Introducción
Los rabdomiomas cardíacos son tumores benignos localizados en el 70 % de los casos en el ventrículo izquierdo, fundamentalmente en la zona septal o apical1,2. La mayoría son tumores múltiples, 90 %, con regresión espontánea3 en el 54 % de los casos. Rara vez se han localizado en la zona subaórtica4 con obstrucción de la válvula aórtica.
Presentamos un recién nacido con un rabdomioma pediculado unitario, localizado junto a la válvula aórtica diagnosticado por ecografía-resonancia, que obstruye en sístole la salida del ventrículo. El tumor fue resecado a los 2 meses.
Observación clínica
Se trataba de un paciente que había sido diagnosticado de obstrucción grave del tracto de salida del ventrículo izquierdo de la válvula aórtica por probable tumoración y que fue remitido para completar el estudio y tratamiento.
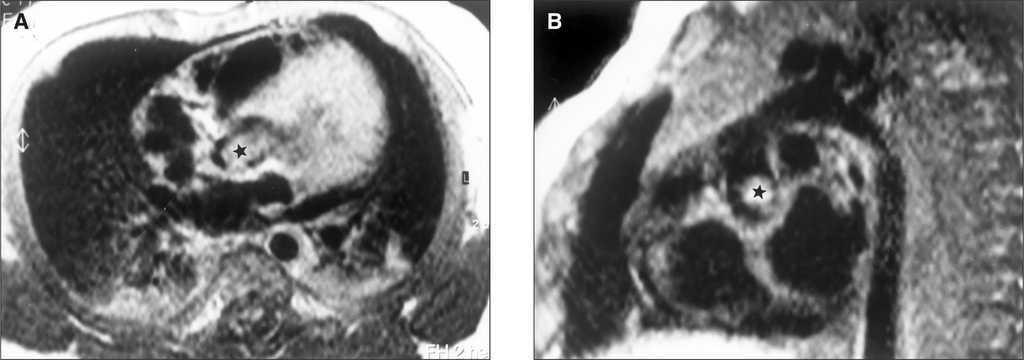
Entre los antecedentes familiares, el padre y abuelo presentaban adenomas sebáceos en cara y manchas acrómicas en tórax, y la hermana del padre, litiasis renal asociada a insuficiencia renal, en tratamiento con diálisis. Exploración: recién nacido de parto a término con un peso de 2.065 g y manchas hipocrómicas en muslos. Auscultación cardíaca: soplo sistólico eyectivo en segundo espacio intercostal derecho con irradiación a cuello. Electrocardiograma y radiografía de tórax dentro de los límites de la normalidad. Ecocardiograma bidimensional: proyección 4 cámaras más aorta y eje largo, imagen ecogénica en la zona subaórtica de 1 cm de diámetro que en sístole protruye en la válvula aórtica obstruyéndola. La ecografía Doppler mostraba gradiente sistólico en el tracto de salida del ventrículo izquierdo de 80 mmHg. Resonancia cardíaca; en proyección frontal y oblicua se confirma la imagen densa de 8 mm de diámetro transverso y 11 mm de largo insertada en la zona subvalvular (fig. 1A), pasa a la raíz aórtica en sístole (fig. 1B). La resonancia magnética (RM) cerebral realizada posteriormente fue normal.
Figura 1. A) Resonancia. El tumor en cavidad ventricular en la zona subaórtica.B) Resonancia. El tumor pasa a la raíz de la aorta creando una obstrucción grave.
El paciente fue intervenido 4 días después. Durante la inducción anestésica presentó bradicardia extrema que requirió esternotomía urgente con entrada en circulación extracorpórea con masaje cardíaco. Se confirmó la tumoración de 8-10 mm de diámetro fibrosa, redonda y blanquecina. Estaba insertada en la zona subaórtica por debajo del anillo aórtico a la altura del seno coronario izquierdo. Se efectuó resección a través de la válvula aórtica. Tiempo de isquemia de 18 min, tiempo de extracorpórea de 59 min e hipotermia a 24 °C. Recuperación espontánea del latido cardíaco tras el cierre de la aortotomía y despinzamiento aórtico. Es trasladado a cuidados intensivos en buenas condiciones, con ventilación mecánica y sedación. En las primeras horas posteriores presentó escasa reactividad espontánea.
