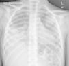
Varón de 6 años, nacido en España, familia de origen marroquí, y que había realizado el último viaje a Marruecos hacía 4 meses. Consultó por fiebre y tos de 4 días de evolución. A la exploración destacaba taquipnea y crepitantes en ambas bases pulmonares. En la radiografía de tórax se visualizaba un área condensativa con derrame pleural asociado en el lóbulo inferior derecho, y múltiples nódulos pulmonares bilaterales (fig. 1). Se realizaron pruebas de ecografía y tomografía axial computarizada toraco-abdominal, en las que se detectaron múltiples masas pulmonares bilaterales de densidad agua, uniloculares, una de ellas cavitada, con derrame pleural derecho (fig. 2) y 2 quistes simples hepáticos (fig. 3).
El diagnóstico diferencial incluyó enfermedades tumorales, infecciosas y reumatológicas. La presencia concomitante de eosinofilia (2.390 eosinófilos/mcl), la localización y el carácter quístico de las lesiones, orientaron hacia el diagnóstico de hidatidosis pulmonar y hepática. La eosinofilia está presente en menos del 25% de los pacientes, y suele afectar en aquellos en los que se ha producido liberación del contenido de los quistes, como fue en nuestro caso1. Se inició tratamiento empírico con albendazol oral, con confirmación diagnóstica serológica posterior. La respuesta al tratamiento médico fue positiva, con importante reducción del tamaño de los quistes, por lo que mantiene el mismo tratamiento, pendiente de cirugía si lo precisara2. El tratamiento de la hidatidosis es complejo, y debe individualizarse en cada caso según las características de los quistes y su localización. En el caso de los quistes extrahepáticos, si la respuesta al tratamiento médico fuera insuficiente, el tratamiento de elección sería la escisión quirúrgica completa1,2.
La hidatidosis es una zoonosis reemergente en Europa, endémica en España3 y Norte de África, producida principalmente por Echinococcus granulosus. El diagnóstico se realiza habitualmente en la edad adulta debido al crecimiento lento de los quistes, pero puede adquirirse y ser sintomática en edad infantil1. En el caso presentado, dado el importante tamaño de las lesiones, la infestación es probable que se produjera a una edad temprana, aunque resulta imposible determinar si fue en Marruecos o en España. Aunque en los últimos años ha reducido su incidencia en nuestro país, es importante tenerla en cuenta en el diagnóstico diferencial de los quistes hepáticos y pulmonares, más aun en pacientes procedentes de áreas de mayor endemicidad.
 
										
				







