Lactante de 3 meses de edad que desde la tercera semana de vida presenta una lesión en el cuarto dedo de la mano derecha (figs. 1 y 2). La lesión presentó crecimiento progresivo.
Se decidió la resección quirúrgica de la lesión y estudio histológico, que reveló que se trataba de un fibroma digital infantil (fig. 3). Un mes después de la intervención, se observó nueva tumoración indurada bajo la cicatriz de la intervención previa, compatible clínicamente con recidiva de la lesión.
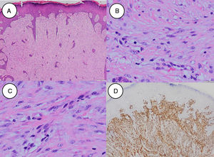
Estudio histológico de la lesión. A) Visión panorámica (tinción con hematoxilina-eosina, 4× aumentos) con proliferación fusocelular que ocupa el espesor completo de la dermis; B) Tinción con hematoxilina-eosina, detalle a mayor aumento (40×) de células fusiformes que componen la lesión; C) Tinción con hematoxilina-eosina, detalle a 40× de cuerpos de inclusión intracelulares y eosinófilos que son patognomónicos; D) Tinción de desmina positiva en la inmunohistoquímica (4×).
El fibroma digital recurrente es un tumor benigno infrecuente que suele aparecer al nacimiento o durante los 2 primeros años de vida1. Se manifiesta clínicamente como nódulos en las manos y pies, que respetan frecuentemente el primer dedo2. Suelen ser asintomáticos y menores de 2cm.
Existe una alta tasa de recidiva tras la intervención quirúrgica (hasta el 74%), por lo que clásicamente se optaba por cirugías con márgenes de resección amplios para garantizar márgenes libres y evitar recurrencias. Sin embargo, dada la considerable morbilidad asociada y la posibilidad de regresión espontánea, la tendencia actual es hacia un enfoque más conservador, reservando la cirugía para casos seleccionados en los que el paciente presente dolor o comprometa la movilidad articular2,3.