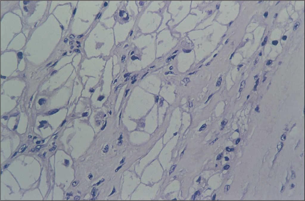
A partir de las 24 h se observan crisis convulsivas clónicas generalizadas con electroencefalograma patológico crisis focal motora en el hemisferio izquierdo con posterior descarga subclínica en el mismo hemisferio que desaparece con diazepam, fenobarbital y anticonvulsivantes. Actividad de fondo deprimida. En los controles posteriores se observan dos descargas irritativas subclínicas en región frontal en forma de onda lenta regular de unos segundos de duración, y otra de onda lenta aguda en región temporal. Extubación a los 4 días. A los 10 días se realiza tomografía computarizada craneal: en zona subependimaria lesión puntiforme en posición posterior del asta frontal del ventrículo derecho lateral derecho por encima del agujero de Monro, que pudiera corresponder a un pequeño hamartoma. Hipodensidad bilateral y simétrica en la zona posterior de los lóbulos temporal, occipital y parietal. Se produjo hemorragia parietal que le provocó ceguera cortical que cedió 10 meses después. A partir de los 18 días el EEG fue normal. El ecocardiograma mostraba ausencia de tumor en la zona subaórtica. Válvula aórtica normal. El eco-Doppler reveló gradiente máximo en el tracto de salida del ventrículo izquierdo de 16 mmHg. En el estudio anatomopatológico microscópico se encontraron células en araña con masa citoplasmática central y núcleos excéntricos. Imágenes radiales hasta la periferia (fig. 2). Los citoplasmas contenían gránulos de glucógeno y la masa citoplasmática contiene mitocondrias, miofibrillas y septofibrillas con bandas en Z. Fue dado de alta un año después de la intervención.
Figura 2. Células en araña con masa citoplasmática central y núcleos excéntricos. Imágenes radiales hasta la periferia.
Evolución: el perímetro craneal a los 18 meses es de 44 cm (< P3). La TC craneal muestra una atrofia cerebral de predominio occipital.
Discusión
Los rabdomiomas localizados en el tracto de salida del ventrículo izquierdo con obstrucción de la válvula aórtica son raros. Sólo se han publicado 14 casos. Son tumores solitarios1 que durante el ciclo cardíaco pasan a la arteria aorta creando una obstrucción que en algunos casos es grave5,6. La regresión espontánea es poco frecuente en esta zona. El rabdomioma cardíaco se asocia en el 60 % a esclerosis múltiple que inicialmente puede sospecharse por la historia familiar, las manchas hipocrómicas múltiples, nódulos renales, nódulos calcificados subependimarios y alteraciones del cromosoma 9q34 y 16p137,8. El diagnóstico se realiza prenatal y posnatalmente mediante ecocardiografía4,9-12 y angiografía6 confirmando la localización y morfología del tumor, su inserción directa o pediculada y la movilidad durante el ciclo cardíaco. La RM13,14 se ha aplicado en la última década para la localización de los tumores, pero en ningún caso en rabdomiomas que obstruían la vía de salida por desplazamiento a la arteria aorta.
La aparición de hipotensión, arritmias o síncope obliga a la resección quirúrgica como única medida de supervivencia. La vía aórtica, sin generar alteraciones de la estructura de las valvas sigmoideas es la técnica de elección15,16 para los pacientes con obstrucción valvular. No obstante, existen casos con disfunción valvular en los que es conveniente implantar un autoinjerto pulmonar en posición aórtica17.
 
										
				





