Sr. Editor:
La incidencia de gestaciones múltiples ha aumentado considerablemente durante las últimas décadas, como resultado del mayor uso de técnicas de reproducción asistida. Estas gestaciones presentan una mayor morbilidad maternofetal, al aumentar el riesgo de patologías gestacionales como la preeclampsia, la tasa de prematuridad y la mortalidad perinatal. En esta comunicación presentamos un caso en el que se discute la asociación entre preeclampsia, gestación gemelar y corangiosis placentaria, como posible explicación causal de una muerte fetal perinatal.
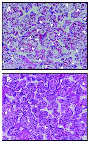
Se trataba de una gestación gemelar bicorial biamniótica obtenida mediante fecundación in vitro, que ingresó en el hospital a las 30 semanas de gestación por amenaza de parto prematuro y colestasis gravídica. El registro cardiotocográfico inicial mostró patrones reactivos, con variabilidad cardíaca, índices de pulsatilidad y ondas de velocidad de flujo en las arterias umbilicales de ambos fetos, dentro de valores normales. La semana siguiente al ingreso se finalizó la gestación mediante cesárea por preeclampsia materna. Nació un primer feto varón, con un peso de 1.900 g, puntuación de Apgar al primer y quinto minuto de 9-10, y un líquido amniótico ligeramente teñido de meconio. El segundo feto también fue varón, con un peso de 1.760 g y líquido meconial espeso. Al nacimiento estaba bradicárdico, flácido y, con ausencia del esfuerzo respiratorio. Se aspiró meconio traqueal y se iniciaron maniobras de reanimación cardiopulmonar sin éxito, falleciendo a los pocos minutos. Al examen no presentaba rasgos externos dismórficos y en la necropsia se observó la presencia de alvéolos pulmonares llenos de meconio, hepatomegalia congestiva, y petequias pleuropulmonares, meníngeas y epicárdicas. Su placenta cumplía los criterios diagnósticos de corangiosis placentaria de Alsthuler 1. La otra placenta también mostraba signos de hipervascularización, pero sin llegar a cumplir dichos criterios (fig. 1). Ninguna presentaba signos de hemorragias, infartos, corioamnionitis o intervillitis, siendo, además, negativos los cultivos placentarios.
Figura 1. Aspecto microscópico de las dos placentas. A) Corangiosis en la placenta del segundo gemelo. Las flechas indican los capilares en los villi terminales. Nótese la característica proliferación de los capilares en algunas áreas de la placenta (corangiosis) del gemelo fallecido. B) Placenta del primer gemelo. (Hematoxilina-eosina, ×100.)
La corangiosis es una alteración placentaria infrecuente, caracterizada por un patrón anómalo de crecimiento de las vellosidades coriónicas terminales 1,2, claramente diferenciada de otras lesiones de las vellosidades coriónicas como el corangioma o la corangiomatosis 2. La mayoría de los casos de corangiosis han sido descritos en placentas de gestaciones a término, siendo inusual su hallazgo en prematuros 1-3. El diagnóstico de corangiosis se establece con el estudio histológico de la placenta, en el que se aprecia un aumento del número de capilares (> 10) en las vellosidades coriónicas terminales, en más de 10 áreas placentarias 1.
Aunque su etiología es desconocida, diversos factores maternos, fetales y placentarios han sido implicados en su desarrollo 1,3,4 (tabla 1). Esta lesión se ha observado frecuentemente en placentas de mujeres que viven en zonas de gran altitud, en mujeres con anemia grave 2, en gestantes fumadoras 1,5, en embarazos múltiples 6 y en ciertas patologías gestacionales como la diabetes 1,7 o la preeclampsia 1,3, situaciones en las que existe un cierto estado de hipoperfusión placentaria mantenida, y en las que la transferencia de oxígeno al feto está disminuida 1,2.
La patogenia de la corangiosis placentaria no está del todo aclarada 1-3. Se postula que en estas situaciones de hipoxia tisular fetal, determinados factores vasculares, moduladores de la función y estructura placentaria 2,3,8, inducirían la proliferación del tejido conjuntivo y la hipervascularización placentaria 1,2,4. Es decir, el patrón de crecimiento mostrado por los capilares de las vellosidades coriónicas típico de la corangiosis, sería una adaptación placentaria en un intento de maximizar el acceso fetal al oxígeno materno 1-3.
El hallazgo de corangiosis en la placenta tiene una importante significación clínica 9, ya que revela la existencia de un ambiente intrauterino muy desfavorable para el feto 1,4. De hecho, su presencia se ha asociado con la aparición de graves alteraciones neurológicas, con malformaciones fetales y con un aumento de la mortalidad perinatal en un 28, 39 y 42 % de los casos respectivamente 1,3,4.
En el presente caso, el desarrollo de corangiosis placentaria se relacionó con la presencia de gestación gemelar y preeclampsia. Probablemente estas condiciones originaron una situación de hipoxia fetal crónica intraútero, como lo demuestra el desarrollo de las alteraciones placentarias y la presencia de líquido meconial en ambos fetos, que condujo a la muerte fetal perinatal de uno de ellos. El estudio de la placenta permitió relacionar las alteraciones prenatales que habían ocurrido, con la inesperada evolución del recién nacido tras su nacimiento.
Correspondencia: Dra. M. González Santacruz.
Servicio de Pediatría. Hospital General Universitario
de Alicante. Pintor Baeza, 12. 03010 Alicante. España.
Correo electrónico: mgonzalezsantacruz@yahoo.es




