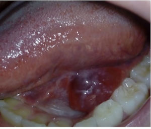
Presentamos el caso de una niña de 9 años remitida a nuestro servicio de cirugía pediátrica por una tumefacción recurrente en la base de la lengua de 5 meses de evolución. La exploración reveló una tumefacción con contenido líquido (fig. 1). El análisis histopatológico confirmó la presencia de un quiste de retención mucosa unilocular asociado a sialoadenitis crónica, atrofia acinar, ectasia ductal e infiltrado linfoplasmocitario. La resonancia magnética mostró quistes pequeños bilaterales en las glándulas sublinguales compatibles con ránulas simples y un aspecto multiquístico en las glándulas parótidas sugerente de lesiones linfoepiteliales asociadas al síndrome de Sjögren (SS) (fig. 2). La analítica reveló elevación de anticuerpos antinucleares (1:640), niveles altos de anticuerpos anti-SSA (>240U/mL) y elevación leve del factor reumatoide (32UI/mL). Otras pruebas, como la enzima convertidora de angiotensina sérica, el proteinograma, subclases de inmunoglobulina, niveles de complemento, crioglobulinas y anticuerpos anti-dsDNA, anti-SSB y anti-U1RNP, estaban dentro del rango normal. El test de Schirmer confirmó un déficit grave en la producción de lágrimas (<5mm). Posteriormente, la paciente desarrolló síndrome seco, que mejoró con tratamiento sintomático.
El SS es una enfermedad autoinmune poco frecuente en pacientes pediátricos, y su diagnóstico precoz puede ser difícil. Las ránulas recurrentes pueden ser una manifestación temprana de daño ductal en el SS1,2. Por lo tanto, en estos casos, debe considerarse la realización de pruebas de imagen de las glándulas salivales y estudios inmunológicos exhaustivos para evaluar la presencia de afecciones subyacentes como el SS3.




