El neumoencéfalo es definido como la presencia de aire en el espacio epidural, subdural, subaracnoideo, dentro del parénquima cerebral o en las cavidades ventriculares1.
Niño de 16 años que, tras sufrir una puñalada en la región lumbar, acudió a urgencias refiriendo importante cefalea.
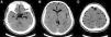
El paciente presenta una herida penetrante lumbar con salida de líquido cefalorraquídeo (LCR). La TC cerebral mostró la existencia de neumoencéfalo difuso (fig. 1). En los cortes axiales de la columna lumbar se observaba el trayecto del arma blanca a nivel de L1-L2 con enfisema subcutáneo asociado (fig. 2A).
La fistula de LCR requirió reparación en quirófano (fig. 2B) apreciándose una incisión limpia a nivel de la duramadre (+) y visualización de las raíces nerviosas (*) a través del defecto dural. El paciente evolucionó favorablemente.
Las causas más frecuentes de neumoencéfalo son las traumatológicas y posquirúrgicas, representado un 74% de los casos1. Los síntomas varían desde cefalea hasta el coma por hipertensión intracraneal1. Solo 2 casos de neumoencéfalo difuso debido a herida espinal penetrante han sido publicados en la edad pediátrica2,3. En la mayoría de ocasiones el manejo de esta entidad es conservador, pero las alternativas terapéuticas son la posición de Trendelenburg, oxigenoterapia en dosis altas, evitar maniobras de Valsalva y reparación de la fístula de LCR si existe2,3.
En los pacientes que llegan a urgencias con una herida penetrante a nivel espinal se debe descartar y valorar la presencia de fístula de LCR y neumoencéfalo si el paciente tiene síntomas neurológicos.




