Presentamos el caso de un recién nacido con trombosis venosa renal, con buena evolución clínica y radiológica. Se describen los hallazgos patológicos obtenidos por diferentes técnicas de imagen. La ecografía Doppler es el método de exploración de elección y, aunque con la resonancia magnética se consiguen buenas imágenes diagnósticas, debe quedar reservada para aquellos casos en los que los hallazgos de la ecografía Doppler no fueran concluyentes.
We present a newborn patient with renal vein thrombosis with a good clinical and radiological evolution, describing the pathological features obtained by several imaging tools. Doppler ultrasound is the imaging method of choice, even although magnetic resonance gives excellent diagnostic findings it should be reserved for those cases where the Doppler findings are inconclusive.
La trombosis venosa renal (TVR) es, en la actualidad, una enfermedad infrecuente, que afecta preferentemente a recién nacidos y que posee conocidos factores predisponentes1. Suele presentarse como una masa abdominal palpable, con hematuria y alteración de la función renal. El tratamiento es conservador; algunos autores defienden un mejor pronóstico con la utilización de tratamiento anticoagulante en las primeras fases.
El diagnóstico se realiza por ecografía Doppler2, ya que se trata de la mejor y la más rápida manera de llevar a cabo el estudio dinámico de cualquier flujo.
El motivo de nuestra presentación es describir los hallazgos ecográficos tanto en ecografía bidimensional como en ecografía Doppler, así como el análisis de otros métodos de diagnóstico alternativos, como la resonancia magnética (RM).
CASO CLÍNICOSe trata de un recién nacido varón ingresado en nuestro hospital procedente de la maternidad, en las primeras 24h de vida, tras habérsele palpado una masa en el flanco izquierdo. La madre presentaba diabetes como único antecedente de interés. El embarazo transcurrió sin complicaciones y el parto se produjo por vía vaginal en la semana 39 + 2 de gestación.
En la exploración física se observaba un recién nacido de aspecto macrosómico; Apgar 8/10; peso: 3 820g; talla: 52cm; presión arterial 83/61mmHg, con ictericia y masa renal izquierda palpable; el resto de la exploración física fue normal. En la analítica realizada al ingreso destaca una hiperbilirrubinemia de 13,6mg/dl de predominio indirecto, trombopenia 38.000/μl, labstix: hematuria +++, proteinuria 500mg/dl, creatinina 0,88mg/dl. El estudio de coagulación fue normal (international normalized ratio [INR]: 1,33; tiempo de protrombina [IPT]: 68%; ratio del tiempo parcial de tromboplastina activada [RTTPA]: 1,15”; tiempo de tromboplastina parcial activada [TTPA]: 34”; antitrombina III: 68,8%; proteína S: 67%).
En la ecografía abdominal realizada al ingreso se observó un riñón izquierdo aumentado de tamaño, en el que llamaban la atención pequeñas áreas ecogénicas en la unión corticomedular, así como una mala definición de las pirámides renales. En el área suprarrenal izquierda se apreciaba una colección líquida de 42 × 25mm de tamaño, que afectaba a la porción medular de la glándula, compatible con hemorragia suprarrenal (fig. 1). En la ecografía Doppler pulsada y en color se evidenció la ausencia total de flujo en la vena renal izquierda (fig. 2). No se pudo valorar la vena cava en esta confluencia anatómica por la existencia de artefactos.
Se completó el estudio con la realización de hemocultivo, urocultivo y marcadores tumorales, todos ellos normales.
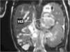
En la RM realizada 2 días después del ingreso, con el fin de valorar el territorio de la vena cava se observaba una masa suprarrenal izquierda de señal intermedia en T1 y levemente hiperintensa en T2, bien delimitada, que presentaba un halo periférico lineal hiperintenso en T1 y de baja señal en T2, y que no captaba contraste. Estos hallazgos concordaban con la existencia de una hemorragia suprarrenal izquierda en fase subaguda precoz. El riñón izquierdo estaba aumentado de tamaño, edematoso y con retraso tanto en la fase de captación como en la excretora. El riñón derecho era normal. Se observaba la ausencia de señal en la vena renal izquierda, que continuaba por la luz de la vena cava inferior sin afectarla por completo, lo que concordaba con una trombosis total de la vena renal izquierda y parcial de la vena cava inferior (fig. 3).
En la gammagrafía funcional renal realizada a los 5 días se objetivaron una hipocaptación moderada y una disminución de tamaño del riñón izquierdo, con un riñón derecho normal.
