Sr. Editor:
La distrofia miotónica congénita (DMC)1-6 es un trastorno hereditario con afectación multisistémica, siendo la hipotonía el rasgo distintivo. Se caracteriza por su manifestación precoz y mal pronóstico. La presencia de asfixia perinatal concomitante puede enmascarar el diagnóstico.
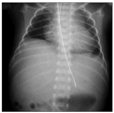
Se presenta el caso de un recién nacido mujer de 33 semanas de edad gestacional, hijo de madre primigesta, cuyo embarazo fue controlado sin incidencias reseñables salvo movimientos fetales discretamente disminuidos. El parto se desencadenó de manera espontánea, con registro cardiotocográfico normal, realizándose cesárea por no progresión. El recién nacido pesó 1.800 g y presentó depresión respiratoria grave inmediata con secreciones espesas precisando aspiración e intubación, con dificultad para establecer una ventilación y oxigenación adecuadas durante los primeros minutos de vida. El test de Apgar fue de 1/4/4, precisando adrenalina y bicarbonato. El pH de cordón fue 7,28/7,34. Desde su ingreso se apreció hipotonía generalizada grave con mínima actividad motora, depresión del nivel de conciencia sin respuesta al dolor, así como ausencia de respiración espontánea, precisando ventilación mecánica. Los reflejos osteotendinosos eran débiles, los reflejos primitivos estaban abolidos y presentaba afectación del tronco cerebral. Se realizó electroencefalograma donde se objetivó enlentecimiento de actividad cerebral de bajo voltaje compatible con encefalopatía difusa de grado moderado-grave a las 12 h de vida y ausencia de actividad eléctrica a las 60 h. No presentó convulsiones ni se observaron alteraciones en la ecografía cerebral realizada precozmente. Los rasgos fenotípicos fueron normales salvo leve hipotrofia muscular de miembros inferiores y turbidez corneal. En la radiografía de tórax (fig. 1) se apreció elevación del hemidiafragma derecho y costillas finas con posible hipoplasia pulmonar. Ante la sospecha de enfermedad neuromuscular se estudió a la madre que fue diagnosticada de distrofia miotónica de Steinert. No había otros antecedentes familiares de enfermedad neuromuscular. El recién nacido falleció a las 62 h con los diagnósticos de encefalopatía hipóxico-isquémica grave y probable DMC, realizándose biopsia muscular donde se observaron fascículos constituidos por fibras musculares de muy pequeño tamaño (7-14 micras) mostrando imágenes de centralización nuclear y miotubos, sugerentes de DMC.
Figura 1. Radiografia de tórax donde se observan hipoplasia pulmonar derecha y costillas finas.
La incidencia de DMC es de aproximadamente 1 caso por cada 10.000 recién nacidos. En nuestro medio este valor podría ser incluso mayor y deberse al infradiagnóstico (pérdidas fetales por aborto, parto prematuro, muerte neonatal precoz por asfixia perinatal grave). Se trata de un trastorno con herencia autosómica dominante, transmisión materna, de penetrancia casi completa y expresividad variable. Está implicado el fenómeno de anticipación, asociado con el aumento del número de copias del triplete CTG situado en el cromosoma 9q13.3. La forma congénita suele tener un número de copias en torno a 500. La mortalidad precoz es elevada, secundaria en la mayoría de las ocasiones a la hipoplasia pulmonar. Las manifestaciones clínicas pueden detectarse durante la gestación en forma de polihidramnios, disminución de los movimientos fetales o retraso del crecimiento. En el período neonatal inmediato suele llamar la atención la hipotonía y debilidad generalizada con diplejía facial (ausencia de mímica facial y labio superior en "V" invertida), la dificultad respiratoria por debilidad muscular y/o hipoplasia pulmonar, posibles alteraciones oculares, dificultad de alimentación y en los casos más graves signos clínicos de acinesia fetal como contracturas articulares. La miotonía es excepcional en el período neonatal. La dificultad respiratoria inmediata, cuando es grave, puede provocar si no se establece una ventilación eficaz un episodio de asfixia posnatal que domina el cuadro clínico enmascarando el origen miopático de la enfermedad.
Hemos expuesto un caso de DMC grave de diagnóstico posnatal sospechada por la intensidad de la depresión al nacimiento en ausencia de indicadores de pérdida de bienestar fetal, los hallazgos de la radiografía de tórax, así como el diagnóstico posterior de enfermedad materna. En nuestro caso la dificultad en establecer una ventilación adecuada en los primeros minutos de vida provocó el episodio asfíctico posnatal, origen de la encefalopatía hipóxico-isquémica grave. Aunque la forma de presentación más frecuente de DMC es aquella en la que se evidencian los signos clínicos clásicos de la enfermedad descritos previamente, éstos pueden pasar desapercibidos por una forma de presentación grave en la que la encefalopatía hipóxico-isquémica aparece como diagnóstico principal.
Se pretende resaltar que en aquellos recién nacidos que presentan depresión neonatal importante y/o signos de encefalopatía hipóxico-isquémica sin concordancia con datos perinatales de bienestar fetal, se ha de considerar siempre la posibilidad de DMC, cuya sintomatología puede quedar enmascarada por las manifestaciones de un episodio asfíctico posnatal, y para cuyo diagnóstico debemos acudir siempre a una anamnesis familiar exhaustiva y a la evaluación neurológica de la madre.



