Niña de 3años que se presentó en el servicio de urgencias con claudicación de la marcha en el lado derecho de dos días de duración tratada el primer día con ibuprofeno. La madre negó antecedente de caídas o traumatismos importantes e informó de un único pico febril (38,5°C). Se administró morfina para manejar el dolor intenso que experimentaba la paciente con la movilización de la cadera derecha. Los hallazgos de las pruebas de laboratorio, la radiografía simple y la ecografía de cadera fueron normales.
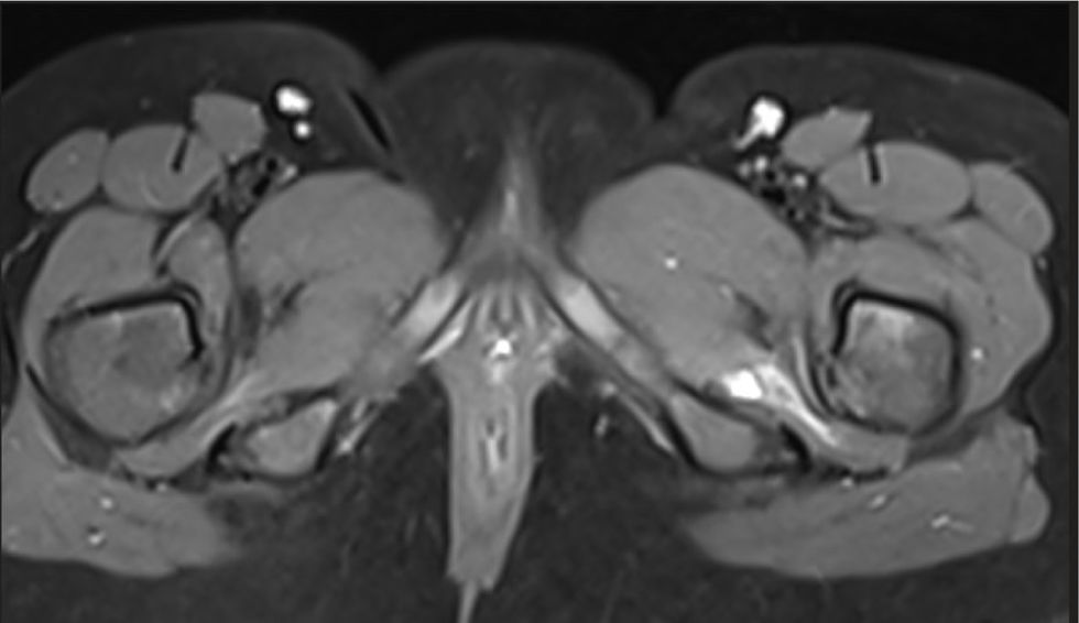
Debido a la sospecha de infección musculoesquelética, se inició tratamiento antibiótico intravenoso (cefuroxima y flucloxacilina), manteniendo a la paciente en reposo, con resolución de los síntomas. La resonancia magnética pélvica reveló «edema muscular difuso bilateral de los cuádriceps femorales, compatible con síndrome de pinzamiento isquiofemoral» (fig. 1), suspendiéndose el tratamiento antibiótico. En una entrevista posterior, la madre refirió que, el día previo al inicio de los síntomas, la paciente había subido y bajado repetidamente varias escaleras y plataformas en un parque infantil.
Este síndrome es el resultado de impactos sucesivos que provocan un estrechamiento del espacio isquiofemoral, que a su vez provoca inflamación y edema musculares1,2. La gravedad clínica no siempre se correlaciona con los hallazgos de la resonancia magnética. Es poco frecuente en la población pediátrica, y a menudo se pasa por alto en el diagnóstico diferencial del dolor de cadera. Aunque la miositis infecciosa es más frecuente a esta edad, en este caso se consideró poco probable debido a la presencia de un único episodio febril, la ausencia de afectación sistémica, los marcadores inflamatorios normales (incluyendo el recuento de leucocitos y los niveles de proteínaC reactiva y procalcitonina) y la ausencia en la resonancia magnética de hallazgos sugestivos de miositis infecciosa como licuefacción, necrosis o edema muscular extenso. El tratamiento de este síndrome suele ser conservador (reposo y antiinflamatorios no esteroideos), con un pronóstico favorable1,2.
Conflicto de interesesLos autores declaran no tener ningún conflicto de intereses.



