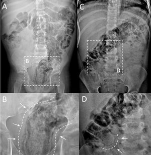
Presentamos 2 casos de neumatosis intestinal (NI) mural diagnosticada por radiografía simple de abdomen en pacientes receptores de trasplante alogénico de progenitores hematopoyéticos (TPH), en tratamiento inmunosupresor por enfermedad injerto contra receptor aguda (EICRa) con participación digestiva. El primero, de 5 años, ingresado a 51 días post-TPH, EICRa con buena evolución con tratamiento con micofenolato, corticoterapia y fotoféresis extracorpórea, presenta distensión abdominal súbita (fig. 1 A y B). El segundo, de 6 años, en el día +71 de un segundo TPH, en tratamiento con micofenolato y corticoterapia, consulta por estreñimiento y dolor abdominal, asociando distensión abdominal a la exploración (fig. 1C y D).
Radiografías de abdomen simple. En el primer paciente (A) se observa extensa neumatosis, más evidente en colon descendente y recto-sigma. Imagen ampliada de región pélvica (B) donde se definen con claridad las áreas lineales de densidad aire en disposición paralela a la luz rectal, compatible con gas mural. En el segundo paciente (C) se observa afectación en hipocondrios y epigastrio caracterizada por distensión de la luz intestinal superpuesta a múltiples imágenes de gas mural menos evidentes. En la imagen detallada del mismo paciente (D) se observa imagen aérea curvilínea, correspondiendo a zona de neumatosis mural mejor definida.
La NI consiste en la presencia de aire en la pared intestinal. En el recién nacido, es un signo de enterocolitis necrotizante; sin embargo, en niños mayores es un hallazgo infrecuente cuya etiología no es bien conocida. Su presentación clínica es variable, desde casos asintomáticos hasta sangrado digestivo. Se ha descrito una mayor incidencia en niños sometidos a TPH, pacientes en tratamiento inmunosupresor y niños con trastornos del neurodesarrollo1. También se han descrito casos de NI en adultos con tratamiento corticoideo en monoterapia2,3. Generalmente el pronóstico de la NI es bueno y su manejo es conservador1.



