Posterior ankle impingement syndrome (PAIS) is a range of clinical disorders characterized by posterior ankle pain during plantar flexion and is an infrequent condition in the pediatric age group.1
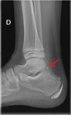
We present the case of a boy aged 11 years assessed for pain located in the right ankle of three days’ duration in absence of previous trauma. The patient reported playing soccer sometimes. He described pain at the site of insertion of the Achilles tendon, with shooting pain reproducible on walking. The patient had no pain or inflammation elsewhere. The physical examination was unremarkable. An X-ray of the ankle (Fig. 1) revealed the presence of an extra bone (os trigonum).
Os trigonum is an accessory bone present from birth in 14% of 25% of individuals, unilaterally or bilaterally, located behind the talus and connected to it through a fibrous band.
The management of the patient was conservative, based on rest and avoidance of aggravating activity. The outcome was favorable.
The diagnosis of PAIS is essentially clinical and based on the presence of posterolateral ankle pain during plantar flexion, exacerbated by physical activity or trauma. A positive heel thrust test supports the diagnosis. This condition is common among dancers and soccer players. A lateral X-ray can allow visualization of the OT. A magnetic resonance scan can be performed in cases in which OT is not detected on radiography. The management is generally conservative, although some patients may require surgical intervention.1,2



