Niño de 3 años de edad que acude a urgencias por fiebre de 4 días de evolución y signos de infección respiratoria. A la exploración destaca buen aspecto general y ausencia de murmullo vesicular en base posterior de hemitórax izquierdo. Desde los 5 meses de vida ha presentado broncospasmos de repetición que no han precisado ingresos ni estudios radiológicos previos. No relata antecedentes traumáticos ni problemas gastrointestinales.
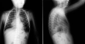
Con la sospecha clínica de neumonía, se realiza una radiografía de tórax donde se aprecia un aumento de densidad hiliar y perihiliar izquierda con desviación del mediastino hacia la derecha, objetivándose asas intestinales en hemitórax inferior izquierdo. Ante imagen sugestiva de defecto diafragmático (fig. 1), se solicita resonancia magnética (RM) que confirma la existencia de hernia diafragmática posterior izquierda (hernia de Bochdalek) con riñón izquierdo y asas intestinales en cavidad torácica (fig. 2).
La hernia diafragmática congénita (HDC) de presentación tardía supone el 5-20% de todos los casos de HDC. Es más frecuente la localización posterolateral izquierda. Su expresión clínica es muy variable, dependiendo de la localización y la víscera herniada. Pueden aparecer síntomas respiratorios (neumotórax, neumonía, derrame pleural), gastrointestinales (vómitos, dolor abdominal) o la combinación de ambos. Aunque la radiografía es diagnóstica en la mayoría de casos, en un 25% su interpretación es errónea, precisándose otras pruebas. En las series de casos revisadas la más utilizada es el tránsito gastrointestinal. En nuestro caso utilizamos la RM que permite un estudio completo del defecto diafragmático y estructuras herniadas, aportando una información valiosa para un adecuado manejo terapéutico.
 
										
				





