La gastroenteritis eosinofílica (GEE) es un tipo inusual de gastroenteritis caracterizada por la inflamación eosinofílica de diferentes segmentos del tracto gastrointestinal en ausencia de causas conocidas de eosinofilia tisular (parasitosis, toxicidad farmacológica, malignidad, enfermedad inflamatoria intestinal, síndrome hipereosinofílico...)1.
Las manifestaciones clínicas de la GEE son inespecíficas y varían en función de la localización y el grado de infiltración de la mucosa gastrointestinal, pudiendo presentarse como dolor abdominal crónico, vómitos, hemorragia digestiva alta o baja, diarrea y/o ascitis2. Su etiopatogenia es desconocida, aunque parece estar relacionada con un mecanismo alérgico, siendo el antígeno más frecuentemente implicado en lactantes las proteínas de leche de vaca (PLV)3,4. El diagnóstico de confirmación es histopatológico, sin que actualmente exista en la literatura un valor establecido para definir la eosinofilia en el tracto gastrointestinal2,4,5.
Es una enfermedad poco frecuente en lactantes y sus manifestaciones clínicas pueden ser muy variadas, por lo que requiere un alto índice de sospecha. Su presentación como hemorragia digestiva alta puede llegar a producir desde cuadros leves bien tolerados a otros más graves con anemización, repercusión hemodinámica e incluso necesidad de transfusión. Se presenta el caso de dos lactantes diagnosticados de gastroenteritis/gastritis eosinofílica en nuestro centro.
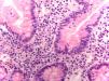
Caso 1: lactante de 4 meses, previamente sano, que en el contexto de una gastroenteritis aguda presentó tres vómitos con coágulos de sangre. No había tomado ibuprofeno y recibía fórmula de inicio desde el mes de vida. A la exploración presentaba buen estado general con constantes vitales normales. Se identificaban varias lesiones eccematosas en tronco y región retroauricular. En la analítica presentaba hemoglobina 11,2g/dl, leucocitos 18.800/mm3 (18,9% neutrófilos, 56,4% linfocitos, 22,8% monocitos, 1,8% eosinófilos, 0,1% basófilos), 283.000 plaquetas/mm3 y ecografía abdominal normal. El lavado gástrico con aspiración obtuvo sangre fresca, evidenciándose en la esofagogastroduodenoscopia erosiones en mucosa antral y lesiones difusas cubiertas de fibrina en cuerpo gástrico con mucosa duodenal pálida. El estudio anatomopatológico (fig. 1) mostró mucosa duodenal con componente relevante aunque heterogéneo de eosinófilos (>20eosinófilos/campo de gran aumento (cgh) de forma focal) así como mucosa gástrica con celularidad mixta, incluyendo abundantes eosinófilos (25-30eosinófilos/cgh). Se inició fórmula elemental con buena respuesta. El estudio de IgE específica fue positivo a títulos bajos para PLV (caseína 0,44kU/l, beta-lactoglobulina 0,24kU/l, alfa-lactoalbúmina 0,12kU/l). Evolución: reintroducción progresiva de PLV en la dieta a partir de los 12meses, sin incidencias.
Caso 2: lactante de 2 meses, previamente sana, que presentó tres vómitos con sangre fresca y una deposición más oscura de lo habitual el día previo. Asociaba lesiones urticariformes en miembros inferiores de 24h de evolución que ya habían aparecido previamente al mes de vida de forma transitoria. Recibía alimentación con fórmula desde el nacimiento. A la exploración física presentaba aceptable estado general y destacaba la palidez de piel y mucosas con un exantema eritematoedematoso en miembros inferiores que se extendía a miembros superiores. A la auscultación cardiaca se identificaba taquicardia de 165latidos por minuto con un soplo sistólico leve. En la analítica presentaba hemoglobina 6,5g/dl con recuento leucocitario 16.700/mm3 (neutrófilos 24,2%, linfocitos 61,3%, monocitos 13,5%, eosinófilos 0,7%, basófilos 0,3%), 338.000 plaquetas/mm3 y frotis de sangre periférica normal. La bioquímica y la coagulación fueron normales, sin hematuria en la tira reactiva de orina. Se realizó lavado gástrico sin presencia de restos hemáticos. Dada la repercusión hemodinámica del sangrado, se transfundió un concentrado de hematíes, con mejoría clínica y analítica posterior. La esofagogastroduodenoscopia evidenció eritema difuso de la mucosa gástrica y erosiones múltiples fibrinosas, siendo la mucosa duodenal normal. El estudio anatomopatológico mostró gastritis superficial y un infiltrado inflamatorio mixto con predominio de eosinófilos, hasta 30 eosinófilos/cgh (fig. 2). Se inició alimentación exclusiva con fórmula elemental, quedando posteriormente asintomática. El estudio de IgE específica fue positivo para PLV (caseína 1,24kU/l, beta-lactoglobulina 2,82kU/l, alfalactoalbúmina 0,14kU/l, leche de vaca 3,69kU/l). Evolución: continúa con dieta exenta en PLV, bien tolerada.
Los dos pacientes que se presentan debutaron en el periodo de lactante con síntomas de hemorragia digestiva alta con diferente grado de repercusión hemodinámica y diagnóstico final de gastroenteritis y gastritis eosinofílica, respectivamente. Choi et al.4 publicaron recientemente un estudio en el que evaluaron las características clínicas, endoscópicas, histológicas y respuesta terapéutica en 13niños diagnosticados de GEE histológica. Encontraron que el síntoma inicial más frecuente en el grupo de los lactantes (8pacientes) fue la hematemesis (7pacientes, 87,5%), seguido de las melenas (2pacientes, 25%). En cambio, el dolor abdominal recurrente fue el síntoma principal en los niños mayores de un año (60%). Asimismo, el alérgeno sospechado por la historia clínica más frecuentemente fueron las PLV en el 76,9%, con buena respuesta clínica al cambiar a fórmula extensamente hidrolizada/elemental en todos los lactantes del estudio. Estos datos concuerdan con la evolución de nuestros dos casos, aunque conviene recordar que tanto la ausencia de eosinofilia periférica como la negatividad de la IgE específica no excluyen el diagnóstico de GEE1,2.




