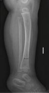
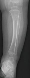
Niño de 12 meses, sin antecedentes de interés, que consulta por limitación para la deambulación de 24h de evolución, sin otra sintomatología acompañante. No historia de traumatismo ni cuadro catarral previo. En la exploración no se objetiva aumento de volumen articular, ni puntos dolorosos. Mantiene posición en reposo en flexo de cadera y rodillas, pero rechaza el apoyo de pie izquierdo en bipedestación. El resto de la exploración física es normal. Se realiza radiografía de tibia-peroné izquierda que muestra una fina línea de fractura en tibia distal solo en proyección lateral (figs. 1 y 2).
La fractura oculta, fractura de los primeros pasos o fractura de Toddler es una entidad propia de los niños menores de 3 años. Tras un traumatismo banal, el niño comienza con rechazo de la deambulación sin observarse, en la mayoría de los casos, otras alteraciones en la exploración física. En ocasiones, con una exploración minuciosa se puede apreciar un punto doloroso en la zona implicada. Radiológicamente es una fractura incompleta, no desplazada, de trayecto espiroideo muy fino, siendo el tercio distal de tibia, la región anatómica más frecuentemente afectada. Debido a sus características particulares, en ocasiones no se observa línea de fractura o solo es apreciada en una proyección radiológica1,2. Recientemente se ha propuesto la ecografía como método diagnóstico para confirmar la rotura cortical3.
Es importante que los pediatras tengan una alta sospecha de este tipo de fractura para realizar una observación minuciosa de las radiografías y en caso de una clínica sugestiva, remitir para valoración traumatológica, sin olvidar que este tipo de entidad puede ocultar maltrato infantil1.




