La hiperplasia de células neuroendocrinas de la infancia (NEHI, por sus siglas en inglés) es una enfermedad incluida dentro de las neumopatías intersticiales pediátricas, conocidas con el acrónimo de ChILD (Children Interstitial Lung Disease). La incidencia y prevalencia de las ChILD en España es de 8,18 (IC 95%: 6,28-10,48) casos nuevos/millón de niños y año y 46,53 (IC 95%: 41,81-51,62) casos/millón de niños, respectivamente, siendo la NEHI la enfermedad más frecuente en el grupo de edad entre 1 y 12 meses1. Desde que se describió por primera vez en el año 20012, se conocen más detalles de sus características clínicas, radiológicas y evolutivas, y aunque los niños necesitan soporte con oxigenoterapia durante varios años, su pronóstico a largo plazo es habitualmente bueno3.
Se presentan los casos de 6 pacientes diagnosticados en nuestro centro de NEHI desde los años 2013 a 2024 (tabla 1). La distribución por género es de predominio en los varones (5/6). Ninguno de los casos presenta antecedentes familiares relevantes. Uno de ellos fue prematuro tardío (36 semanas de edad gestacional) con peso adecuado (2.760g). La clínica se inició en todos ellos entre los 2 y los 5 meses de vida (edad media 3 meses), manifestada como auscultación pulmonar con crepitantes bilaterales (6/6), taquipnea (6/6), retracción costal (6/6), hipoxemia diurna (2/6), hipoxemia nocturna (5/6), estancamiento ponderal (4/6) y pectus excavatum (1/6). Cuatro pacientes precisaron ingreso hospitalario por sintomatología respiratoria previamente al diagnóstico, motivando el estudio posterior. Los otros 2 fueron derivados a consultas externas de neumología pediátrica para estudio de taquipnea persistente y retraso ponderal. La puntuación media en el score clínico de NEHI4, que evalúa la presencia o no (No=0 puntos; Sí=1 punto) de los siguientes 10 ítems: taquipnea, alteraciones del crecimiento, hipoxemia, alteraciones de la pared torácica, ausencia de tos crónica, ausencia de sibilancias, edad <12 meses, crepitantes, retracciones costales y ausencia de acropaquias, fue de 8,16 puntos (muy sugestivo de NEHI si es ≥7). Las exploraciones realizadas fueron: radiografía de tórax (6/6); analítica sanguínea con hemograma, bioquímica y estudio inmunitario (6/6); estudio cardiológico (6/6); tomografía computarizada (TC) pulmonar (6/6); biopsia pulmonar (2/6); broncoscopia con lavado broncoalveolar (2/6); pHmetría (2/6); y estudio de disfagia mediante videofluoroscopia de deglución (1/6). Todas las exploraciones fueron normales en los 6 pacientes, salvo la radiografía de tórax, informada de engrosamiento peribronquial difuso con (5/6) o sin aumento de densidad bilateral (1/6) y la TC pulmonar, con hallazgos de imagen en vidrio deslustrado de predominio en lóbulos superiores, lóbulo medio y língula (6/6) e inversión del cociente ventilatorio normal (6/6). Se realizó biopsia pulmonar mediante toracoscopia en los 2 pacientes más antiguos (año 2013 y año 2014), ambos entre los 9-10 meses de edad, identificando grupos hiperplásicos de cuerpos neuroepiteliales en la pared de algunos bronquiolos respiratorios, puestos de manifiesto con marcadores neuroendocrinos mediante inmunohistoquímica (sinaptofisina y cromogranina). El diagnóstico se estableció en base a la TC y la biopsia pulmonar en 2 pacientes, y por TC en 4. La mediana de edad al diagnóstico fue de 14 meses, con un rango de edad entre los 5-22 meses.
