Sr. Editor:
El neumomediastino se define como la presencia de aire en el espacio mediastínico producido por situaciones que favorecen la rotura de los alvéolos terminales, con escape del aire, disección del espacio intersticial perivascular hacia el hilio y su salida a mediastino. Puede llegar al cuello tras disecar la fascia cervical profunda.
Se clasifica en traumático, yatrogénico o espontáneo. De éstos, el neumomediastino espontáneo, es poco frecuente en pediatría 1.
Al revisar la bibliografía, se detecta escasa información sobre patogenia y curso de esta entidad, por lo que presentamos el caso clínico de un preadolescente atendido en nuestro servicio.
Se trata de un escolar de 13 años, que consulta por dolor en el tercio superior de tórax y el cuello de 24 h de evolución. También refiere disfagia acompañante desde el inicio del cuadro. No presenta estrés respiratorio ni accesos de tos.
En los antecedentes personales sólo destaca un cuadro de rinoconjuntivitis extrínseca, sin clínica en el momento del proceso y nunca ha presentado crisis asmáticas.
A la exploración física presenta un peso 61 kg y talla de 167 cm. El cuello está edematoso hasta la zona submandibular, con crepitación en el tercio superior del tórax hasta axila y en la región laterocervical. La auscultación cardiorrespiratoria presenta una buena ventilación bilateral y crepitación sincrónica en región precordial que coincide con el latido cardíaco (signo de Hamman). El resto de exploración por órganos y aparatos fue normal.
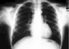
En los exámenes complementarios se evidenció una radiografía de tórax anteposterior y lateral con imagen cardíaca resaltada por la presencia de aire en mediastino hasta axila, así como aire en estructuras mediastínicas posteriores, que disecan tejido subcutáneo hasta el cuello (fig. 1 y 2). Se realizó igualmente electrocardiograma que resultó normal.
Figura 1. Imagen de aire en mediastino, resaltándose figura cardíaca con aire tras parrilla costal.
Figura 2. Neumomediastino con aire hasta región axilar derecha.
El escolar se ingresó durante 24 h para control evolutivo del proceso, y se le realizó control radiográfico del tórax al alta, para evaluar la falta de progresión del cuadro. A los 15 días se realizó nuevo control en Consultas Externas, donde se objetivó la resolución de la clínica desde los 7-10 días, y de las imágenes radiológicas.
El neumomediastino espontáneo es una patología rara en la infancia. En series españolas se estima una frecuencia de ingresos del 0,06 % 2, por lo que se considera una entidad en la que raramente se piensa ante un dolor torácico como diagnóstico diferencial. En pediatría, se ha observado un predominio en varones y una distribución bimodal por edades, con predominio en menores de 3 años y en preadolescentes 3.
En preadolescentes, casi nunca suele faltar en la anamnesis, la práctica de algún deporte, vómitos y accesos de tos, que provocaría la rotura de alvéolos terminales, como antecedente personal a la crisis. En algunas series de neumomediatismo espontáneo, aparece el uso habitual de drogas inhaladas como el crack, cannabis, éxtasis o cocaína 4,5. Esta inhalación se acompaña de un esfuerzo inspiratorio prolongado y forzado, seguido de una maniobra de Valsalva. Este antecedente se deberá tener en cuenta cuando de adolescentes con esta entidad se trate. Al repetir la historia a nuestro paciente, se comprobó que durante un partido de fútbol, había sufrido un choque frontal con un compañero que relacionó con el inicio de la clínica esa misma tarde. No refería consumo alguno de drogas.
El dolor torácico y la disnea son los síntomas más frecuentes en el 82 % de los casos 6. Ante estos síntomas, será preciso descartar otras causas, por lo que se requiere una exploración clínica detallada. El signo exploratorio diagnóstico es el enfisema subcutáneo 6,7. Se puede limitar al cuello y al área supraclavicular (70-90 %) o bien, afectar a la cara, axila e incluso pared tracoabdominal.
El signo de Hamman, que es la crepitación a la auscultación, sincrónica con el latido cardíaco, está presente en el 50-80 % de los casos 6,8, como ocurrió en nuestro paciente. La confirmación diagnóstica, será con radiografía de tórax posteroanterior y lateral, ya que se evidencia la presencia de aire en el mediastino, y no es preciso llevar a cabo más exploraciones complementarias 9.
La evolución natural en adolescentes es usualmente benigna, y sólo precisan terapia sintomática con analgésicos si hay dolor. Se recomienda el alta precoz a las 12-24 h si en el control radiológico no se detecta un aumento o complicación como neumotórax o mediastinitis. Se precisa reposo relativo durante 8-10 días y observación ambulatoria hasta que los síntomas y la radiología mejoren 10.
Correspondencia: Dr. J.A. Cózar Olmo.
Ctra. Estación, Urb. Alameda, 2. 04600 Huércal Overa.
Almería. España.
Correo electrónico: jcozarolmo@hotmail.com




