Sr. Editor:
Los tumores de células germinales son un conjunto de neoplasias de localización gonadal o extragonadal que comparten las características de derivar de las células germinales primordiales. Bajo este término se agrupan tanto tumores benignos (teratoma) como tumores malignos (germinoma, carcinoma embrionario, etc.) y tumores con histología mixta. Constituyen el 2-4 % de todas las neoplasias de la infancia y adolescencia 1.
Se presenta el caso de una niña de 13 años que acude a urgencias por aquejar dolor abdominal agudo y vómitos de 12 h de evolución. El dolor estaba localizado en ambas fosas ilíacas y era más intenso en la derecha. Presentaba mal estado general, con dolor a la palpación en todo el hemiabdomen inferior, con signos apendiculares positivos. El hemograma mostraba 18.800 leucocitos/μl con 88,5 % de neutrófilos. La radiografía simple de abdomen evidenció una imagen calcificada de unos 3 cm en zona ovárica izquierda. La ecografía abdominal objetivó una masa ovárica derecha de 10 x 7 cm de diámetro de aspecto quístico, así como una masa ovárica izquierda, del mismo aspecto, de 6 x 6 cm de diámetro, junto a una imagen calcificada, compatible con teratoma quístico de ovario.
Con el diagnóstico probable de quiste de ovario derecho torsionado y teratoma quístico de ovario izquierdo, la niña fue intervenida encontrando una masa quística en el lado derecho que correspondía a ovario y trompa torsionados; en el lado izquierdo se encontró una masa de menor tamaño que correspondía a teratoma quístico, que afectaba a parte del ovario. Le fue practicada anexectomía total de lado derecho y quistectomía ovárica izquierda, dejando un fragmento de ovario y la trompa del mismo lado, para preservar la función gonadal y reproductora.
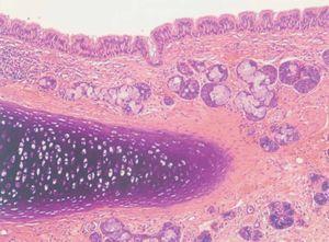
Macroscópicamente la pieza derecha correspondía a un quiste torsionado de ovario con una cavidad quística que contenía abundantes formaciones pilosas. La pieza izquierda extraída correspondía a ovario izquierdo. Al corte presentaba una cavidad quística cuyo contenido estaba constituido por abundantes pelos y un fragmento de hueso que medía 3 x 1,5 cm. El estudio microscópico de la pieza derecha mostraba una pared interna quística con numerosos folículos pilosebáceos y glándulas sudoríparas. En algunas zonas existía cartílago hialino, glándulas seromucosas y cavidades revestidas por epitelio respiratorio, así como áreas de tejido nervioso con presencia de neuropilo y neuronas diferenciadas. El estudio microscópico de la pieza izquierda mostraba folículos pilosebáceos y glándulas sudoríparas apocrinas. Todos los tejidos en ambos tumores estaban bien diferenciados y no presentaban pleomorfismo. El diagnóstico histopatológico correspondía a teratomas quísticos benignos (figs. 1 y 2).
Figura 1.Corte histológico de la pieza derecha que corresponde a estructura bronquial. Se observan epitelio respiratorio, glándulas seromucosas y cartílago hialino de la pared de un bronquio. (Hematoxilina-eosina.)
Figura 2.Corte histológico de la pieza izquierda que corresponde a tejido epidérmico. Se observan glándulas sebáceas y sudoríparas apocrinas. (Hematoxilina-eosina.)
Las neoplasias ginecológicas son muy poco frecuentes en adolescentes. Los tumores de ovario constituyen el 1 % de los tumores en niñas menores de 17 años siendo el resto de los tumores ginecológicos más raros. Los tumores de células germinales o teratomas constituyen el 60-89 % de los tumores de ovario en niñas y adolescentes, mientras que en mujeres adultas, sólo constituyen el 20 % de los casos 2,5.
La manifestación clínica más frecuente de los tumores ováricos es el dolor abdominal crónico. Si se produce torsión del tumor, puede producirse un cuadro agudo y severo que asemeja a una apendicitis. Otras manifestaciones pueden ser las derivadas de la compresión tumoral, como el aumento progresivo del tamaño abdominal, estreñimiento y síntomas genitourinarios. También pueden presentarse como amenorrea, menarquia prematura o simular un embarazo 6-8. Se estima que el 60 % de los pacientes son asintomáticos, alrededor del 10 % presentan bilateralidad y el 3,5 % de los casos se torsionan 4.
En los pacientes con teratomas puede encontrarse una masa ovárica calcificada en una ecografía pélvica o en una radiografía. La TC torácica y abdominal permiten excluir la existencia de metástasis a distancia en casos de tumores malignos. La diseminación puede ser directa a los anejos adyacentes, al líquido ascítico, a ganglios linfáticos o producir diseminación por vía sanguínea y afectar a otras vísceras 9-10. El diagnóstico diferencial debe realizarse con quistes de ovario, apendicitis, embarazo normal o ectópico, absceso pélvico, sarcoma, linfoma y tumores de ovario. El tratamiento de los teratomas consiste en su exéresis quirúrgica, acompañada de quimioterapia en los casos de malignidad.
El caso clínico expuesto sugería una torsión de quiste de ovario derecho lo que indicó una intervención quirúrgica urgente. La exéresis mostró una masa quística derecha torsionada. Además, las pruebas complementarias evidenciaron una imagen compatible con teratoma en zona ovárica izquierda que también se extirpó. La evolución de la paciente fue favorable y presentó menstruaciones normales. La existencia de un teratoma bilateral de ovario, y uno de ellos torsionado, hace que este cuadro clínico resulte excepcional en una adolescente.
 Correspondencia: Dr. J. Fleta Zaragozano.
 Departamento de Pediatría.
 Hospital Clínico Universitario.
 Avda. San Juan Bosco, 15.
 50009 Zaragoza. España.
 Correo electrónico:  jfleta@unizar.es
										
				



