Paciente varón de 11 años, que consulta por acropaquias y episodios de mareo de 4 meses de evolución. No refería disminución del apetito ni pérdida ponderal, aunque sí astenia, prurito intenso, sudoración nocturna y fiebre de predominio vespertino en las últimas semanas.
En la exploración física destacaban palidez cutánea, acropaquias en ambas manos, tumefacción articular dolorosa de rodillas y tobillos sin otros signos inflamatorios e hipoventilación en el hemitórax izquierdo. La saturación de oxígeno era normal.
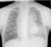
Se realizó una radiografía de tórax que mostraba ensanchamiento mediastínico anterosuperior y medio junto con masa pulmonar adyacente en el lóbulo inferior izquierdo (fig. 1). En la serie ósea presentaba reacción perióstica en el primer metacarpiano y cúbito que afectaba a toda la longitud del hueso y focal en las diáfisis tibial, peronea y del primer metatarsiano, imágenes indicativas de osteoartropatía hipertrófica (OAH) (figs. 2 y 3).
El diagnóstico definitivo fue enfermedad de Hodgkin clásica tipo esclerosis nodular (estadio iiBE). Recibió tratamiento quimioradioterápico, con remisión de la enfermedad de Hodgkin y normalización clínica de los signos de OAH.
La OAH es una entidad clínica y radiológica que asocia hipocratismo digital y periostosis a nivel de huesos largos1-3. Puede ser primaria o secundaria, como manifestación previa o posterior de enfermedades pulmonares, cardiacas o gastrointestinales. La causa más importante de OAH en adultos son las neoplasias intratorácicas; sin embargo, solo el 12% de las OAH en niños se asocian a tumores, siendo infrecuente su relación con enfermedad de Hodgkin1-3.





