Presentamos el caso de un niño de 3años que acude por fiebre, dificultad respiratoria y dolor abdominal de tres días de evolución, con estreñimiento habitual. Presenta aceptable estado general, polipnea (50rpm), saturación de oxígeno 98% y crepitantes en base pulmonar derecha. Abdomen blando, depresible y no doloroso a la palpación.
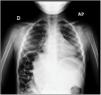
Ante la sospecha de neumonía, se realiza ecografía pulmonar (Vídeo 1), visualizando elevación diafragmática en hemitórax derecho con asas intestinales subcostales en localización hepática y pequeña condensación en lóbulo medio (figs. 1 y 2). Radiológicamente la imagen es sugestiva de síndrome de Chilaiditi (fig. 3).
Ecografía pulmonar en el cuarto espacio intercostal de la línea media clavicular anterior. Visualizamos una imagen de desestructuración de la pleura (flecha1), con patrón de condensación (flecha2) y borde en sacabocados que ocupa un espacio intercostal con una profundidad de 1,2cm, compatible con neumonía incipiente.
Evoluciona favorablemente tratado con amoxicilina y macrogol, resolviéndose los síntomas, con control ecográfico con hígado normoposicionado.
El síndrome de Chilaiditi es una entidad poco frecuente en la infancia. La mayoría son asintomáticos, diagnosticándose como hallazgos casuales, en cuyo caso hablamos de signo de Chilaiditi. Cuando presentan clínica, lo hacen con dificultad respiratoria, vómitos, dolor abdominal y estreñimiento, pasando a denominarse Síndrome de Chilaiditi.
El tratamiento conservador, con medidas higiénico-dietéticas y laxantes, suele ser efectivo. El tratamiento quirúrgico se reserva para situaciones con complicaciones graves, como vólvulos u otras causas de obstrucción.
Con este caso queremos resaltar el valor de la ecografía tanto en el diagnóstico como en el seguimiento de estos pacientes.
Vídeo 1 Corte longitudinal a nivel de la séptima costilla. A la izquierda de la imagen vemos un patrón de líneasA de normalidad pulmonar; en el centro, el signo del telón, y a la derecha (lo que corresponde a la parte inferior del cuerpo), artefacto de reverberación similar a líneasA. No se identifica la pleura, y esto nos indica que estamos en la cavidad abdominal en el lugar en el que habitualmente deberíamos encontrar el hígado. Esto nos tiene que sugerir un síndrome de Chilaiditi, en el cual las asas intestinales se interponen entre el diafragma y el hígado, desplazándolo.





