La trisomía 13 es una alteración cromosómica que puede ocurrir de forma completa, parcial o en mosaico. La forma completa se presenta cuando 3 copias del cromosoma 13 están presentes en todas las células; la forma parcial ocurre al estar triplicada una porción del cromosoma 13 y en el mosaico un porcentaje de células son trisómicas para el cromosoma 13, mientras que el resto son euploides. Estos 2 últimos tipos de alteraciones cromosómicas son infrecuentes, y en los casos de mosaico pueden presentarse clínicamente desde malformaciones graves con muerte temprana hasta un desarrollo normal con pocos hallazgos dismórficos1.
Presentamos el caso de una recién nacida con diagnóstico prenatal de holoprosencefalia alobar. Padre de 43 años y madre de 34 años de edad, sanos y no consanguíneos. Producto de segunda gesta, el embarazo simple, complicado con amenaza de aborto que requirió hospitalización. Obtenida a las 34 semanas de gestación por cesárea segmentaria; el peso al nacer fue de 1.900g y la longitud de 44cm. Respiró de forma espontánea y fue hospitalizada durante 44 días, por el diagnóstico prenatal, así como por la presencia de dismorfias faciales y bajo peso. Presentó cianosis e ictericia neonatal tratada con fototerapia. La evolución clínica fue desfavorable, falleciendo a los 65 días de nacida por paro cardiorrespiratorio, que no respondió a maniobras de reanimación.
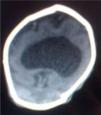
A su ingreso en la Unidad de alto riesgo neonatal, en regulares condiciones generales, presentaba los siguientes signos vitales: la frecuencia cardiaca era de 140 lpm y la respiratoria de 56rpm, con moderada palidez mucocutánea y microcefalia, con perímetro cefálico de 29cm; la fontanela anterior puntiforme depresible, microftalmia con hipotelorismo ocular, labio-paladar hendido amplio en todo su trayecto medial, micrognatia, los pabellones auriculares de implantación baja, el cuello es corto y pectus excavatum (fig. 1). La auscultación cardiopulmonar con soplo sistólico y murmullo vesicular rudo. En el abdomen cordón umbilical con arteria única y genitales de configuración normal. No se mostró alteración en las extremidades. El examen neurológico presentó reflejos primitivos. La ecografía transfontanelar no apreció línea media ni circunvoluciones cerebrales, ausencia de cuerpo calloso y septum pellucidum; los tálamos se encuentran fusionados y monoventrículo, compatible con holoprosencefalia alobar. El estudio de tomografía axial cerebral confirmó el diagnóstico (fig. 2). El estudio de ecocardiografía evidenció ducto arterioso persistente. El cariotipo en sangre periférica 46, XX/47,XX+13, metafases estudiadas 40, con 17,5% de células trisómicas.
La trisomía 13 es una alteración cromosómica caracterizada por la tríada microcefalia, labio paladar hendido y polidactilia postaxial2. La trisomía 13 en mosaico se presenta solo en el 5% de los casos2,3, y el fenotipo como la evolución son variables y pocos conocidos3. En los diferentes casos publicados de trisomía 13 en mosaico, los pacientes han presentado un fenotípico típico de la trisomía 13 completa con muerte en el período neonatal, mientras que otros cursan hallazgos dismórficos leves y sobrevida prolongada.
Entre las malformaciones más comunes se incluyen anomalías en el pabellón auricular, labio y paladar hendido y diversos tipos de cardiopatías congénitas1. De estos hallazgos clínicos, la paciente estudiada presentó implantación baja de pabellón auricular, labio y paladar hendido y ducto arterioso persistente como cardiopatía congénita. Sin embargo la holoprosencefalia, que fue el hallazgo de imagen prenatal que inició el estudio de la paciente, no figura como frecuente1. Durante la gestación se realizó 2 ecografías en el primer trimestre y al final de la gestación; en esta última se realizó el diagnóstico de holoprosencefalia, y desde ese momento comienza su evaluación por Genética médica y se realizó estudio citogenético en el período neonatal.
La holoprosencefalia es la malformación más común en el cerebro anterior e implica la separación incompleta o fallida de los hemisferios cerebrales. Las alteraciones cromosómicas corresponden a la causa más común de holoprosencefalia4, entre las que se destacan trisomía 13, trisomía 18 y triploidía, entidades que cursan con frecuencia un desenlace fatal durante la gestación o en la infancia5. Sin embargo, pueden presentarse como causa no identificable en pacientes con formas no sindromáticas y no cromosómicas4.
Hemos comunicado un caso de trisomía 13 en mosaico, tipo de alteración cromosómica infrecuente, destacando sus características clínicas, las cuales no son claras y no se ha establecido un consenso6; por ello, predecir la evolución es compleja, por la variabilidad fenotípica que abarca desde pocos hallazgos dismórficos y sobrevida prolongada hasta un fenotipo similar a la trisomía 13 completa con muerte neonatal7. Aunque la paciente presentó un 17,5% de células trisómicas, en el estudio citogenético realizado en linfocitos de sangre periférica parece no existir una relación entre este resultado y la clínica presente en la paciente, por lo que se ve dificultado incluso emitir un oportuno asesoramiento genético.




