El neumoencéfalo es la acumulación de aire en la cavidad craneal, generalmente secundario a trauma o cirugía craneal, otológica, etc.1. El primer caso de neumoencéfalo fue descrito por Lecat en 1866, aunque no fue hasta 1914 cuando Wolf utilizó por primera vez el término de «neumoencéfalo»2.
El mecanismo por el que se produce el neumoencéfalo se debe principalmente a la presencia de algún defecto en las meninges o en el cráneo y al gradiente de presión. En la mayoría de los casos se diagnostica por imágenes y no tiene traducción clínica, y en ocasiones puede presentarse con datos de hipertensión intracraneal.
Se presenta un caso clínico de neumoencéfalo en un paciente portador de válvula de derivación ventrículo-peritoneal (VDVP) y con fístula de líquido cefalorraquídeo (LCR), destacando la importancia de las técnicas de imagen, incluida la radiografía de cráneo, en su identificación.
Niño de 11 años con los siguientes antecedentes personales: a) glioma del tectum mesencefálico diagnosticado 2 años antes ante cefalea crónica progresiva y rinorrea acuosa por fosa nasal izquierda de 5 meses de evolución. En urgencias se identificó rinolicuorrea, apreciándose en la exploración únicamente una paresia incompleta del III par craneal izquierdo. Al realizarse una tomografía computarizada (TC) se observa que el tumor condiciona una estenosis del acueducto de Silvio con hidrocefalia triventricular, por lo que se llevó a cabo ventriculoscopia endoscópica de urgencia, no realizándose ningún tratamiento sobre el tumor; b) fístula nasal de LCR, y c) portador de VDVP colocada 10 días después de la ventriculoscopia al aumentar la rinolicuorrea.
Consulta en urgencias por cefalea progresiva de 3 días de evolución que le despierta por la noche, pero de predominio matutino. No refiere otra sintomatología.
En la exploración física presenta buen estado general, buena perfusión periférica, tensión arterial de 120/70mmHg, frecuencia cardíaca 68 latidos por minuto y escala de Glasgow 15/15. Se observa desviación de la mirada del ojo izquierdo hacia la izquierda, similar a exploraciones previas; pupilas isocóricas y reactivas a la luz, y depresión y repleción valvular conservadas. El resto de la exploración era normal.
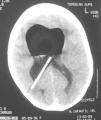
Pruebas complementarias: radiografía lateral de cráneo (fig. 1): neumoencéfalo en los ventrículos laterales (neumoventrículo) y VDVP. TC de cráneo (fig. 2): neumoventrículo con dilatación de los ventrículos laterales y VDVP.
Se realizó tratamiento conservador, con reprogramación de la presión de la válvula en 2 ocasiones y posición horizontal, que produjo la desaparición de los síntomas en 48 h, comprobándose mediante radiografía y TC craneal la disminución hasta casi desaparecer del neumoventrículo. Posteriormente, ha precisado 3 ingresos hospitalarios por cefalea intensa, objetivándose mediante pruebas de imagen un discreto aumento del neumoventrículo, que se resuelve con un incremento progresivo de la presión de la VDVP para evitar aumento del drenaje y ocupación de las cavidades ventriculares por aire. Desde hace un año el paciente es revisado periódicamente, sin evidenciar recidiva.
La formación de un neumoencéfalo solo es posible cuando la presión intracraneal es menor que la atmosférica. Puede ser una complicación poco frecuente de la cirugía transesfenoidal, produciéndose en un 1-10% de las intervenciones y suele estar condicionado por la presencia de una fístula de LCR3. La entrada de aire se explica según 3 modelos teóricos complementarios4,5: a) el modelo de presión negativa: existe un gradiente de presión que favorece la entrada de aire; b) el modelo de la botella de gaseosa invertida: donde igual que el aire reemplaza al líquido de la botella invertida, la salida continua de LCR favorece la entrada de aire que asciende en forma de burbujas remplazando el líquido, y c) el modelo de la válvula unidireccional: la forma de la fístula y su relación con el cerebro permite la entrada de aire que impide su salida.
En condiciones normales, tiende a salir líquido por la fístula hasta que las presiones se igualan. En ese momento los factores que incrementan la salida de líquido (maniobra de Valsalva y cambios posturales) o aquellos que reducen la presión intracraneal o los que aumenten la presión del aire extradural generan un gradiente de presión que favorece la entrada de aire.
Lo más frecuente es que un neumoencéfalo se reabsorba en el espacio subaracnoideo sin dar clínica, pero si da síntomas, lo más común, es la aparición de cefalea. En casos graves de neumoencéfalo a tensión pueden aparecer síntomas de hipertensión intracraneal, como irritabilidad, desorientación, afasia, hemiparesia, vómitos, convulsiones, alteraciones del campo visual, deterioro neurológico progresivo, etc.
La TC es una técnica diagnóstica muy sensible para realizar el diagnóstico y se considera el método de imagen de elección6 ya que es capaz de detectar cantidades de hasta 0,5ml de aire en la cavidad intracraneal7. En esta prueba el aire se observa como una imagen hipodensa redondeada, rodeada de parénquima cerebral normal. Un signo radiológico que ayuda a diagnosticar un neumoencéfalo a tensión es el signo de Monte Fuji, descrito como un ensanchamiento del espacio interhemisférico entre los lóbulos frontales8. En nuestro caso, el diagnóstico se hizo con una radiografía de cráneo solicitada dentro del estudio del trayecto de la VDVP.
El pronóstico del neumoencéfalo depende del estado neurológico, de la rapidez de instauración, la capacidad del cerebro para compensarlo y la existencia de complicaciones.
En cuanto al tratamiento, se han descrito diversas estrategias, desde un enfoque conservador, que consiste en mantener al paciente en posición horizontal o de Fowler a 30°, analgesia y balance hidroelectrolítico adecuado, y esperar la resolución espontánea del cuadro por reabsorción del aire. Menos frecuente es drenar el aire intracraneal atrapado o la reparación quirúrgica de la fístula9 que se realiza por vía endoscópica transnasal, tras colocar un drenaje lumbar e inyectar fluoresceína de forma intratecal, para localizar mejor el orificio fistuloso.




