Sr. Editor:
La hemiagenesia tiroidea es una rara malformación congénita caracterizada por la ausencia de desarrollo evolutivo de uno de los lóbulos tiroideos. La prevalencia exacta de esta entidad congénita es difícil de precisar, debido a que normalmente la ausencia de uno de los lóbulos no se manifiesta clínicamente por sí mismo, y suele diagnosticarse accidentalmente durante la exploración ecográfica de la glándula tiroidea1. En general, la agenesia corresponde al lóbulo izquierdo. Los mecanismos etiopatogénicos no son suficientemente conocidos, aunque recientemente se han implicado diferentes factores de transcripción relacionados con el desarrollo y diferenciación embriológica de la glándula tiroidea. La hipertrofia compensadora del lóbulo remanente ocurre en la mayor parte de los pacientes afectados, y es posiblemente secundaria a la hiperestimulación de la hormona tirostimulante (TSH) sobre el tejido tiroideo remanente. La función tiroidea suele estar conservada en la mayoría de los casos, aunque una importante proporción de estos pacientes presentan concentraciones de TSH claramente superiores a la de los sujetos con tiroides íntegros. Desde este estado de hipotiroidismo subclínico pueden evolucionar a hipotiroidismo franco y desarrollar bocio.
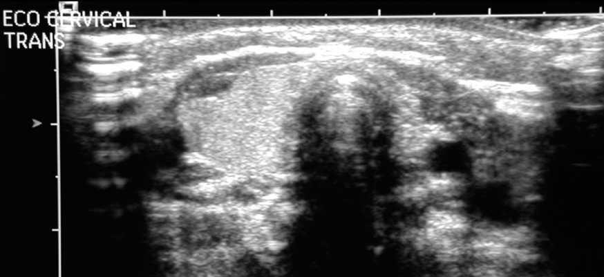
Lactante de 5 meses remitido al Servicio de Endocrinología Pediátrica de nuestro hospital por detectar una función tiroidea alterada (TSH, 32,4 mU/l; tiroxina libre, 0,86 ng/dl) en una analítica realizada a los 4 meses al observarse en el transcurso de una exploración rutinaria la existencia de una hernia umbilical y una fontanela anterior abierta "de tamaño superior al normal". Se trataba de un paciente nacido en nuestro país, fruto de un embarazo escasamente controlado de 33 semanas de gestación, de una madre de 22 años, con padre no conocido. El parto transcurrió sin incidencias y el niño tuvo un peso de nacimiento de 1.620 g, talla de 42 cm, con test de Apgar de 7 al primer minuto y 9 a los 5 minutos. Ingresado hasta el mes de vida por prematuridad y bajo peso al nacimiento, se realizó cribado metabólico neonatal que fue normal. Se desconocían antecedentes familiares de interés. Como antecedentes personales destacaban que el paciente estuvo en centro de acogida desde el alta hospitalaria, fue intervenido de herniorrafia bilateral a los 3 meses de vida y presentó varicela a los 5 meses. La exploración inicial no mostraba hallazgos clínicos de interés, salvo una discreta hernia umbilical, y fontanela anterior abierta normotensa de 3 x 4 cm. La exploración neurológica y el desarrollo psicomotor aparentemente eran adecuados para la edad del paciente. Ante la sospecha de hipotiroidismo congénito se inició tratamiento sustitutivo con L-tiroxina en las dosis habituales y se realizó ecografía tiroidea donde se apreció una importante hipoplasia de lóbulo izquierdo con hipertrofia compensadora del lóbulo contralateral (fig. 1).
Figura 1. Ecografía tiroidea del paciente en la que puede apreciarse una importante hipoplasia del lóbulo izquierdo con hipertrofia compensadora del lóbulo contralateral.
La hemiagenesia tiroidea es una entidad de diagnóstico excepcional en la infancia. Se caracteriza por la ausencia de desarrollo de uno de los lóbulos tiroideos, habitualmente el izquierdo. El diagnóstico se suele realizar de forma casual, al indicarse la práctica de una ecografía de tiroides en el estudio de un paciente con concentraciones plasmáticas elevadas de TSH, o bien al detectarse la presencia de un bocio unilateral en el examen físico. El cribado neonatal no parece ser un método adecuado para el diagnóstico de esta entidad, ya que las elevaciones de la TSH, así como la hipertrofia compensadora, suelen producirse en etapas posteriores de la vida.
Un estudio reciente sobre una población de más de 24.000 escolares sanos de nacionalidad italiana muestra que la prevalencia de esta entidad es de 0,05 %1. En este estudio se muestra distribución por sexos de 1:1,4 a favor del masculino, que difiere de los trabajos publicados con anterioridad, que obtienen una incidencia mucho mayor en mujeres2,3.
El tiroides es la primera glándula endocrina que aparece durante el desarrollo embrionario. En el hombre puede identificarse ya a los 16-17 días de gestación. El esbozo de la glándula tiroidea es de origen endodérmico y se forma como un apéndice en la cuarta y quinta bolsas faríngeas que en el hombre incluyen también el último cuerpo branquial, del que derivan las células parafoliculares productoras de calcitonina y las glándulas paratiroides. Desde esta situación el tiroides migra caudalmente, siguiendo el trayecto del conducto tirogloso alcanzando su localización anatómica definitiva a los 40-50 días de vida posconcepcional4,5. A partir de la séptima semana comienza el crecimiento lateral de la glándula y la adquisición de su morfología característica, desconociéndose en la actualidad qué influencia ejercen los factores ambientales o genéticos en el desarrollo estructural de la glándula.
Se han identificado tres factores de transcripción, el TTF-1, el TTF-2 y el PAX-8 que contribuyen de forma decisiva a la morfogénesis y diferenciación del tiroides6, pero sólo las mutaciones del PAX-8 parecen estar relacionadas con la hemiagenesia tiroidea7,8. De todas maneras, parece existir una importante influencia genética en los pacientes con esta malformación ya que está presente en gemelos homozigotos9, en miembros de una misma familia o asociada a otras enfermedades tiroideas10.
El aspecto ecográfico de la hemiagenesia tiroidea es característico y junto a la hipertrofia compensadora se observa una imagen denominada signo de stick de hockey. El incremento del tamaño del único lóbulo tiroideo parece el ser resultado de la estimulación crónica de la TSH en un esfuerzo por mantener íntegra la función tiroidea11.
El hallazgo de un paciente con esta malformación obliga a realizar un control de función tiroidea de forma habitual a largo plazo, puesto que presentan mayor riesgo de desarrollar un estado de hipotiroidismo subclínico que evolucione a un hipotiroidismo franco en la edad adulta y que precise de la administración tratamiento sustitutivo con hormona tiroidea12.



