Varón de 16 años atendido por episodio de 15minutos de pérdida de conciencia, movimientos involuntarios faciales y de extremidades superiores e incontinencia urinaria seguido de somnolencia excesiva.
Las evaluaciones iniciales, incluyendo analítica, toxicología, TAC craneal y punción lumbar, fueron anodinas. A continuación, desarrolló hemiparesia derecha con hemianopsia homónima y afasia (puntuación de 9 en la escala PedNIHSS). La angio-TC cerebral mostró un accidente cerebrovascular embólico secundario a la oclusión del segmento insular de la arteria cerebral media. La evaluación etiológica reveló una masa de gran tamaño en la aurícula izquierda (fig. 1) tratada mediante escisión quirúrgica, con confirmación del diagnóstico de mixoma por histopatología.
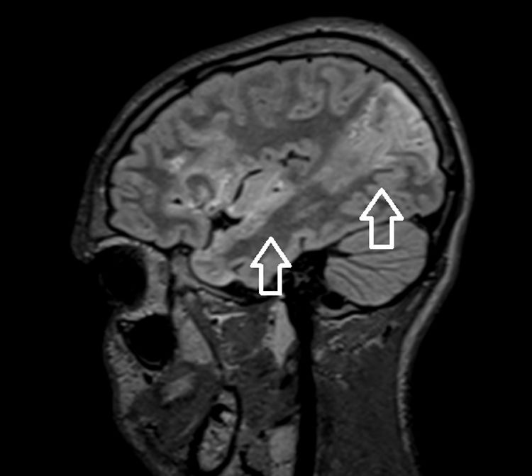
Tras la operación, se inició tratamiento con aspirina (100mg/día), así como rehabilitación motora y logopédica estructurada. La RM de control (figs. 2 y 3) mostró lesiones isquémicas estables, sin evidencia de recurrencia de embolismo. Actualmente, el paciente tiene hemiparesia derecha leve, afasia nominal (5puntos en la escala PedNIHSS) y alteraciones leves del comportamiento.
El manejo del accidente cerebrovascular pediátrico supone un reto por las presentaciones atípicas y el amplio diagnóstico diferencial, que incluye los ataques epilépticos, las migrañas y la vasculitis. La RM cerebral es esencial para realizar un diagnóstico preciso. El papel de las terapias de reperfusión, la anticoagulación o las estrategias antitrombóticas en niños aún no está claro, dada la escasez de la evidencia disponible y la falta de ensayos pediátricos. Los protocolos estandarizados son esenciales para determinar su indicación, guiar el tratamiento y minimizar las complicaciones. El presente caso subraya la importancia de la realización precoz de pruebas de imagen y una evaluación exhaustiva para mejorar el pronóstico y prevenir la recurrencia1,2.





