Introducción
La parotiditis aguda bacteriana generalmente está causada por Staphylococcus aureus1,2 y suele aparecer en niños con factores predisponentes como prematuridad, intervención quirúrgica, alimentación por sonda nasogástrica, deshidratación, inmunosupresión u obstrucción del conducto de Stenon3. Clínicamente, aparece fiebre elevada, tumefacción dolorosa de la parótida y signos inflamatorios agudos, que habitualmente son unilaterales4. En algunos casos aparece una secreción purulenta por el orificio de salida del conducto de Stenon. El pronóstico es bueno, ya que suelen responder bien al tratamiento antibiótico adecuado.
La parotiditis bacteriana es excepcional en neonatos y lactantes sin factores de riesgo1,5,6 seguramente debido a que los anticuerpos maternos protegen al lactante durante los primeros 6 meses de vida7. Menos frecuente aún es aislar a Streptococcus agalactiae como agente causal. Los pocos casos descritos se refieren a infección generalizada invasora por este agente, con inflamación parotídea secundaria8,9.
Presentamos 2 casos de parotiditis aguda en neonatos, en el contexto de una sepsis neonatal tardía por S. agalactiae.
Caso clínico 1
Niña de 27 días de edad, sin antecedentes personales de interés salvo ingreso en el período neonatal por síndrome febril sin foco que precisó antibioterapia intravenosa con ampicilina y gentamicina durante una semana. El cultivo recto-vaginal materno en la semana 37 de embarazo fue negativo. Acudió a nuestro centro por cuadro de llanto, febrícula, rechazo parcial de tomas e irritabilidad de pocas horas de evolución.
En la exploración física, se observó regular perfusión periférica, taquicardia (175 lat./min) y presión arterial 80/45 mmHg. Se detectó tumefacción en región parotídea derecha de 2 x 2 cm, con piel suprayacente caliente, sin eritema. No se observó secreción purulenta por el conducto de Stenon. Se realizó analítica sanguínea: hemoglobina: 10,1 g/dl; hematocrito: 27,3 %; 10.400 leucocitos/μl (80 % neutrófilos; 16 % linfocitos; 4 % monocitos; 0 % eosinófilos); plaquetas: 736.000/μl; proteína C reactiva (PCR): 133 mg/l (normal < 5 mg/l); amilasa: 10 UI/l (normal menor de 115 UI/l).
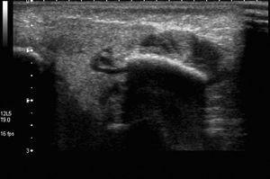
La ecografía objetivó aumento difuso de la glándula parótida, con presencia de nódulos hipoecoicos en su interior (fig. 1). En el estudio Doppler se visualizó aumento de la vascularización de la glándula. Serología de virus de la parotiditis (ELISA): IgG positiva, IgM negativa. Serología frente a virus de Epstein-Barr (VEB) y parvovirus: negativas. Estudio citoquímico de líquido cefalorraquídeo: normal. El urocultivo y el cultivo de líquido cefalorraquídeo fueron negativos. Se realizaron cultivo recto-vaginal y de leche materna que resultaron negativos. Se aisló S. agalactiae en el hemocultivo. Se inició tratamiento intravenoso con cefotaxima que se mantuvo durante 14 días.
Figura 1. Ecografía de la parótida derecha de la paciente 1, en la que se visualiza aumento difuso del tamaño de la glándula parótida.
La evolución fue favorable, con desaparición progresiva de los signos inflamatorios. En el control clínico, 2 semanas después del alta, la niña seguía asintomática y con parámetros analíticos normales.
Caso clínico 2
Niño de 30 días de edad, nacido a término con cultivo recto-vaginal materno positivo para S. agalactiae con profilaxis correcta intraparto y diagnosticado de hipotiroidismo congénito, en tratamiento con tiroxina. Acudió por fiebre de hasta 38,9 °C de 6 h de evolución, decaimiento, quejido y tumefacción en región mandibular izquierda.
En la exploración física, se observó mala perfusión periférica con aspecto séptico y tumefacción mandibular izquierda de 4 x 2 cm, caliente, sin eritema. Presión arterial 87/41 mmHg. En la analítica sanguínea aparecieron 2.130 leucocitos/μl (50 % neutrófilos; 44 % linfocitos; 4 % monocitos; 0,5 % eosinófilos); 2 % metamielocitos; 20 % cayados; plaquetas: 272.000/μl; PCR: 177 mg/l; amilasa: 3 UI/l.
