El carcinoma nasofaríngeo (CNF) es un tumor poco frecuente en la edad pediátrica. Representa entre el 80 y el 95% de los tumores nasofaríngeos de todas las edades y el 20% de éstos en la infancia1. Es un carcinoma de células escamosas que asienta en el epitelio de revestimiento nasofaríngeo. Típicamente se origina en la fosa Rosenmüller, permaneciendo clínicamente asintomático durante un período prolongado. La forma más común de presentación es una adenopatía cervical metastásica2 seguida de epistaxis, obstrucción nasal, otitis media serosa y otros síntomas rinológicos3.
A continuación presentamos el caso clínico de un varón de 9 años con un CNF, con el propósito de ayudar al reconocimiento precoz de esta enfermedad ante una clínica tan frecuente en la edad pediátrica como es la epistaxis.
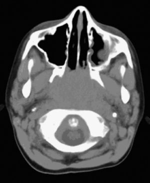
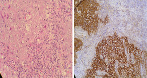
Caso clínicoPaciente de 9 años, varón, sin antecedentes de interés, que consulta en el Servicio de Urgencias por epistaxis. Refiere 10 episodios en los últimos 3 meses, autolimitados, de 10min de duración. Diagnosticado un mes antes de anemia ferropénica en tratamiento. En la exploración destaca una epistaxis activa, palidez mucocutánea, adenopatía laterocervical izquierda de 2×2cm, móvil, de consistencia dura, dolorosa a la palpación, no adherida a planos profundos, sin signos inflamatorios evidentes, controlada por su pediatra, y otras menores de 1cm, submandibulares y cervicales bilaterales. En el resto de la exploración no hubo hallazgos. En Urgencias no se visualiza el punto de hemorragia y se realiza taponamiento anterior. La analítica evidencia anemia ferropénica sin trastornos de la coagulación. Se realiza una tomografía computarizada (TC) maxilofacial, en la que se visualizó una ocupación de la luz del cavum (fig. 1). Se completa el estudio con exploración endoscópica nasal, en la que se visualiza una masa rinofaríngea en pared posterosuperior y se cauteriza con bisturí eléctrico, cediendo la hemorragia. Se toma muestra para biopsia, que da como resultado un carcinoma indiferenciado de cavum (fig. 2). Posteriormente, se envió al paciente al Servicio de Oncología pediátrica para seguimiento y tratamiento con radioterapia.
Microscopia óptica de carcinoma nasofaríngeo indiferenciado. Tinción hematoxilina-eosina. Infiltrado linfoide grave entremezclado con grupos celulares que forman nidos epiteliales tumorales. Análisis inmunohistoquímico: positivo para citoqueratina confirmando la estirpe linfoepitelial del tumor.
La epistaxis es un síntoma común en la edad pediátrica, que rara vez es grave y requiere hospitalización. Las causas más frecuentes son los traumatismos (cuerpos extraños, hurgar la nariz, etc.), la irritación de la mucosa nasal (rinitis alérgica, aire acondicionado, infección respiratoria, etc.) y la desviación septal. Los tumores nasofaríngeos son una causa de epistaxis infrecuente en la infancia. El CNF es un tumor raro en los Estados Unidos y en Europa, representando una incidencia aproximada de 0,5 a 2 cada 100.000 por año. En la patogénesis tiene una función importante el virus de Epstein-Barr, factores genéticos y ambientales (consumo de pescado seco, nitratos, verduras conservadas, hierbas chinas)4,5. El CNF ocurre en todos los grupos de edad y es más común en varones (2,5:1)6,7. El síntoma de presentación más común es la adenopatía metastásica cervical, que puede ser bilateral. Nuestro paciente inicia la clínica con episodios recurrentes de epistaxis de larga evolución y múltiples adenopatías cervicales bilaterales midiendo ecográficamente la de mayor tamaño, en el lado izquierdo, 22mm. Las adenopatías ocurren entre un 75 y un 90% de estos pacientes, siendo bilaterales hasta en un 50%. La tríada clínica clásica de masa en el cuello, obstrucción nasal con epistaxis y otitis media serosa es infrecuente. En contraste con otros cánceres epidermoides de cabeza y cuello, el CNF tiene gran tendencia a metastatizar tempranamente. Las metástasis a distancia son detectadas en el diagnóstico inicial en un 5 a un 11% de los pacientes y entre el 38 y el 87% tiene metástasis a distancia en la autopsia8. Los sitios de metástasis más frecuentes son hueso, pulmón e hígado. La supervivencia a los 5 años es del 60%.
En el manejo de los niños con epistaxis de larga evolución se debe incluir hemograma, coagulación, rinoscopia anterior y posterior. Si se sospecha o se visualiza masa, se debe realizar estudio radiológico con TC o resonancia magnética9. La biopsia del tumor se considera imprescindible para confirmar el diagnóstico. Una vez establecido el diagnóstico de certeza, se debe determinar el alcance de la enfermedad. Respecto al tratamiento, el CNF primario confinado es muy sensible a la radioterapia y puede combinarse con quimioterapia para reducir el riesgo de recidiva.
ConclusiónEl CNF es un tumor poco frecuente en la edad pediátrica. Ante sintomatología nasofaríngea, obstrucción nasal y epistaxis de larga evolución debemos plantear diagnóstico diferencial con esta entidad. Es fundamental el diagnóstico precoz y la evaluación de la extensión, con el propósito de realizar un tratamiento adecuado y oportuno, ya que esta enfermedad tiene una elevada tasa de morbimortalidad.




