La infección por citomegalovirus (CMV) es una causa frecuente de complicaciones en pacientes inmunodeprimidos, tanto desde el punto de vista digestivo como sistémico. Asimismo, puede producir cuadros de diarrea más o menos profusa con afectación general. Por el contrario, en individuos inmunocompetentes la infección suele cursar de forma asintomática o con síntomas leves. El tratamiento con ganciclovir puede resolver la infección en pacientes inmunodeprimidos, mientras que en personas sanas no debería indicarse; en ellas se deben utilizar únicamente medidas de soporte y de tratamiento sintomático.
Caso clínicoA continuación se presenta el caso de un varón de 3 meses de edad enviado a este Servicio por un cuadro de diarrea prolongada. Se trata de un lactante sano, nacido a término, alimentado con lactancia materna exclusiva y sin antecedentes personales de interés, que ingresó en la Unidad de Cuidados Intensivos a los 2 meses de edad por un cuadro de shock séptico con fiebre, alteración del estado general y diarrea hemorrágica. Permaneció en esta Unidad por 10 días y durante su estancia recibió soporte inotrópico, medidas de sostén y tratamiento antibiótico de amplio espectro. Se le dio de alta a la planta hemodinámicamente estable, pero mantuvo deposiciones diarreicas con sangre macroscópica e intolerancia alimentaria (vómitos). Tras un mes de evolución, no fue remitido por presentar vómitos hemáticos y de 4 a 5 deposiciones al día con moco y sangre, pese al reposo intestinal con soporte nutricional parenteral. En la exploración física presentaba un buen estado general y nutricional. La auscultación cardiopulmonar fue normal y en la exploración abdominal sólo se observó una leve hepatomegalia; con el borde hepático a 1 cm del reborde costal y un polo de bazo. En el resto de la exploración no hubo hallazgos de interés, con un peso de 6,260 kg (P50) y una talla de 65 cm (>P97). En la analítica realizada en ese momento presentó unas cifras de leucocitos de 9,670x109/l con fórmula leucocitaria normal, una serie roja normal (hemoglobina 11,9 gr/dl con hematocrito del 35%) y una cifra de plaquetas de 640x109/l. El estudio bioquímico mostró unas cifras de aminotransferasa glutamicoxalacética/aspartato-aminotransferasa de 47 U/l; aminotransferasa glutámico pirúvica/alanina-aminotransferasa 75 U/l; gammaglutamil transpeptidasa 99 U/l; bilirrubina total de 0,4 mg/dl; proteína C reactiva 0,5 mg/l, y glucosa 76 mg/dl con resto de parámetros normales, incluido ionograma y estudio de coagulación.
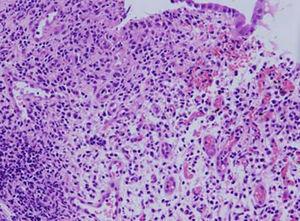
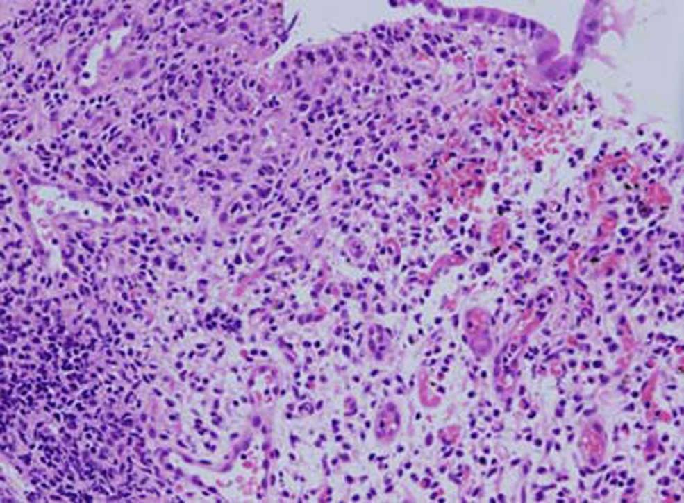
Ante la evidencia de hemorragia digestiva, se realizó estudio endoscópico con el hallazgo de una mucosa gástrica edematosa, eritematosa y friable y una mucosa duodenal igualmente friable. En la colonoscopia se observó una mucosa petequial y eritematosa sin lesiones ulcerosas que afectaba de manera continua a todo el marco cólico. El estudio histológico de las muestras recogidas puso de manifiesto en todas las localizaciones una mucosa con marcada inflamación aguda y crónica con intenso daño epitelial (fig. 1). Ante la sospecha de infección vírica, se realizó determinación de ácido desoxirribonucleico (ADN) de CMV en mucosa colónica con la técnica de PCR (polymerase chain reaction‘reacción en cadena de la polimerasa’) que fue positiva para CMV y negativa para virus varicela zóster (herpes simple 1 y 2), virus Epstein-Barr y virus herpes 6.
