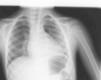
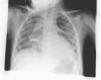
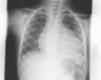
Paciente varón de 4 años de edad, que acude por fiebre de 7 días de evolución asociada a mal estado general, taquipnea, tiraje subcostal, tos y abdominalgia. A la exploración destaca mala perfusión distal, taquicardia de 131 latidos por minuto, hipoventilación en la base izquierda y hepatomegalia de 4 cm. En la radiografía de tórax se observa cardiomegalia e imagen triangular compatible con condensación retrocardiaca (fig. 1). En la ecocardiografía se observa derrame pericárdico grave con colapso diastólico de la aurícula derecha con signos de taponamiento cardiaco. Se realiza pericardiocentesis evacuadora y se deja un catéter de drenaje conectado a un sistema de aspiración bajo sello de agua. El análisis anatomopatológico y bioquímico evidencia exudado de características inflamatorias; por el contrario, no se evidencia en los cultivos crecimiento microbiológico. A las 48h, tras la manipulación del sistema de drenaje, se aprecia en la radiografía de tórax de control gran neumopericardio (fig. 2), sin apreciarse repercusión hemodinámica, respiratoria ni otra sintomatología clínica. Se evacua el neumopericardio, se retira parcialmente el drenaje y se verifica la conexión al sistema de vacío. En los controles radiológicos se evidencia la reabsorción completa del aire restante, así como la ausencia de derrame pericárdico residual (fig. 3).
El factor de impacto mide la media del número de citaciones recibidas en un año por trabajos publicados en la publicación durante los dos años anteriores.
© Clarivate Analytics, Journal Citation Reports 2025
SJR es una prestigiosa métrica basada en la idea de que todas las citaciones no son iguales. SJR usa un algoritmo similar al page rank de Google; es una medida cuantitativa y cualitativa al impacto de una publicación.
Ver másSNIP permite comparar el impacto de revistas de diferentes campos temáticos, corrigiendo las diferencias en la probabilidad de ser citado que existe entre revistas de distintas materias.
Ver más





