La enfermedad de Von Hippel Lindau (EVHL) es un síndrome tumoral multisistémico, de herencia autosómica dominante y penetrancia incompleta, que afecta a 1/36.000 personas. Se caracteriza por la presencia de hemangioblastomas retinianos o cráneo-espinales y lesiones viscerales (como en páncreas y riñón)1.
La aciduria L-2-hidroxiglutárica (L2OHG) es una enfermedad neurometabólica rara, con menos de un centenar de casos descritos, que cursa de forma lentamente progresiva, con deterioro cognitivo, ataxia cerebelosa y hallazgos bioquímicos y de neuroimagen característicos2. Describimos el caso de una niña que asociaba ambas patologías. Hija de padres primos hermanos, con retraso en los ítems del desarrollo psicomotor. Diagnosticada de hipotiroidismo congénito y sordera neurosensorial con implante coclear. Remitida a nuestra consulta con 3 años de edad. En la exploración física destaca hipopsiquismo y ataxia con examen oftalmológico normal. En la resonancia magnética craneal presenta una alteración parcheada de la sustancia blanca subcortical de los hemisferios cerebrales y de la sustancia blanca cerebelosa (fig. 1). Se detecta una excreción aumentada de ácido L2-hidroxiglutárico de 2842mmol/mol creatinina. Posteriormente, se confirma una mutación homocigota en el gen de la hidroxiglutarato deshidrogenasa: una deleción en el exón 3 c.358_360delCTC, cuya proteína variante era p.(Leu120del). Con 8 años de edad se realiza una nueva neuroimagen por vómitos intermitentes de un año de evolución, observándose un proceso expansivo en la unión bulbomedular (fig. 2) con diagnóstico anatomopatológico de hemangioblastoma. En la exploración oftalmológica presenta angiomas retinianos bilaterales. Se diagnostica enfermedad de Von Hippel-Lindau. Se realiza el estudio genético, detectándose un cambio c.194 C>T (pSer65Leu) en heterocigosis en el exón 1 del gen VHL. Durante el postoperatorio inmediato presenta una hemorragia en el lecho quirúrgico con afectación de pares craneales bajos (IX, X, XII). La tumoración se trata posteriormente con radio cirugía (gamma-knife), manteniéndose estable en los controles subsiguientes. Recibe fotocoagulación con láser en las lesiones retinianas. Actualmente presenta pérdida de visión, sobre todo del ojo izquierdo.
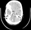
Tomografía axial computarizada craneal: en la región inferior del IV ventrículo se visualiza una masa hipodensa, de 25mm de diámetro, con 2 nódulos situados en el margen posterolateral derecho de la lesión descrita, que captan contraste de forma intensa y a los que les llegan unas estructuras vasculares.
Evolutivamente, aparece una tumoración intramedular a nivel D4, compatible con hemangioblastoma así como signos de posible hemangioblastomatosis leptomeníngea. En la actualidad está pendiente de angiografía medular y eventual embolización de la lesión medular.
La EVHL se trata de una mutación en el gen VHL localizado en el brazo corto del cromosoma 3 (3p25-26), que actúa como gen supresor tumoral3,4. Los hemangioblastomas del sistema nervioso central se presentan con mayor frecuencia en el cerebelo (75%), seguido de médula espinal (15%) y en el tronco cerebral (5-20%)5. Aunque histológicamente se trata de un tumor benigno, su morbimortalidad depende del tamaño, la localización, el número de lesiones y la asociación de quistes y edema. Suelen tener un rápido crecimiento inicial seguido de una fase más lenta1, por lo cual es difícil saber en nuestra paciente si el hemangioblastoma de bulbo raquídeo se ha mantenido estable por su evolución natural o por la terapia. El tratamiento definitivo es la exéresis quirúrgica.
Los hemangioblastomas retinianos se presentan hasta en el 80% de los pacientes. Nuestra paciente no los presentaba en la exploración oftalmológica realizada a los 3 años de edad. Pueden ser asintomáticos o presentarse con disminución de la agudeza visual1.
La L2OHG tiene una herencia autosómica recesiva, describiéndose múltiples mutaciones en el gen localizado en el brazo largo del cromosoma 14 (14q22.1)6. Cursa de forma lentamente progresiva, con deterioro cognitivo, ataxia cerebelosa y hallazgos bioquímicos y de neuroimagen característicos. Durante los primeros años, el desarrollo psicomotor parece normal o ligeramente retrasado2, evolutivamente desarrollan alteraciones en la marcha, del habla y cognitivas. Steenweg et al. publican una serie amplia de pacientes donde se refiere que a lo largo de su evolución un 93% tendrá retraso mental, un 82% ataxia, un 72% epilepsia, un 48% macrocefalia, un 38% síntomas extrapiramidales y un 20% espasticidad6.
Presentan una excreción aumentada de ácido L2-hidroxiglutárico en orina, así como un incremento de la concentración en LCR y en menor cantidad en plasma2,6. En la neuroimagen, muestran un patrón característico con leucodistrofia subcortical bilateral, con cambios de intensidad en ganglios basales, núcleos dentados y atrofia cerebelosa2,7. Actualmente, no existe tratamiento específico, aunque Kutluhan describe un caso con mejoría tanto a nivel cognitivo como motor tras la administración de riboflavina a 200mg/día8. En nuestro caso no se ha observado dicha mejoría tras un año de tratamiento.
En un paciente con una enfermedad metabólica con clínica neurológica, realizar el diagnóstico de otra enfermedad neurológica multisistémica siempre entraña mayor dificultad; sin embargo, ante una clínica no explicada debemos proceder como en cualquier otro niño, sospechando y realizando las pruebas diagnósticas necesarias. A pesar de conocerse la mayor presencia de tumores cerebrales6,7,9 en la L2OHG no hemos encontrado ningún caso en la literatura asociado a EVHL.




