El enfisema subcutáneo es un trastorno consistente en la presencia anormal de aire en el tejido subcutáneo con la consiguiente distensión de partes blandas. Cuando ello ocurre en el mediastino se denomina neumomediastino. Son diversas las causas de ambos, pudiendo ocurrir espontáneamente, tener un origen traumático, iatrogénico y, en ocasiones, de origen desconocido1,2. La incidencia es también muy variable, siendo excepcional la debida a procedimientos dentales3-5.
Varón de 12 años de edad, sin antecedentes previos de interés, que acude a urgencias por tumefacción y molestias en la región supraclavicular izquierda de 24h de evolución, que a la palpación describe como crepitación (pisar la nieve). Se acompaña de odinofagia y dolor torácico no muy intenso, sin dificultad respiratoria ni cambio de coloración. El paciente relaciona el inicio de los síntomas con una maniobra de bostezo. Cinco días antes le fueron extraídas 2 piezas dentales, bajo anestesia local, en una intervención poco laboriosa. No hubo complicaciones inmediatas tras el procedimiento.
A la exploración, presentaba frecuencia respiratoria de 12rpm, frecuencia cardiaca 86 lpm, temperatura 37°C y saturación de oxígeno 99%, buen estado general y normocoloración de piel y mucosas. Se apreciaba una ligera tumefacción en la zona supraclavicular izquierda, con crepitación a la palpación, y discreta asimetría torácica. La auscultación cardiopulmonar era normal, sin que a nivel orofaríngeo se observasen signos patológicos. El resto de la exploración era normal.
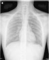
La radiografía de tórax (fig. 1) mostraba enfisema subcutáneo en las regiones cervical, supraclavicular y axilar izquierdas con neumomediastino. La gasometría arterial fue normal.
Ingresa en observación bajo oxigenoterapia (mascarilla reservorio) durante unas horas, en las que se aprecia mejoría clínica con desaparición del dolor y molestias, manteniendo las constantes normales. Doce horas después se realiza una radiografía de control, con clara mejoría.
Dada la buena evolución clínico-radiológica, es dado de alta bajo observación domiciliaria. Tres días después acude a control, asintomático y con radiografía de tórax normal.
El neumomediastino secundario a enfisema subcutáneo de la región cervicofacial es poco frecuente y podría ser secundario a diferentes procesos que afecten a la cabeza y el cuello (traumatismos, cirugía, etc.)5-7. El enfisema subcutáneo como complicación de la cirugía oral es, a su vez, infrecuente, siendo la extracción dental la etiología más común3.
La mayor parte de los casos vinculados a intervenciones dentales están relacionados con el empleo del torno que introduce el aire hacia el espacio sublingual y submandibular, pudiendo disecar planos más profundos y, a través del cuello, llegar a producir un neumomediastino4-9.
Aunque están descritos en la literatura varios casos de enfisema subcutáneo, con o sin neumomediastino, tras extracción de molares, la mayor parte son pacientes adultos6-9 y son pocos los casos publicados en la edad pediátrica3-5.
En niños con neumomediastino, es frecuente el dolor retroesternal, que aumenta con la tos y la respiración. En ocasiones, se acompaña de disnea1,10. Como en nuestro caso, los pacientes con enfisema subcutáneo suelen presentar dolor en la zona tumefacta, crepitación a la palpación y, en ocasiones, odinofagia. La clínica suele aparecer a las horas o pocos días tras el procedimiento dental3-9. En el caso que presentamos, el tiempo transcurrido desde la intervención fue mayor que lo publicado, ya que los primeros síntomas se manifestaron a los 5 días de la intervención, coincidiendo con un bostezo, que pudo ser el desencadenante del cuadro. El paciente no presentaba ninguna enfermedad de base ni había presentado maniobras respiratorias o de Valsalva los días previos que explicasen los signos y síntomas clínicos, por lo que se relacionó la extracción dental con el origen de la sintomatología.
Es importante el diagnóstico precoz y control posterior de estos pacientes para evitar posibles complicaciones, como mediastinitis, taponamiento cardiaco y obstrucción aérea. El diagnóstico se confirma mediante radiografía de tórax y cervical que muestra aire en el mediastino y en el tejido subcutáneo1,10.
El diagnóstico diferencial de la tumefacción facial-cervical tras un procedimiento dental se debe hacer con el angioedema, reacción anafiláctica, hematoma y celulitis5,6,9. Hay descritos casos que fueron diagnosticados inicialmente de una reacción alérgica4,8. La crepitación a la palpación es uno de los datos que permite descartar el resto de diagnósticos.
El enfisema subcutáneo y neumomediastino secundarios a extracciones dentales tienen, por lo general, una resolución espontánea en pocos días. Los casos no complicados se pueden manejar de manera conservadora con analgesia y reposo, y recomendándose evitar maniobras que aumenten la presión pulmonar. La terapia con altas concentraciones de oxígeno se ha usado ocasionalmente en pacientes con neumomediastino pero su uso no debería ser generalizado1,10. En ocasiones, se recomienda iniciar tratamiento antibiótico para la prevención de infecciones3-9. Dado el buen estado general que presentaba el paciente y la resolución precoz de los síntomas, se decidió adoptar una actitud expectante.
El objetivo de la presentación de este caso es llamar la atención sobre esta rara complicación tras procedimientos odontológicos. Si bien el caso que presentamos fue leve y sin complicaciones, es necesario considerar esta posibilidad ante intervenciones dentales previas.



