Las malformaciones vasculares son lesiones congénitas producidas por alteraciones en la angiogénesis durante el desarrollo embrionario. Se encuentran presentes al nacimiento, aunque inicialmente puedan no ser clínicamente evidentes y, a diferencia de los tumores vasculares, de los que el más frecuente es el hemangioma, no muestran proliferación endotelial. Pueden permanecer estables durante años o mostrar cambios en el tamaño debido a un aumento del volumen sanguíneo intravascular o al reclutamiento de vasos1. Cuando aparecen en las extremidades de los niños pueden afectar a la piel, el tejido subcutáneo, el hueso o las articulaciones y la musculatura, y presentarse clínicamente como dolor, tumefacción, hemorragias, discrepancia en la longitud de los miembros o como un problema estético2,3. En algunas ocasiones, las malformaciones vasculares localizadas periarticularmente pueden ser una causa de dolor recidivante que puede simular otras patologías4-6.
Se presenta una niña de 5 años con cuadro de 3 años de evolución de episodios intermitentes de tumefacción en la rodilla derecha y cojera con predominio de los síntomas en las primeras horas de la mañana. No se habían afectado otras articulaciones y el dolor cedía con ibuprofeno y reposo en 3-5 días. Ocasionalmente, se asociaba a infecciones respiratorias de vías altas. No tenía otros síntomas ni antecedentes personales de interés y había sido diagnosticada de artritis idiopática juvenil en otro centro. En la exploración presentaba una tumefacción de rodilla derecha, sin flexo ni limitación de la movilidad.
En las pruebas complementarias destacaba una velocidad de sedimentación globular 40, con proteínas C reactiva 2,4mg/dl. Anticuerpos antinucleares, negativos. Factor reumatoide, negativo. Ecografía de rodilla derecha: líquido a nivel articular. Importante aumento de partes blandas a nivel del cuádriceps (vastus lateralis de rodilla derecha), con importante aumento de la vascularización. Se realizó una valoración oftalmológica, sin encontrarse patología.
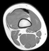
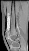
En revisiones posteriores, la paciente se encontraba asintomática entre los episodios de tumefacción articular, con controles de reactantes de fase aguda normales. Se solicitó una resonancia magnética de rodilla derecha, objetivándose una masa sólido-quística en la bursa suprarrotuliana que asociaba imágenes de calcificación sugestivas de flebolitos; se extendía al vastus intermedius y vastus lateralis y medía 83mm de eje mayor craneocaudal, compatible con malformación vascular de bajo flujo tipo venolinfática (figs. 1 y 2).
Se solicitó valoración por cirugía plástica que realizó biopsia incisional de la tumoración en vasto externo que confirmó la presencia de una malformación vascular de predominio venoso. Actualmente sigue revisiones por cirugía plástica y se está realizando esclerosis de la lesión.
Las malformaciones vasculares pueden clasificarse: a) según el tipo de canal vascular predominante, en arteriales, venosas, capilares, linfáticas o mixtas, y b) según sus características hemodinámicas, en malformaciones de alto flujo (arteriales o arteriovenosas) y malformaciones de bajo flujo (venosas, capilares o linfáticas). El tratamiento y el pronóstico varían dependiendo del tipo de anomalía vascular2.
El diagnóstico puede realizarse mediante la evaluación clínica y las siguientes pruebas de imagen. Las radiografías simples suelen ser normales o presentar aumento de partes blandas. El hallazgo de flebolitos (10% casos) es prácticamente patognomónico de malformación venosa. La ecografía Doppler puede ser útil para el diagnóstico inicial, ya que detecta un patrón de flujo característico7, pero la resonancia magnética es la prueba de imagen de elección, ya que distingue el tipo de lesión y la delimita de forma precisa, permitiendo la planificación adecuada del tratamiento posterior8,9.
Las lesiones asintomáticas o con síntomas leves se manejan preferiblemente de forma conservadora. El tratamiento quirúrgico con exéresis completa de las malformaciones venosas se reserva para las lesiones bien localizadas que afectan a un solo grupo muscular, aquellas con trombosis, las que afectan a grupos musculares especializados (cómo músculos intrínsecos de la mano) y aquellas con clínica neurológica. En el resto puede realizarse escleroterapia percutánea de la lesión con etanol o amidotrizoato sódico, siendo precisas varias sesiones para obtener resultados. Los mejores resultados se obtienen, cuando es posible, con una combinación de esclerosis y cirugía2,10,11.
Es necesario recordar que para el diagnóstico de artritis idiopática juvenil se necesita una historia clara y persistente de inflamación articular (al menos 6 semanas de duración) y solo después de que toda causa conocida haya sido descartada. En los casos con episodios intermitentes y transitorios de dolor y tumefacción articular, es importante la realización de pruebas de imagen (ecografía y resonancia magnética) para descartar lesiones estructurales.
En conclusión, los síntomas musculoesqueléticos del niño pueden ser ocasionados por una amplia variedad de trastornos, siendo las malformaciones vasculares intramusculares una causa posible de dolor articular.




