Sr. Editor:
La necrosis de la pared gástrica puede ser sospechada cuando se detecta aire en la pared del estómago en estudios radiológicos o ecográficos. Esta acumulación de aire puede ser secundaria o estar asociada a distintas situaciones clínicas, con pronóstico muy diferente según sus formas de presentación. Esto, añadido a las distintas denominaciones de sus diferentes formas clínicas y evolutivas, hace que no todos los conceptos relacionados con esta patología estén suficientemente claros. Este paciente creemos que constituye un claro exponente de una forma bien definida de infiltración aérea de la pared gástrica acompañada de necrosis.
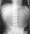
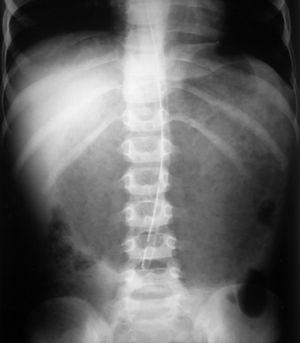
Un niño de 4 años de edad operado de reflujo gastroesofágico 15 meses antes ingresa de urgencia por dolor abdominal, distensión epigástrica por masa palpable, vómitos, deshidratación y afectación grave del estado general, de 10 h de evolución. Dieciocho horas antes había ingerido abundante cantidad de bebidas gaseosas. Acostumbra a ingerir verdura cruda y plastilina. La radiografía simple de abdomen muestra estómago muy distendido, ocupado por contenido con aspecto de bezoar y aparente neumatosis quística (fig. 1). El lavado gástrico evacua gran cantidad de contenido vegetal y líquido oscuro de olor pútrido y pH muy ácido. Veinticuatro horas después la radiografía de abdomen muestra menor contenido gástrico con disección por gas de la pared del estómago (fig. 2). Cuatro días después empeora su estado general y aparece reacción peritoneal. Se realiza laparotomía urgente, y se detecta necrosis extensa de pared gástrica con perforación. Se extirpa la zona necrosada y se anastomosan fórnix y antro preservados. La evolución es buena a corto y largo plazo.
Figura 1. Estómago distendido y ocupado por contenido que sugiere bezoar.
Figura 2. Disección por gas de la pared gástrica.
La infiltración por gas de la pared del tubo digestivo es un hallazgo radiológico o ecográfico no excesivamente infrecuente. Su incidencia exclusiva en la pared gástrica es excepcional1. Generalmente afecta a recién nacidos, lactantes o adultos. Muy raramente, a niños escolares o preescolares como el tratado por nosotros1-3.
Se asocia a distintos tipos de patología, considerados factores responsables o favorecedores de su producción. Debido a sus diferentes formas de presentación, esta afección ha recibido distintos nombres, como neumatosis quística, gastritis enfisematosa, enfisema gástrico1, neumatosis gástrica2 e, incluso, enfisema gástrico/neumatosis gástrica, como si ambos términos fuesen sinónimos, cuando realmente representan las dos formas distintas mejor diferenciadas de infiltración por aire de la pared gástrica.
La neumatosis gástrica suele presentarse en pacientes con obstrucción del vaciamiento gástrico y aumento de la presión intraluminal1-3. Los ejemplos más típicos son la estenosis hipertrófica del píloro4 y la obstrucción duodenal5. El aire retenido a presión en el estómago invadiría y disecaría su pared a partir de una lesión de la mucosa originando una imagen radiológica lineal, también detectable por ecografía2. Suele manifestarse en forma de distensión epigástrica y vómitos, sin otros síntomas. Al corregir su causa, desaparece y el paciente cura en pocos días.
El enfisema gástrico es una forma mucho más grave en la que a la distensión abdominal y a los vómitos se añade afectación del estado general, dolor abdominal, irritación peritoneal y clínica de infección2. Suele presentarse en pacientes con afecciones como: ingesta previa de sustancias corrosivas, alcohol o bebidas gaseosas, fitobezoar, gastroenteritis, cirugía gástrica previa, leucemia, tumores y pancreatitis, entre otros1,2. En ellos se produciría, como consecuencia de la distensión gástrica u otros factores, una hipoperfusión mucosa, con daño de su integridad, que permitiría la disección de pared gástrica por gas. Si además se produce hipercrecimiento bacteriano, al gas que puede disecar la pared gástrica se añadiría el procedente de las bacterias productoras de gas que la invaden1-3. Consideramos que es la misma entidad que la denominada por otros autores gastritis enfisematosa o neumatosis quística1. Esta última podría ser el estadio inicial o único del enfisema gástrico, como sucede con frecuencia en enterocolitis necrosante neonatal, entidad con la que ha sido relacionada3. A diferencia de la neumatosis, el enfisema gástrico tiene una mortalidad muy elevada, próxima al 50 %, y exige con frecuencia la intervención quirúrgica.
Nuestro paciente presenta una forma típica de enfisema gástrico, tanto por los factores etiológicos que en él coinciden como por sus manifestaciones clínicas, hallazgos radiológicos y evolución. No obstante, su enorme similitud con la enterocolitis necrosante neonatal en cuanto a factores desencadenantes (hipoperfusión mucosa), manifestaciones clínicas, hallazgos radiológicos y tipo de lesión de la pared gástrica, incluida la perforación, nos hace pensar que el término más adecuado y menos confuso para la denominación de esta entidad patológica podría ser el de gastritis necrosante, forma grave de infiltración aérea de la pared gástrica, en contraposición con la neumatosis gástrica, forma benigna y diferenciable.
Correspondencia: Dr. E. Blesa Sánchez.
Hospital Materno-Infantil.
Damián Téllez Lafuente, s/n. 06010 Badajoz. España.
Correo electrónico: emilio.blesa@ses.juntaex.es