Figura 1. Mucosa colónica con daño epitelial intenso e infiltrado inflamatorio agudo y crónico muy marcado indicativo de infección por virus.
La serología demostró una inmunoglobulina M (IgM) y una inmunoglobulina G (IgG) positivas para CMV con estudio inmunológico humoral y celular normales (IgG: 540 mg/dl; inmunoglobulina A 47 mg/dl; IgM 52 mg/dl; linfocitos 5,030×109/l; subpoblaciones linfocitarias CD3: 73%, CD19 12%, CD4 42%, CD8 22%; linfocitos citolíticos naturales 13%; CD45+CD3+DR 9%). Ante estos hallazgos se inició tratamiento con ganciclovir de 5 mg/kg/12 h durante 2 semanas con mejoría progresiva del cuadro, desaparición de la diarrea y tolerancia a la alimentación oral que se inició en forma de nutrición enteral a débito continuo con una fórmula elemental, y se disminuyeron los aportes parenterales de forma gradual hasta su completa retirada. Posteriormente, se pudieron fraccionar las tomas y pasar a una fórmula extensamente hidrolizada con buena tolerancia y el niño fue dado de alta para control ambulatorio. En los siguientes 6 meses presentó una evolución satisfactoria con buena tolerancia a la alimentación oral, deposiciones normales y buena ganancia ponderal, por lo que se reintrodujo la fórmula de inicio y se comenzó alimentación complementaria sin incidencias. En el control endoscópico realizado a los 6 meses se observó una normalización de la mucosa gastroduodenal y colónica, con PCR negativa para CMV en estómago, duodeno y colon.
DiscusiónEl CMV es un virus que junto con el virus de Epstein-Barr, el herpes simple, el virus herpes de 6 a 8 y el virus varicela zóster forman la familia de los Herpesviridae. Es un virus ampliamente extendido, como demuestran las altas tasas de seropositividad observadas en la población general, que oscilan entre el 40 y el 100%1. Estos estudios serológicos también muestran 2 picos de incidencia de primoinfección por CMV: la infancia precoz y la juventud en relación con una transmisión sexual, ya que se excreta en prácticamente todos los fluidos corporales. Como el resto de los virus de la familia, tras un primer contacto queda en fase latente y pueden producirse reactivaciones en relación con cambios inmunitarios del huésped. Tanto los cuadros de primoinfección como las reactivaciones pueden producir una enfermedad grave en pacientes inmunodeprimidos (pacientes con virus de la inmunodeficiencia humana, pacientes trasplantados, pacientes con inmunodeficiencias congénitas o pacientes con tratamientos inmunosupresores) con un cuadro clínico que puede afectar al sistema nervioso central (encefalitis), neumonitis, hepatitis, uveítis y afectación del tracto digestivo con gastroenteritis o colitis. Por el contrario, en el paciente inmunocompetente la infección es frecuentemente asintomática con sintomatología banal o un síndrome mononucleósico. Cuando hay afectación sistémica, el aparato digestivo es el más frecuentemente afectado2.