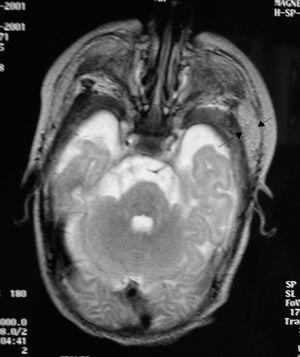
En el estudio ecográfico se observó aumento del tamaño de la glándula parótida con aumento de la vascularización que se confirmó en la resonancia magnética (RM) (fig. 2), descartándose la existencia de celulitis acompañante.
Figura 2. RM craneal del paciente 2. Se observa la glándula parótida izquierda aumentada de tamaño (flechas).
Estudio citoquímico de líquido cefalorraquídeo: normal. El urocultivo y cultivo de líquido cefalorraquídeo resultaron negativos. Serología frente a virus de la parotiditis, VEB y parvovirus: negativas. En el hemocultivo se aisló S. agalactiae.
El niño recibió antibioterapia intravenosa con cefotaxima desde su ingreso, manteniéndose durante 14 días. Presentó una buena evolución, con desaparición progresiva de los síntomas y normalización de los parámetros analíticos.
Discusión
La parotiditis aguda supurativa neonatal es muy poco frecuente y suele aparecer en niños prematuros, de bajo peso o con signos de deshidratación, especialmente en los portadores de sonda nasogástrica3,10.
El agente etiológico más frecuente es S. aureus. También se han descrito infecciones por bacilos gramnegativos, anaerobios y estreptococos2,3. S. agalactiae es un patógeno muy poco frecuente en esta infección, habiéndose descrito muy pocos casos en la literatura médica8,9, siempre en el contexto de una sepsis tardía.
Nuestros 2 casos también presentaban clínica de sepsis y en ambos el hemocultivo fue positivo, lo cual apoyaría la vía hematógena como mecanismo patogénico fundamental de esta infección en el recién nacido. En los casos de parotiditis por S. aureus, la principal vía de infección suele ser ascendente a través del conducto de Stenon tras la colonización de la cavidad oral. Esto podría explicar la frecuente aparición de supuración a través del conducto en los casos de parotiditis estafilocócica, y su ausencia en nuestros pacientes.
S. agalactiae también es responsable del síndrome celulitis-adenitis, una forma de presentación de una sepsis neonatal tardía por esta bacteria. Se caracteriza por la aparición, generalmente en la región submandibular, de una adenopatía engrosada y dolorosa con la piel suprayacente tumefacta, eritematosa y caliente. Su importancia radica en que puede ser la única manifestación del cuadro séptico y en su frecuente asociación con meningitis11,12. El diagnóstico diferencial con la parotiditis por S. agalactiae debe basarse en la clínica y las pruebas de imagen. Nuestros 2 pacientes presentaban clínica de sepsis junto a tumefacción en la región parotídea sin celulitis acompañante. Aunque ninguno tuvo meningitis asociada, esta posibilidad debe ser descartada dado el origen bacteriémico de la infección.
La analítica muestra signos de infección con aumento de reactantes de fase aguda. La amilasa en nuestros 2 pacientes fue normal, hecho descrito con frecuencia en la parotiditis supurativa neonatal, especialmente en la de origen bacteriémico. Para completar el diagnóstico se hace imprescindible el uso de pruebas de imagen como la ecografía, la tomografía computarizada (TC) o la RM, que demuestran un aumento del tamaño de la glándula parotídea unilateral con vascularización aumentada.
No obstante, es muy probable que el síndrome de celulitis-adenitis y la parotiditis aguda por S. agalactiae tengan el mismo mecanismo etiopatogénico, representando formas de presentación excepcionales de una sepsis tardía por S. agalactiae, con afectación parotídea o adenopática secundaria.
El pronóstico de la infección es bueno ya que suelen responder bien a la antibioterapia intravenosa. Muchos autores consideran que la cloxacilina debe ser el tratamiento de elección de la parotiditis bacteriana neonatal dada la alta frecuencia de S. aureus como agente causal. Pensamos que el tratamiento empírico inicial debería ser de amplio espectro, utilizando una cefalosporina de tercera generación asociada a ampicilina hasta conocer el resultado de los cultivos. Si se confirma el diagnóstico de parotiditis por S. agalactiae en el contexto de una sepsis tardía por esta bacteria, se puede continuar el tratamiento con cefotaxima o utilizar ampicilina sola o asociada a gentamicina.
En conclusión, la parotiditis por S. agalactiae debe incluirse en el diagnóstico diferencial de la parotiditis aguda bacteriana en el período neonatal, lo cual puede modificar el tratamiento empírico de esta infección.
Correspondencia: Dra. A.P. Nso Roca.
Servicio de Infecciosas. Hospital Materno-Infantil La Paz.
P.º de la Castellana, 261. 28046 Madrid. España.
Correo electrónico: ananso@yahoo.es
Recibido en agosto de 2006.
Aceptado para su publicación en enero de 2007.