Características clínicas, radiológicas y evolutivas de los 6 pacientes
| Caso 1 | Caso 2 | Caso 3 | Caso 4 | Caso 5 | Caso 6 | |
|---|---|---|---|---|---|---|
| Género | Varón | Varón | Varón | Varón | Varón | Mujer |
| Antecedentes familiares | No | No | No | No | No | No |
| Edad gestacional al nacimiento (semanas) | 37 | 40 | 38 | 37+6 | 36 | 37+3 |
| Peso al nacimiento (g) | 2.900 | 3.310 | 3.220 | 2.810 | 2.750 | 3.010 |
| Edad de inicio síntomas (meses) | 3 | 1 | 2 | 5 | 5 | 1 |
| Síntomas iniciales | ||||||
| Taquipnea | + | + | + | + | + | + |
| Crepitantes | + | − | + | − | + | + |
| Retracciones costales | + | + | + | + | + | + |
| Hipoxemia | + | + | + | + | + | + |
| Estancamiento ponderal | − | + | + | + | − | + |
| Alteraciones pared torácica | − | − | − | − | − | + |
| Score-NEHI | 8 | 8 | 9 | 8 | 7 | 9 |
| TC pulmonar | ||||||
| Edad de realización (meses) | 9 | 7 | 22 | 18 | 19 | 5 |
| Vidrio deslustrado | + | + | + | + | + | + |
| Inversión cociente ventilatorio normal | + | + | + | + | + | + |
| Biopsia pulmonar | Sí | Sí | No | No | No | No |
| Edad de realización (meses) | 10 | 9 | ||||
| Edad al diagnóstico (meses) | 10 | 9 | 22 | 18 | 19 | 5 |
| Año de diagnóstico | 2013 | 2014 | 2016 | 2017 | 2018 | 2024 |
| Tratamiento | ||||||
| Oxígeno | + (nocturno) | + (nocturno) | + | + (nocturno) | + (nocturno) | + |
| Salbutamol de rescate | + | + | + | + | + | − |
| Corticoides inhalados | + | − | + | + | + | − |
| Corticoides orales de rescate | + | − | + | + | + | − |
| Sibilantes recurrentes | Sí | No | SÍ | SÍ | SÍ | No |
| Edad (meses) de retirada de oxigenoterapia | ||||||
| 24 h | − | − | 33 | − | − | |
| Nocturna | 52 | 12 | 94 | 29 | 84 | Continúa |
| Ocasional | 52 | 12 | 94 | 48 | 84 | |
NEHI: hiperplasia de células neuroendocrinas de la infancia; TC: tomografía computarizada.
Los 6 pacientes recibieron oxigenoterapia en gafas nasales desde el diagnóstico, durante 24h (2/6) o solo nocturno (4/6). Otros tratamientos administrados fueron corticoides inhalados de mantenimiento por sibilantes recurrentes y salbutamol inhalado con o sin corticoide oral en procesos de bronquitis aguda (4/6). En los 5 pacientes con una edad actual de >6 años, desapareció la sintomatología respiratoria a una edad media de 18 meses; pudiendo retirarse la oxigenoterapia definitivamente a una mediana de edad de 52 meses y actualmente presentan percentiles de peso y talla dentro de la normalidad.
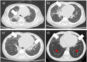
Los datos descritos en nuestros 6 pacientes demuestran que la NEHI es una de las enfermedades intersticiales pulmonares de la infancia de mejor pronóstico. El retraso en el diagnóstico puede estar relacionado con la inespecificidad de los síntomas respiratorios iniciales y la baja sospecha clínica dada la rareza de la entidad3, basándose este en la clínica respiratoria descrita en el score-NEHI de inicio entre los 1-12 meses de vida (generalmente en <6 meses) y en las típicas imágenes de la TC pulmonar de vidrio deslustrado en língula y/o lóbulo medio y atrapamiento aéreo con inversión del cociente ventilatorio normal5 (fig. 1). Aunque se sugiere un posible origen genético, no se ha podido identificar con exactitud el gen causante y a ninguno de nuestros pacientes se realizó este estudio. La biopsia pulmonar se reserva para los casos en los que la evolución no sea la esperada6.