El diagnóstico de la infección por CMV como causa de la sintomatología digestiva se realiza frecuentemente sobre la base de la observación de los cuerpos de inclusión típicos en las biopsias del tracto gastrointestinal. Se ha postulado que estos cuerpos de inclusión no siempre se observan debido a la gran destrucción tisular por parte del virus3. En estos casos el diagnóstico se realiza por la detección del ADN del virus mediante PCR en tejido e incluso en heces4. La imagen endoscópica es variable: oscila entre lesiones ulcerosas inespecíficas más o menos evidentes, como en este caso, y una mucosa de aspecto normal cuando el trastorno inflamatorio afecta a los vasos y produce vasculitis y, de forma secundaria, isquemia.
El cuadro se resuelve habitualmente de forma espontánea, sin necesidad de tratamiento y sin secuelas. No obstante, hay casos excepcionales en que la afectación es grave, incluso puede poner en peligro la vida, sin que haya trastorno inmunológico alguno. Varios autores han descrito la asociación entre infección por CMV y la enfermedad de Menetrier, que consiste en una gastropatía hipertrófica con enteropatía pierde proteínas autolimitada y benigna que afecta a niños sanos. También se ha asociado a enteritis y a enterocolitis en niños prematuros5,6. Este paciente representa una situación poco habitual en que la infección por CMV produce un cuadro de diarrea grave rebelde que precisa nutrición parenteral prolongada. En la tabla 1 se detallan todos los casos de lactantes inmunocompetentes con afectación digestiva grave descritos hasta el momento en la literatura médica (un total de 10 casos, incluido el de este trabajo)7–15. Llama la atención que 9 de los casos descritos corresponden a varones, sin que pueda interpretarse el significado de este hecho.
Tabla 1. Casos descritos en la literatura médica de niños inmunocompetentes con afectación digestiva grave
| Referencia | Edad | Clínica | Otras afectaciones | Tratamiento antivírico | Evolución |
| Caso descrito | 2 meses | Diarrea grave rebelde | Sepsis | Ganciclovir | Curación |
| Shimizu et al7 | 1 mes | Diarrea grave rebelde | Pancreatitis, peritonitis | No | Curación |
| Buonuomo et al8 | 3 meses | Melenas, fallo de medro | Anemia hemolítica | Valganciclovir | Curación |
| Hinds et al9 | 2 meses | Diarrea grave rebelde | Sepsis | No | Curación |
| Rongkavilit et al10 | 8 semanas | Diarrea grave rebelde | No | Ganciclovir | Curación |
| Fox et al11 | 5 semanas | Diarrea grave rebelde | No | Ganciclovir | Curación |
| Quiros-Tejeira et al12 | 2 meses | Diarrea grave rebelde | No | Ganciclovir | Curación |
| Jonkhoff-Slok et al13 | 5 semanas | Colitis | Alergia a proteínas, leche de vaca, sin inmunoglobulina E | No | Curación |
| Álvarez et al14 | 6 semanas | Diarrea grave rebelde | Sepsis, lesiones cutáneas | No | Fallecimiento |
| Abdulhannan et al15 | 12 semanas | Colitis | No | Ganciclovir | Curación |
Dado el período de incubación de la infección por CMV (entre 4 y 12 semanas) no es posible descartar una infección perinatal adquirida en el canal del parto o a través de la leche materna, ya que se ha detectado CMV en la leche del 13 al 50% de las madres lactantes16.
Desde el punto de vista terapéutico, el ganciclovir es el tratamiento de elección en pacientes inmunodeprimidos, con una eficacia variable. Cuando la situación clínica del paciente lo permite, puede utilizarse como alternativa el valganciclovir oral. En general, dado lo autolimitado del cuadro y la toxicidad asociada al ganciclovir, no se aconseja tratar a los pacientes inmunocompetentes con esta alternativa. No obstante, se admite la posibilidad de utilizarlo cuando se producen cuadros graves, como en este caso17.
Para concluir, cabe destacar que debe descartarse la infección por CMV en los pacientes con clínica de diarrea grave con independencia de su estado inmunológico.
Autor para correspondencia.
E. Ramos Boluda
Dirección: eramosb.hulp@salud.madrid.org



