La fractura accidental de catéter de drenaje pleural es una complicación muy infrecuente durante la introducción del mismo1; suele ocurrir durante la retirada de tubos de drenaje pleural1-3. Existen pocos estudios sobre esta complicación1. Se presentan 2 casos de rotura accidental de catéter pleural durante su inserción.
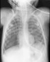
Caso 1Escolar de 4 años de edad que ingresa en la UCIP por dificultad respiratoria progresiva, precisando ventilación mecánica; como complicación presenta neumotórax bilateral por lo que se procede a inserción de tubo pleural (Pneumocath® 8F) en ambos hemitórax. Durante la inserción del tubo pleural derecho se produce fractura accidental del mismo, quedando un fragmento del mismo en la cavidad pleural (fig. 1). Se procede a su retirada mediante toracoscopia a los 6 días, sin incidencias.
Caso 2Paciente de 10 días de vida que ingresa en la UCIP para control postoperatorio tras cirugía correctora de D-transposición de grandes arterias. Presenta quilotórax posquirúrgico, por lo que se procede a colocación de drenaje pleural derecho (Pneumocath® 8F). Durante la inserción, se produce traumatismo pericárdico con derrame pericárdico secundario y fractura accidental del catéter pleural, permaneciendo un fragmento en cavidad pleural (fig. 2). Se procede a retirada mediante toracotomía y a la colocación de nuevo catéter, sin incidencias.
En resumen, la rotura de catéter pleural es una complicación infrecuente durante la inserción de este tipo de catéter; quizás la utilización de catéteres sin trocar biselado con inserción mediante la técnica de Seldinger pudiera disminuir la incidencia de esta complicación.




