El síndrome de obstrucción intestinal distal (SOID) describe un cuadro de obstrucción intestinal en niños con fibrosis quística (FQ) muy similar a la producida en neonatos con íleo meconial1. Se caracteriza por el acúmulo de heces muy viscosas y secreción mucosa espesa adherida a criptas de íleon terminal y ciego, difíciles de movilizar 2. Puede presentarse en el 8,3-16% de los pacientes con FQ, de manera aguda como una obstrucción intestinal o subaguda (cuadros seudo-oclusivos), recurriendo en el 50-76%1,2,3. El paciente puede presentar masa en fosa ilíaca derecha (material fecal en radiografía), junto con obstrucción más o menos establecida (vómitos biliosos o fecaloideos, dolor y distensión abdominal). El SOID debe distinguirse del estreñimiento, apendicitis, invaginación intestinal, cuadros adherenciales, enfermedad de Crohn y colonopatía fibrosante1–4. La secreción deficitaria de cloro y agua, el tránsito lento, el déficit de secreciones mucosas ileales y la malabsorción de grasa, son factores predisponentes. No se ha relacionado este cuadro con un exceso de enzimas pancreáticas exógenas4. Entre los factores de riesgo figuran: genotipos graves (DF508, W1282X), insuficiencia pancreática, deshidratación, antecedente de íleo meconial, trasplante pulmonar y un episodio previo de SOID1-3. Este cuadro se trata habitualmente de manera conservadora mediante lavados anterógrados o retrógrados con enemas de efecto laxante o surfactante, como enemas fosfatados, N-acetilcisteína, polietilenglicol (PEG), o diatrizoato de meglumina (DM, Gastrografin®, Schering, Berlín)1-3. En este trabajo presentamos los casos de 3 pacientes con FQ que sufrieron varios episodios de SOID.
Caso 1Paciente varón con FQ DF508 de 11 años, afebril, con dolor y distensión abdominal, estreñimiento, con vómitos biliosos de 48h de evolución. En radiografía abdominal, se observa abundante material fecal en FID; la ecografía es anodina. Ante la sospecha de SOID, se pauta enema de N- acetilcisteína, con alivio parcial de síntomas, y aparición de deposiciones escasas blandas. A las 24h, bajo control radiográfico, se realiza enema opaco con Gastrografin®, con resolución del cuadro.
Caso 2Paciente mujer de 6 años con FQ DF508, con estreñimiento, vómitos biliosos y dolor abdominal de 2 días de evolución. Ante la sospecha de SOID, se instaura tratamiento con enemas fosfatados y, posteriormente, de N-acetilcisteína, repitiéndose a las 24h, presentando deposiciones blandas y desapareciendo los síntomas.
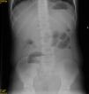
Caso 3Paciente mujer de 5 años con FQ DF508, presenta SOID de 4 días de evolución, que empeora súbitamente tras manejo conservador. Se decide laparotomía, encontrando peritonitis plástica e impactación de material fecal en íleon distal y colon. Tras desimpactación manual se realiza cecostomía con tubo de Kher (procedimiento de Chait) por el que en los siguientes días se inician lavados anterógrados con N-acetilcisteína y PEG. Al 15.° día se sustituye tubo de Kher por botón de cecostomía tipo Chait (fig. 1), por el que se continúan los lavados, que se retira a los 7 meses. En los siguientes 4 años, la paciente ha presentado 2 nuevos episodios de SOID (fig. 2), que se han tratado precozmente con enemas rectales de Gastrografin® a caída libre, (en planta de hospitalización) con resolución de ambos.
El manejo conservador del SOID mediante laxantes o surfactantes, oralmente (en cuadros no establecidos por completo), o mediante enemas, es eficaz en el 89-96% de los casos1–3, sobre todo si se instaura precozmente. Se aconseja PEG a dosis de 2g/kg/día (o solución a 20-40ml/kg/h, oral o con sonda nasogástrica durante 6-8h), o alternativamente enema de Gastrografin® de 50ml disuelto en 400ml de agua en niños hasta 6 años y el doble en niños mayores1. Pueden repetirse estas pautas en días sucesivos, (a mitad de dosis). Se ha descrito, también, la aplicación de lavado rectal con agua y/o Gastrografin® directamente en el ciego mediante colonoscopia5,6. Si el tratamiento conservador falla, o si la evolución es tórpida, la cirugía debe basarse en la desimpactación y el lavado del área ileocecal, prefiriendo una enterostomía o cecostomía a la resección intestinal1,5,6. En nuestro paciente, se optó por una cecostomía temporal con botón, por la imposibilidad de realizar una desimpactación completa y la presencia de peritonitis. Esta opción brindó a la paciente la oportunidad de continuar lavados anterógrados de manera eficaz durante su convalecencia. Otra alternativa más definitiva descrita en pacientes con FQ, adultos, con SOID de repetición, con fallo de tratamiento conservador y mala adherencia al tratamiento, (como último eslabón de tratamiento, tras enemas fallidos y tras descartar un procedimiento de Chait), es la realización de un procedimiento Antegrade Continence Enema (ACE)6, abocando el apéndice a la pared abdominal, como estoma permanente, por el cual se pueden realizar lavados intestinales periódicos.




