Caso clínico
Niña de 4 años que acude al servicio de urgencias de nuestro hospital enviada por su pediatra por presentar una masa en fosa supraclavicular izquierda, detectada aproximadamente 2 semanas antes. Es dolorosa al tacto y ocasionalmente de forma espontánea. La madre refiere anorexia durante los últimos 3 meses y no sabe si ha perdido peso. No fiebre. Un mes antes recibió un arañazo de gato en la cara anterior del brazo izquierdo. No hay antecedentes de traumatismo previo.
Antecedentes personales. Alergia a pólenes y huevo. Asma. Ingreso a los 2 meses de vida por cuadro febril (viriasis). Exploración física. Buen estado general. Coloración normal de piel y mucosas. Adecuado estado nutricional y de hidratación. En hueco supraclavicular izquierdo se palpa una tumoración de aproximadamente 2 × 2 cm, de consistencia dura, casi pétrea, no desplazable, de bordes mal delimitados, dolorosa a la palpación, que hace relieve al girar la cabeza hacia el lado contralateral, originando una clara asimetría entre ambas zonas supraclaviculares (fig. 1). No se observa enrojecimiento cutáneo ni otros signos inflamatorios. A la palpación no se aprecia thrill ni adenopatías adyacentes. Presenta algunas microadenias laterocervicales e inguinales bilaterales de características inespecíficas. Auscultación cardiopulmonar, exploración de abdomen, boca, faringe y oídos normal. Neurológico: fuerza, tono, movilidad y sensibilidad normales en ambos miembros superiores; reflejos miotáticos bicipitales y estilorradiales conservados. Pulsos radiales palpables y simétricos.
Figura 1.Masa en región supraclavicular izquierda, que hace relieve y origina una asimetría entre ambas fosas supraclaviculares al girar la cabeza hacia la derecha.
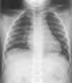
Se solicitó una radiografía de tórax, la cual se muestra en la figura 2.
Figura 2. Radiografía de tórax.
Pregunta
¿Cuál es su diagnóstico?
Costilla cervical
En la radiografía de tórax (fig. 2) se pueden contar 13 costillas a cada lado, debido a la presencia de una costilla supernumeraria cervical bilateral a nivel C7. En la figura 3 se aprecian con más detalle ambas costillas cervicales, la izquierda con hipoplasia del arco anterior, que sigue un trayecto vertical y parece fusionarse con el arco posterior de la primera costilla.
Figura 3. Ampliación superior de la radiografía de tórax.
El hallazgo de una masa supraclavicular en un niño, puede indicar un proceso grave, ya que hasta el 50 % de las adenopatías supraclaviculares son de origen tumoral, sobre todo linfomas, ya sean de origen mediastínico o abdominal. No obstante, hay que señalar otras etiologías, como son infecciones (micobacterias típicas o atípicas, enfermedad por arañazo de gato, citomegalovirus, virus de Epstein-Barr, toxoplasma, brucella, etc.), sarcoidosis y anomalías del desarrollo de estructuras esqueléticas de la zona. Entre estas últimas se encuentra la presencia de una costilla cervical o las variantes anatómicas de la primera costilla (fusión de costillas, costilla bífida, puente entre dos costillas, etc.)1,2.
La costilla cervical, también llamada costilla de Eva, es la variante anatómica costal más frecuente, con una incidencia del 0,2-1 %. Es más frecuente en las mujeres (2,5:1 frente al varón)3. Se dice que existe una costilla cervical cuando la apófisis transversa de la séptima vértebra cervical se alarga más allá de la apófisis transversa de la primera dorsal. Pueden ser unilaterales o bilaterales. Su tamaño varía desde un pequeño esbozo hasta una costilla completa, que se une o articula con la primera costilla torácica4. En ocasiones se asocian a otras anomalías, como seudoartrosis clavicular, duodécima costilla corta o inexistente, vértebra lumbosacra transicional y espina bífida oculta3. Se ha publicado también la asociación de anomalías costales con neoplasias en la infancia, como leucemia linfoblástica aguda, astrocitoma, neuroblastoma, sarcoma de tejidos blandos, tumor de Wilms y sarcoma de Ewing5,6.
La existencia de una costilla cervical en la mayoría de los casos es asintomática; sólo el 10 % origina síntomas3. Puede presentarse, como en nuestro caso, como una masa palpable en fosa supraclavicular, pero también puede ocasionar el llamado síndrome del desfiladero torácico (SDT). Esto es más frecuente en mujeres (1,5:1) y aparece sobre todo entre la tercera y la quinta décadas de la vida4. Los síntomas se deben a la compresión por la costilla cervical o por la banda fibrosa entre ésta y la primera torácica de las raíces del plexo braquial y de la arteria subclavia, estructuras que atraviesan el desfiladero. En los niños, la anatomía del desfiladero torácico cambia constantemente por el desarrollo de las estructuras que lo forman y que lo atraviesan, por lo que, en ellos, este síndrome es un proceso dinámico y no una obstrucción mecánica estática7. Aunque es extremadamente raro en la infancia1,4, al llegar la adolescencia los síntomas se pueden desencadenar debido a un rápido crecimiento de las estructuras que lo componen. Estos síntomas son fundamentalmente neurológicos, siendo los vasculares más raros. El niño puede únicamente quejarse de cansancio, pesadez, hormigueo o dolor de brazo en relación con la elevación del mismo o con el ejercicio7,8. El diagnóstico del SDT se realiza por la clínica y las pruebas de imagen: eco-Doppler, tomografía computarizada y resonancia magnética9. En nuestro caso, se realizó posteriormente un eco-Doppler yugulo-subclavio, que fue normal.
El manejo inicial de los niños con este síndrome es conservador para permitir el crecimiento de las estructuras del desfiladero y la acomodación de las raíces del plexo braquial con el fin de aliviar los síntomas. Se deben evitar aquellos movimientos y posturas que aumenten las molestias (elevación, extensión y abducción del hombro) y realizar ejercicios que fortalezcan la musculatura del hombro (trapecio, elevador de la escápula y romboides). Cuando fracasa el tratamiento conservador, se debe realizar una resección de la costilla cervical y de las bandas fibrosas si las hubiera10. Aunque la paciente presentada no refiere actualmente síntomas llamativos, salvo un leve dolor ocasional en el hombro izquierdo, fue enviada a consulta externa de neuropediatría para realizar seguimiento clínico, con objeto de vigilar la posible aparición de SDT durante la adolescencia.
Agradecimientos
Los autores agradecen al Dr. A. Verdú y a la Dra. R. Cazorla, de la Unidad de Neuropediatría, la colaboración prestada en la redacción del manuscrito.
Trabajo parcialmente presentado como póster en la XI Reunión Anual de la Sociedad.
Española de Urgencias de Pediatría. 27-29 abril 2006. Las Palmas de Gran Canaria.
Correspondencia: Dra. M.ªP. Falero Gallego.
Salvador Dalí, n.º 39. 45810 Villanueva de Alcardete. Toledo. España.
Correo electrónico: pedroypiedad@terra.es
Recibido en noviembre de noviembre 2006.
Aceptado para su publicación en diciembre de 2006.





