmo similar al page rank de Google; es una medida cuantitativa y cualitativa al impacto de una publicación.
Ver másSNIP permite comparar el impacto de revistas de diferentes campos temáticos, corrigiendo las diferencias en la probabilidad de ser citado que existe entre revistas de distintas materias.
Ver másEl número medio de días que tarda un artículo desde su envío hasta la primera decisión editorial.
Ver más