Una vez establecido el diagnóstico de trombosis de vena renal izquierda, de vena cava inferior y hemorragia suprarrenal izquierda, se decidió llevar a cabo un tratamiento conservador (sueroterapia, antibioterapia e inicio de alimentación oral) dada la buena situación clínica del paciente, que presentaba cifras de presión arterial y función renal dentro de los límites de la normalidad. La evolución posterior fue favorable.
Se realizaron controles ecográficos Doppler pulsado y color (a los 8 y a los 14 días) observándose una disminución de la colección suprarrenal izquierda, un riñón izquierdo de tamaño normal y unas venas cavas inferior y renal izquierda repermeabilizadas (fig. 4).
DISCUSIÓNLa TVR es la afectación vascular renal más frecuente en el recién nacido. Hoy día es una enfermedad rara, con una incidencia de 2,2/100.000 recién nacidos vivos1. Suele ser unilateral. Existen diferentes factores predisponentes: cateterismo venoso central, deshidratación, asfixia en el parto, policitemia, fenómenos protrombóticos y diabetes materna (como ocurrió en nuestro caso)2–5. Se han descrito casos de TVR de diagnóstico prenatal6. También se ha encontrado una asociación de TVR y hemorragia suprarrenal, al igual que sucedió en nuestro paciente; predomina la afectación en el lado izquierdo, lo que se ve favorecido por causas anatómicas, dado que el trombo suele extenderse desde la vena renal izquierda hacia la vena suprarrenal izquierda, tributaria de la anterior3.
La ecografía y la ecografía Doppler son las técnicas de imagen de elección en el diagnóstico de la TVR2,6. La morfología y los cambios en la ecogenicidad son evidenciables mediante la ecografía convencional y el mejor método para evaluar un sistema de flujo es la ecografía Doppler, mediante el análisis de la morfología de la curva espectral, la medición de velocidades y el índice de resistencia, así como por la presencia y características del color en los vasos.
En la ecografía convencional la trombosis de las venas interlobulares se traduce principalmente en la aparición de imágenes lineales hiperecogénicas que comienzan en la periferia del riñón y se extienden hacia la médula renal. Es importante reconocer estas imágenes lineales, ya que suponen una fase inicial de TVR.
En el transcurso de la primera semana el riñón aumenta de tamaño; en la ecografía se visualizan unas pirámides hipoecogénicas como consecuencia del edema. Después de la primera semana el riñón aumenta aún más de tamaño, con una ecoestructura heterogénea y con pérdida de la diferenciación corticomedular1,6–8.
En los estadios iniciales, con la ecografía Doppler se objetiva una ausencia de flujo en la vena renal principal, así como una onda diastólica arterial disminuida e incluso invertida, con un aumento en el índice de resistencia2. Ante la sospecha de una TVR con una ecografía Doppler no concluyente habría que realizar una RM como método alternativo de valoración de la vena renal y del territorio de la vena cava.
En los estudios de RM pueden apreciarse áreas de baja señal en las pirámides renales tanto en secuencias T1 como T2, que representarían zonas de hemorragia. Tras la administración de contraste intravenoso se evidencia un realce cortical persistente sin realce de la medular, así como una ausencia de señal de la vena renal afectada en relación con la trombosis de ésta2.
El tratamiento es habitualmente de soporte, pero puede incluir terapia anticoagulante, fibrinolíticos o ambos. La eficacia de los diferentes regímenes terapéuticos en la TVR neonatal es objeto de controversia; algunos autores sugieren que el tratamiento con anticoagulantes sistémicos empleados en fases precoces pueden dar como resultado un mejor pronóstico a largo plazo5.
En la mayoría de los casos, la TVR evoluciona hacia la formación de cicatrices renales o hacia la atrofia renal. Entre las secuelas funcionales a largo plazo se incluyen insuficiencia renal, disfunción renal tubular e hipertensión arterial9,10.
Hemos tenido la oportunidad de poder estudiar evolutivamente una TVR en su fase aguda mediante el uso de varios métodos de imagen, y es importante señalar que existen muy pocos casos de TVR valorados mediante RM2 porque se trata de una exploración cara y prolongada, que por lo común precisa sedación y cuyas imágenes en recién nacidos no suelen ser de buena calidad. Su utilización debe ser una alternativa a la ecografía Doppler cuando los hallazgos ecográficos son insuficientes, como sucedió en nuestro paciente, en quien el territorio de la vena cava adyacente a la vena renal izquierda no pudo ser suficientemente explorado.






