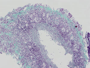
Se presenta un varón de 11 años que consulta por plenitud posprandial y sensación nauseosa de 3 años de evolución, sin vómitos, pirosis, ni dolor abdominal. Hábito intestinal y desarrollo normales. Refiere orquiepididimitis de repetición (biopsia testicular y de epidídimo normal) y pólipo de retención a los 3 años. Antecedentes familiares de enfermedad autoinmune (madre: EII inespecífica, gastritis crónica y artritis; padre: artritis psoriásica; rama materna: gastritis crónica, anemia perniciosa, síndrome de Sjögren y enfermedad celíaca). Exploraciones complementarias: hemoglobina 13,3g/dl; ferritina 15μg/l; vitamina B12 150pcg/ml. Niveles bajos de pepsinógeno I: 3,5ng/ml; pepsinógeno II: 6,3ng/ml y gastrina: 19,6pg/ml. Hemograma, bioquímica, coagulación, hormonas tiroideas e inmunoglobulinas normales. Anticuerpos ANA, ANCA, ASCA, antitransglutaminasa IgA, anticélulas parietales, anti-LKM, antimúsculo liso, antimitocondrial y antifactor intrínseco negativos. Calprotectina fecal normal. La endoscopia alta demostró mucosa pangástrica con pliegues engrosados y aspecto nodular (fig. 1). Biopsia gástrica: infiltrado de células inflamatorias y gruesa banda colágena subepitelial y marcada atrofia glandular oxíntica. No se observó Helicobacter pylori, metaplasia enteroide ni displasia epitelial (fig. 2). La colonoscopia descartó afectación colónica. El paciente estaba asintomático, por lo que se mantuvo tratamiento con vitamina B12 y hierro. Se realizaron endoscopias de seguimiento a los 6 y 18 meses en las que se demostró la persistencia de gastritis colágena, manteniéndose asintomático.
La gastritis colágena es una entidad muy infrecuente. Se han descrito aproximadamente 60 casos en la literatura1. El primer caso se describió en 1989 por Colleti y Trainer en una paciente de 15 años2. Actualmente la etiología exacta y su patogénesis no son bien conocidas. El depósito de colágeno puede deberse a una respuesta anormal tras un agente tóxico o infeccioso que produce una inflamación crónica o a un aumento de la permeabilidad vascular que da lugar a extravasación y depósito de proteínas y colágeno. Suele aparecer antes de la adolescencia y predomina en el sexo femenino. Se clasifica en 2 tipos en función de la zona del tubo digestivo afectada: la gastritis colágena y el esprue colágeno. El primer grupo afecta mayoritariamente a niños y adultos jóvenes y es de localización gástrica. El segundo grupo aparece en adultos, con afectación del intestino delgado proximal y se caracteriza por diarrea acuosa y pérdida de peso por malabsorción. Ambos grupos pueden estar asociados a colitis colágena. Son frecuentes las enfermedades autoinmunes asociadas, como enfermedades tiroideas, artritis reumatoide y psoriásica, lupus eritematoso sistémico o síndrome de Sjögren. La asociación a procesos autoinmunes es rara en el paciente pediátrico3,4. En el estudio de Arnason et al.5 se describen 3 patrones histológicos distintos: eosinofílico, linfocítico y atrófico. El patrón atrófico es muy raro en niños. Nuestro paciente presentaba una marcada atrofia de glándulas oxínticas, como corresponde a este último tipo. La presencia de patrón atrófico puede tener un origen autoinmune, aunque no ha podido demostrarse en este paciente. La clínica es inespecífica e incluye dolor abdominal epigástrico y anemia ferropénica, así como dispepsia y vómitos. Debe plantearse el diagnóstico diferencial con reflujo gastroesofágico, gastritis por Helicobacter pylori y trastornos eosinofílicos del tracto digestivo. La anemia ferropénica obliga a descartar la existencia de enfermedad celíaca.
El diagnóstico exige realizar una endoscopia digestiva superior y se recomienda colonoscopia para descartar afectación colónica asociada. Los hallazgos histológicos incluyen un infiltrado inflamatorio crónico subepitelial junto con una banda de colágeno mayor de 10 micras. El aspecto nodular de antro y cuerpo gástricos es típico y más frecuente en niños5. También se puede observar una mucosa eritematosa, acompañada de seudopólipos, erosiones, úlceras o sangrado. El curso de la enfermedad es crónico, aunque benigno. No se han descrito malignizaciones evolutivas, aunque la historia natural de la enfermedad es desconocida6.
El tratamiento se basa en inhibidores de la bomba de protones o antagonistas H2 (contraindicados en nuestro caso por tratarse de una pangastritis atrófica que se asocia a hipoclorhidria) y ferroterapia oral. También pueden utilizarse fármacos antiinflamatorios como corticoides sistémicos. Además se han utilizado dietas hipoalergénicas o sin gluten con pobres resultados. No existe un protocolo de tratamiento unánimemente aceptado. Actualmente se recomienda ferroterapia oral, añadiendo de manera individualizada antisecretores o antiinflamatorios durante el periodo más breve posible.
										
				



