Las infecciones por enterovirus (EV) son comunes en la infancia, produciendo cuadros benignos como herpangina o enfermedad boca-mano-pie, y son la causa más frecuente de meningitis linfocitaria. Ocasionalmente, con naturaleza epidémica, se presentan casos con afectación neurológica en forma de parálisis flácida aguda espinal y/o afectación romboencefálica, como en el brote epidémico de 2016 en Cataluña.
Nuestro objetivo es describir los 4 pacientes ingresados en nuestro centro desde junio a diciembre 2016, con afectación neurológica secundaria a infección por EV.
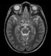
En la tabla 1 se muestran las principales características de nuestros pacientes. Todos presentaron fiebre de varios días de evolución al ingreso y una constelación de síntomas neurológicos que oscilaron entre decaimiento y somnolencia hasta inestabilidad, ataxia y temblor no intencional. A todos se les realizó punción lumbar, mostrando pleocitosis linfomononuclear en la citoquímica en 3 casos (1, 2 y 3). El análisis por reacción en cadena de la polimerasa (PCR) del líquido cefalorraquídeo (LCR), exudado respiratorio o heces detectó la presencia de EV en al menos, una de las muestras en los 4 casos. Solo en uno de ellos se detectó el virus en LCR, y en todos en la muestra fecal. En 3 de los 4 casos, la RM craneal mostró lesiones hiperintensas en romboencéfalo (fig. 1). Respecto al tratamiento, 2 pacientes recibieron corticoides, 2 de ellos inmunoglobulinas por vía intravenosa y uno solo recibió tratamiento sintomático. La evolución fue favorable en todos, estando asintomáticos al alta o con franca mejoría respecto al ingreso.
Principales características de los casos de enfermedad neurológica aguda por enterovirus
| Caso | Mes | Edad | Síntomas | Muestras en la que se aisló EV mediante PCR | Resonancia magnética | Tratamiento | Evolución (al mes) |
|---|---|---|---|---|---|---|---|
| 1 | Junio | 10 meses | Fiebre 6 días Somnolencia Ataxia Temblor | Heces Respiratoria | Normal | Sintomático | Mejoría progresiva Resolución total de la clínica |
| 2 | Junio | 9 años | Fiebre 4 días Somnolencia Ataxia Nistagmo Pérdida de fuerza Vómitos | Heces Respiratoria LCR | Aumento de señal en T2 en mesencéfalo que se extiende a protuberancia, afectando a SG | IgIV 1g/kg/día, 2 días Metilprednisolona a 30mg/kg/día, 3 días | Mejoría No resolución |
| 3 | Septiembre | 22 meses | Fiebre 2 días Ataxia Vómitos Diarrea | Heces Respiratoria | Alteración de señal mostrada en T2 con hiperintensidad de SG bilateral de mesencéfalo | Metilprednisolona 2mg/kg/día, 5 días | Mejoría progresiva Resolución total de la clínica |
| 4 | Diciembre | 21 meses | Fiebre 5 días Somnolencia Ataxia Conjuntivitis | Heces | Hiperintensidad en T2 en bulbo y unión bulbo medular | IgIV 1g/kg/día, 2 días | Mejoría progresiva Resolución total de la clínica |
EV: enterovirus; IgIV: inmunoglobulinas inespecíficas de administración endovenosa; LCR: líquido cefalorraquídeo; PCR: reacción en cadena de la polimerasa; SG: sustancia gris.
En Europa, al contrario que en China, la infección por EV serotipo 71 era hasta ahora infrecuente y se asociaba a síndrome febril o a enfermedad boca-mano-pie. El virus es trasmitido vía fecal-oral o por saliva. Determinados serotipos de EV, como el A71, tienen especial neurotropismo, sugiriéndose la neuroinvasión por transporte axonal retrógrado1. Desde finales de marzo de 2016 se produjeron en Cataluña 100 casos que cumplieron los criterios de «cuadro clínico de afectación romboencefálica o mielitis y detección de EV»2. Sin embargo, el aislamiento del EV no siempre se asocia a enfermedad neurológica, de hecho, se ha comunicado en un estudio que de un total de 2.788 muestras respiratorias en niños afectos de infección respiratoria, 148 (5%) fueron por EV y de ellas solo 8 casos lo fueron por EV-A71; de estos solo hubo un caso con afectación neurológica en forma de meningitis linfocitaria, de evolución favorable3.
En el niño, la presencia de fiebre y afectación neurológica con compromiso del área romboencefálica (mioclonías, temblor y/o ataxia) y/o bulbar (afectación de pares craneales, trastorno de la deglución y del lenguaje, episodios de apnea y edema de pulmón neurogénico4 obliga al análisis del LCR, que suele mostrar pleocitosis linfocitaria y a la obtención de imágenes por RM en la fase aguda de la enfermedad, cuyos hallazgos típicos son la aparición de lesiones hiperintensas en T2, sobre todo en la protuberancia, la médula cervical, el mesencéfalo, los núcleos dentados y el hipotálamo5.
La técnica más sensible, rápida, y actualmente estándar para establecer el diagnóstico etiológico, es la PCR. Pese a la gravedad del cuadro, la detección del EV en LCR es excepcional. De hecho, en nuestra serie, solo uno de 4 pacientes fue positivo, tratándose de la paciente número 2 con afectación neurológica más severa. Por ello, la sospecha de esta entidad debe llevar siempre a obtener muestras respiratorias y de heces, y su detección no exime de descartar otras enfermedades causantes de clínica neurológica aguda.
Lamentablemente, no fue posible serotipar los enterovirus de nuestra muestra por lo que, aunque los datos clínicos y epidemiológicos sugieren que se tratan en su mayoría del EV-A71, no lo podemos asegurar.
No existe un tratamiento específico eficaz para la infección por EV. Siguiendo los protocolos de actuación recomendados por las sociedades científicas españolas, los pacientes con clínica grave recibieron inmunoglobulina polivalente intravenosa, ya que se ha aducido un efecto inmunomodulador sobre la producción de citocinas en la afectación neurológica grave por EV, aunque su evidencia es escasa ya que no hay resultados con ensayos clínicos aleatorizados. Los corticoides en megadosis (30mg/kg/día, 3-5 días) se han utilizado en pacientes con afectación grave neurológica, aunque su uso no está apoyado por ensayos clínicos controlados6 y se ha extrapolado de su uso anterior en casos de mielitis aguda.
El EV-A71 se ha ido extendiendo desde su origen en Alemania, hasta Francia y Cataluña2, produciendo un brote que no se ha reproducido en nuestra provincia, lo que sugiere que están implicados factores ambientales y microbiológicos, desconocidos por el momento, que pudieran tener relación con su tasa de ataque y virulencia.




