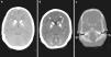
Varón de 10 años, natural de Marruecos, remitido para estudio por discapacidad intelectual. Su hermana mayor también presentaba una discapacidad intelectual de etiología no filiada. Exploración física sin hallazgos, entre los antecedentes personales destaca la existencia de fracturas de repetición. En las pruebas complementarias se objetiva acidosis metabólica (pH 7,196, presión parcial de dióxido de carbono [pCO2]) 42,1mm de mercurio [mmHg], potasio 4 milimoles/litro [mmol/l], gradiente transtubular de potasio 8,47, bicarbonato [HCO3] 15,7 mmol/l, exceso de bases [EB] –11,8 mmol/l) con anión gap plasmático: +10,5 y anión gap urinario 103. Ante la sospecha del origen renal de la misma, se procedió a realizar una prueba de alcalinización de la orina con bicarbonato y acetazolamida, obteniendo en sangre un pH 7,29, pCO2 31,4mmHg y en orina pH 7,87, bicarbonaturia 92 miliequivalentes/l, osmolalidad urinaria 982 miliosmoles/kg y pCO2 de 60,7mmHg, con lo que se obtiene un delta de pCO2 de 29,3mmHg, que podría corresponder con un defecto de acidificación distal. No se valoró la posible afectación en la reabsorción tubular proximal de bicarbonato. La serie ósea (fig. 1) mostraba hallazgos compatibles con osteopetrosis. Dado los antecedentes familiares, se solicita el estudio analítico y radiológico a su hermana (fig. 2) con resultados similares. Ante la sospecha de osteopetrosis asociada a acidosis tubular y la relación de esta con la presencia de calcificaciones intracraneales1,2, se realiza tomografía axial computarizada cerebral con hallazgos compatibles en ambos hermanos (fig. 3). Finalmente se confirma el diagnóstico mediante secuenciación del gen CA2, donde se encuentra la mutación patógenica3 c.232+1G>A en homocigosis en ambos hermanos. No presentaban la sordera que frecuentemente asocia esta entidad1. En la actualidad, se encuentran en tratamiento con bicarbonato asociado a citrato potásico para corregir la acidosis.
Serie ósea: deformidad de huesos largos, esclerosis cortical y reducción de la cavidad medular (a, b). Ensanchamiento de las metáfisis y diáfisis femorales con morfología en «maza» o de «Erlenmeyer flask» (b). Cuerpos vertebrales con esclerosis de la placas terminales e hiperlucidez central o signo de la vértebra «sándwich» (c).
TAC cerebral: groseras calcificaciones intracraneales en sustancia blanca, ganglios de la base (a, b) y cerebelo (b). Engrosamiento de la cortical en la calota craneal que invade la esponjosa con desaparición del aspecto de diploe. Esclerosis densa en la base de cráneo que condiciona estenosis en canales nerviosos (c).





